구강 건강을 악화시킬 수 있는 ‘ 치수염 ‘
또 만나네요ㅎㅎ 더서울 치과 박현준 원장입니다. 참을 수 없는 치통이 생겼다면? 이런 상황에서는 ‘ 치수염 ‘을 의심해 볼 수 있습니다. […]
또 만나네요ㅎㅎ 더서울 치과 박현준 원장입니다. 참을 수 없는 치통이 생겼다면? 이런 상황에서는 ‘ 치수염 ‘을 의심해 볼 수 있습니다. […]
Hello~ 반갑습니다. 더서울치과 박현준 원장입니다. 제가 얼마 전 포스팅했던 외국인 환자에 관련된 글이 기억나실까요? – Hello~ Nice to
『신경치료 통증 때문에 걱정이 되는데.. 혹시 덜 아프게 할 수 있는 방법이 있을까요?』 오늘 소개해 드릴 환자분을 포함하여 많은 분들이
반갑습니다~ 더서울치과 박현준 원장입니다. 치과를 갈 때마다 듣는 단골 멘트가 있죠. 오로지 제 기준으로 TOP3를 선정해 보았습니다. 3위
안녕하십니까 여러분~ 더서울의 박현준 원장입니다. 어느덧 3월의 마지막 날이 찾아왔습니다. 내일이면 4월이 시작되는데요. 본격적으로 꽃들이 만개하겠네요ㅎㅎ 벌써부터 기대가
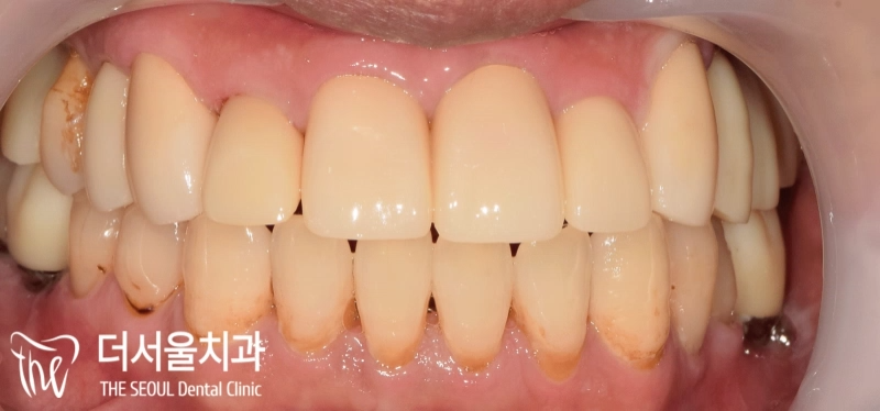
post&core (포스트&코어) 오늘은 자연치아를 살리는 마지막 방법 중 하나죠. 포스트&코어에 대한 내용을 설명드리겠습니다. 앞니 신경치료 는 어떤 과정으로
제가 어제 작성한 글을 미리 보고 오시면 많은 도움이 되실 겁니다. 오늘 소개해 드릴 케이스는 충치치료 증례입니다. "보통 충치치료는
더서울 박 원장입니다. 한 주를 마무리하는 일요일, 오늘따라 잠이 오지 않는군요ㅎㅎ 그래서 이렇게 글을 쓰고 있습니다. 이번에 소개해 드릴
『코로나 19 엔데믹 (endemic, 일상적 유행)』 우리나라에 코로나가 첫 발생한 날짜가 2020년 01월 입니다. 벌써 2023년 5월 중순이니 3년이
안녕하세요, 치과의사 박현준입니다. 인접면 우식증(proximal caries)는 치아와 치아 사이에 있는 미세한 공간에 충치가 생긴것을 뜻합니다. 경력이 오래 된
팔이나 다리에 crack이 가면 어떤 방법으로 치료를 도울까요? 골절이 일어나지 않았다면 부목을 덧내어 고정을 시켜놓게 됩니다. 깁스를 통해 몇
반갑습니다, 여러분~ 더서울치과 박현준 원장입니다. 치아에 썩은 곳이 많거나 빠져버린 곳이 많은 분들은 어디서부터 손을 대야 될지 몰라 고민을