수진동 치과 크라운 냄새 신경치료 포스트 받아야 되었던 사례
반갑습니다. 수진동 더서울 치과 입니다. 충치치료 받았을때, 이후 관리는 더욱 철저히 해야 된다는 사실. 그렇지 않으면, 언제든 재발할 […]
반갑습니다. 수진동 더서울 치과 입니다. 충치치료 받았을때, 이후 관리는 더욱 철저히 해야 된다는 사실. 그렇지 않으면, 언제든 재발할 […]
반갑습니다. 수정구 산성동 더서울 치과 박현성 원장입니다. 여러분들께서는 치아균열증후군 이것을 알고 있으실까요? 이것은 흔히 금이 가는 증상을 말합니다.
반갑습니다. 판교 더서울 치과 입니다. 보통 가벼운 충치라면, 크게 걱정할 것이 없습니다. 그러나 균이 깊숙히 파고 들었을때, 염증을
반갑습니다. 송파 더서울 치과 쌍둥이 박현성 원장입니다. 갑작스럽게 나타난 잇몸 물집. 수포 및 염증 동반으로 곤란스러운 상황에 부딪혔을
반갑습니다. 판교치과 더서울 쌍둥이 박현성 원장입니다. 치아가 아플때, 찡~한 치통이 있다면 얼른 검사를 진행하고 내려진 진단 결과에 따라 빠른
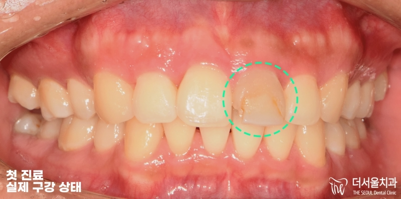
안녕하십니까, 더서울 태평동치과 쌍둥이 박현성 원장입니다. 치아가 변색되는 이유는 꼭 착색을 일으키는 음식을 먹어서 그렇게 변하는 것이 아닙니다.
안녕하십니까, 더서울 야탑역치과 쌍둥이 박현성 원장입니다. 구강 진료를 마쳤는데 알 수 없는 통증이 이어지고 있다든지, 어느 순간부터 다시 어떤
안녕하세요, 박현준 원장입니다. 오늘 보여드리는 임상 증례는, 크라운 수복으로 앞니 라미네이트 치료 처럼 한 임상 케이스입니다. 아래 사진으로
“ 급성치수염. ” 치아 내부 속에는 혈관과 여러 가지 신경으로 이뤄진 치수 라는 곳이 존재합니다. 여기에 급격한 염증이
삶에 있어 문제 상황은 예고없이 나타납니다. 그 어느 누가 사고를 예측할 수 있을까요? 길을 가다가 뭔가에 걸려 넘어질 수
반갑습니다. 산성역 더서울 치과 박현성 원장입니다. 여러분은 넘어져서 다쳤었던 적 있으십니까? 아마 어릴 때라면 그랬을 텐데요. 그중에 크게
안녕하십니까, 더서울 태평역치과 쌍둥이 박현성 원장입니다. 여러분은 사랑니의 존재를 찾고 나서 어떻게 하십니까? 뽑으면 많이 아플까봐 그대로 두십니까? 오히려