잠실 치과 추천 치아 패임, 치경부 마모증 레진 치료 해결한 증례
반갑습니다. 많은 분들께서 추천 받아 오시는 잠실 더서울 치과 입니다. 어느 정도 나이가 찼을때, 치아 패임 또는 파절, 치경부 […]
반갑습니다. 많은 분들께서 추천 받아 오시는 잠실 더서울 치과 입니다. 어느 정도 나이가 찼을때, 치아 패임 또는 파절, 치경부 […]
치아 겉면인 법랑질이라는 곳은 튼튼한 곳이라 말씀드릴 수 있는데요. 은근히 금이 간다든지 부러짐 문제를 겪게 되는 경우가 많습니다.
안녕하십니까, 태평동치과 더서울 쌍둥이 박현성 원장입니다. 이 글을 들어오셨다면, 잠잘때 이갈이를 하고 있어 치아에 문제가 생겨 그것을 해결하려 찾아오셨을 것이라
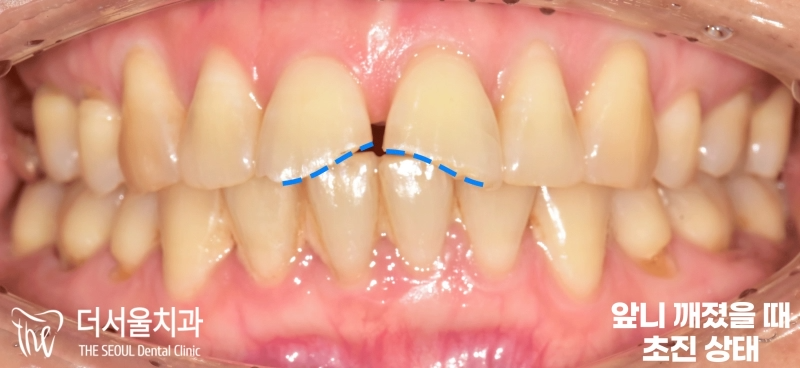
반갑습니다. 더서울 송파치과 쌍둥이 박현성 원장입니다. 어떤 큰 충격으로 인하여 앞니 깨짐이 발생했을 때, 얼른 치료를 받아야 되겠다 그런
반갑습니다~ 더서울치과 박현준 원장입니다. 치과를 갈 때마다 듣는 단골 멘트가 있죠. 오로지 제 기준으로 TOP3를 선정해 보았습니다. 3위
반갑습니다, 성남 치과 박현준 원장입니다. 우리 구강 내 존재하는 앞니는 어떤 역할을 할까요? 사실 저작 기능을 담당하기보단 웃을
안녕하십니까, 더서울 분당 치과 입니다. 아마 많은 분들께서 앞니 든 어금니든 어떤 치아든 부러짐 문제가 생겼을 때, 당황스러움을 감추지
앞니 벌어짐은 일상생활에서 심미적인 부분에서 문제가 발생할 수 있습니다. 이는 곧 기능적인 부분으로도 크게 악영향을 미칠 수 있는데요.
안녕하세요 신흥역치과 박현성 원장입니다. 오늘은 한 치아만 변색되었다는 주소로 급히 내원하셨던 환자의 증례를 준비했습니다. 이 환자께선 변색뿐만 아니라
안녕하세요. 자연치아를 최대한 보존하며, 심미성과 기능을 겸비한 치료를 해드리는 복정동 치과 대표원장 박현성입니다. 치아는 단순히 음식을 저작한 데만 필요한
안녕하세요. 태평역치과 더서울입니다. 앞니 색 변함으로 인해 많은 환자분들이 찾아주고 있습니다. 치아 색이 변하는 원인은 여러 가지가 있지만,
안녕하세요 더서울 모란역치과 의사 박현성 원장입니다. 신경 치료 를 받았던 이가 변색되었다면 어떻게 해야될까요? 신경 치료 과정