앞니 깨짐, 뿌리만 남았을 때는? 기둥을 세우는 치아정출술 및 지르코니아 크라운 수복
안녕하십니까, 더서울치과 박현준 원장입니다. 오늘은 앞니 손상 시 고려할 수 있는 치료 방법 중 하나인 ‘치아정출술’에 대해 소개해드리겠습니다. 이 방법은 […]
안녕하십니까, 더서울치과 박현준 원장입니다. 오늘은 앞니 손상 시 고려할 수 있는 치료 방법 중 하나인 ‘치아정출술’에 대해 소개해드리겠습니다. 이 방법은 […]
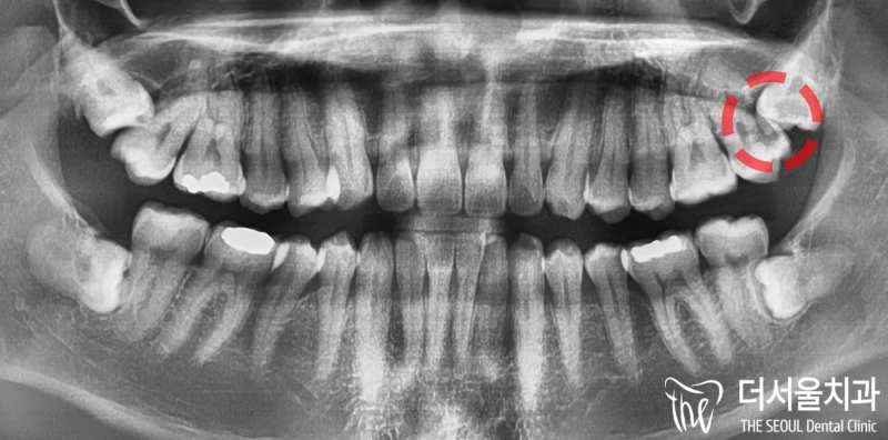
안녕하십니까, 더서울 문정동치과 쌍둥이 박현성 원장입니다. 사랑니라는 치아가 생겼을때, 의료진들은 되도록 빠른 시일 내에 빼는 것이 좋다 그렇게 알려드리고
여러분들은 평소에 구강 검진 잘 받으십니까? 아픈 곳이 없어서 난 괜찮겠지라는 생각으로 내원을 하지 않죠. 증상이 있음에도 어쩌다가
이제, 저번 1편 및 2편에 이어서 끝을 달리는 3편 내용인 앞니 충치치료 에 관련 된 글입니다. 1~3편의 사례는 한명의
안녕하십니까, 박현준 원장이예요. 오늘은 평소 찌릿찌릿 아픈 느낌이 있어서 더서울치과 오셨는데… 어금니 충치치료 진행 및 신경치료를 했던 임상 증례를
우리가 흔히 말하는 사랑니 는 맨 뒤에 있는 큰 어금니로 전문용어로 ‘제3대구치’라고 부르고 있습니다. 사실 관리만 잘하면 치아를 뽑지
이 글을 읽고 있는 독자분들께 한 가지 질문을 해 보겠습니다. 치과에서 신경치료 가 필요하다는 말을 들었을 때 어떤 생각을
행정안전부에서 통계청의 인구주택 총 조사를 활용해 2020년 지방자치단체 외국인 주민 현황을 발표했습니다. 이에 따르면 우리나라에 거주하고 있는 외국인
평소에 정기검진을 꾸준히 받아오셨더라면, 경미한 우식증이 발생 되었을 때 초기 적절한 조치를 취함으로서 더 큰 문제가 발생되는 것을 예방할
안녕하십니까, 박현준 원장입니다. 똑같은 증세인데, 가는 치과마다 비용이 조금씩 다른 것을 보실 수 있을겁니다. 근데, 사실 이건 싼
안녕하십니까, 박현준 원장입니다. 치아가 파절 된 범위에 따라서 발치를 해야 되느냐 또는 보존치료를 하느냐 결정이 됩니다. 여기서 환자의
안녕하십니까, 박현준 원장입니다. 우리 치아도 그 속에 신경이라는 것이 들어있기 때문에 차가운 것을 먹거나 뜨거운 것을 먹을 때 느낌을