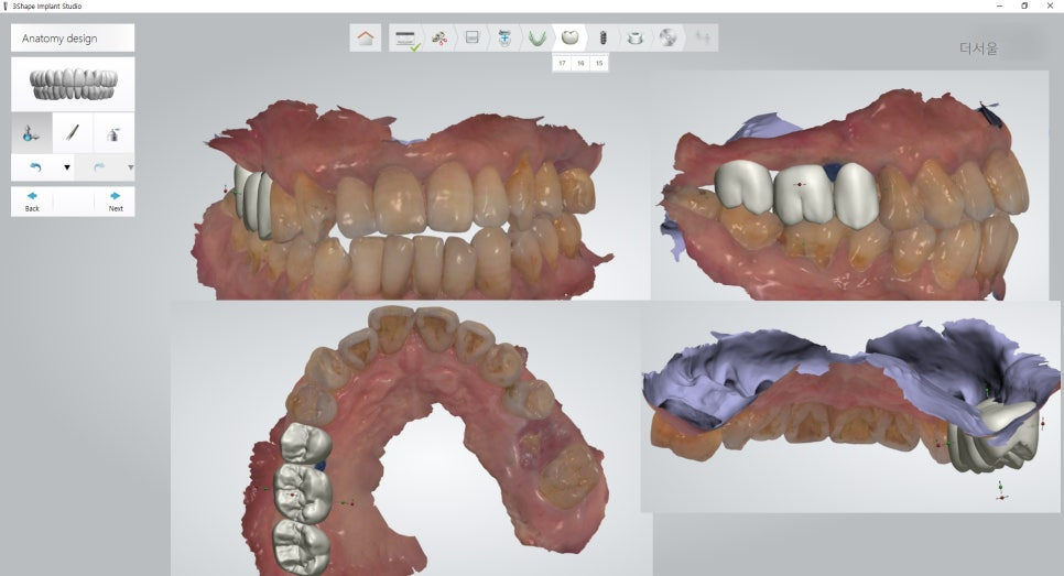
앞니 임플란트 치료 과정에서 쓰는 맞춤형 지대주
임플란트 라는 것은 결국 우리가 본래 가지고 있었던 자연치아의 소실 및 문제 발생에 따라 구강 내 심미성 및 기능을 […]
임플란트 라는 것은 결국 우리가 본래 가지고 있었던 자연치아의 소실 및 문제 발생에 따라 구강 내 심미성 및 기능을 […]
치과 에 임플란트 수술을 받으러 오시는 분들을 보면 구강 내 환경이 좋은 분들은 거의 없습니다. 정기검진을 꾸준히 받으시는 분들은,
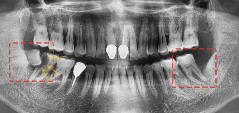
어금니 빠짐 및 결손이 있다면, 구강 내 저작기능 저하에 따라서 여러가지 문제들이 나타날 수 있습니다. 이러한 부작용들이 나타나는
안녕하세요. 박현준 원장입니다. 아마.. 입 속에 크라운이 없으신 분들은 거의 없으실 겁니다. 다들 하나쯤은 가지고 있으시죠? 근데, 그 보철물을
안녕하세요. 박현준 원장입니다. 제가 3년전에 적었던 글을 하나 보여드릴게요. (최근에 치료가 끝났거든요!) 이전 글의 내용을 정리하면 순서로 설명을 드렸었습니다.
뭐.. 옛날부터 여러번 언급했던 바 저희 더서울치과는 6개국어를 할 수 있죠. 그래서, 실제로 외국인 환자들이 많이 찾아오시며 예전에는 미국에서도 오셨던
컴퓨터 분석 임플란트 는 3차원 디지털 수술 시스템을 의미합니다. 시술 전에 디지털 진단 프로그램으로 잇몸 내부를 투사하는 과정을 통해서
임플란트 구조를 살펴보면 크게 세가지로 이루어져 있습니다. 뿌리 역할은 하는 픽스쳐는 뼈 안에 드릴링 하는 과정으로 심게 되며,
안녕하세요, 박현준 원장입니다. 오늘은.. 저의 소고가 담긴 글입니다. 길을 걷다 건물을 보면 치과들이 있죠? 거의.. 건물 하나당 치과가
안녕하세요, 박현준 원장입니다. 지난 글에 이어서, 2번째 저의 진지한 소고를 전하는 바 이 글로 임플란트 개수 에 관련 된
제가 초등학교를 다닐때만 해도 안테나를 쭈욱 뽑아쓰는 전화기를 썼는데 지금은 한손에 ‘쏙’ 들어오는 형태로 달라졌는데요. 이것만 봐도 세월이 많이
어렸을 때 부모님의 손을 잡고 독감 주사를 맞으러 간 적이 있습니다. 처음에는 아무것도 모르는 상황에서 무방비 상태로 주사를 맞았지만,