임플란트 아픈가요? 라는 질문에 답변을 드리는 글입니다.
치과에서.. 가장 많이 듣는 말중에 하나가 바로 ‘선생님, 임플란트 수술 할 때 많이 아픈가요?’ 라는 질문입니다. 먼저 여기에 따른, […]
치과에서.. 가장 많이 듣는 말중에 하나가 바로 ‘선생님, 임플란트 수술 할 때 많이 아픈가요?’ 라는 질문입니다. 먼저 여기에 따른, […]
임플란트 치료를 고민하는 분들이 많습니다.그만큼 치아 기능 회복에 중요한 역할을 하기에무엇을 기준으로 선택해야 하는지도 궁금해하시죠. 임플란트 치료를 받을 때는 아래와
치아가 시리며 욱신 거린다든지 잇몸이 붓거나 노란 고름이 나올 정도로 구강 상태가 좋지 못하다든지 이런 문제를 겪고 있을 때는 얼른
반갑습니다. 수진동 더서울 치과 입니다. 항상 느끼고 있는 거지만, 구강 관리는 꾸준히 이어나가신다면 건강히 잘 유지할 수 있다는 점입니다.
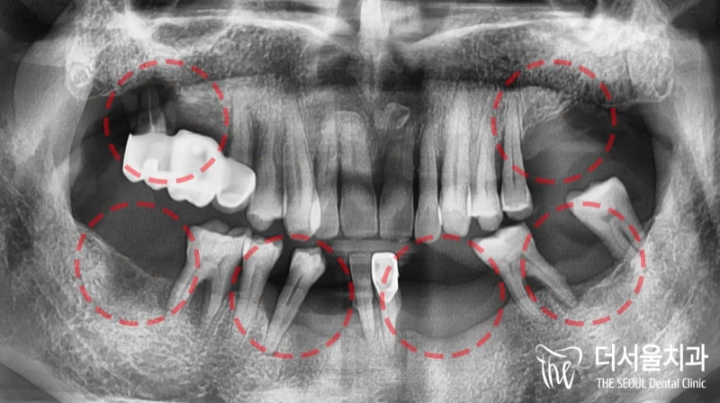
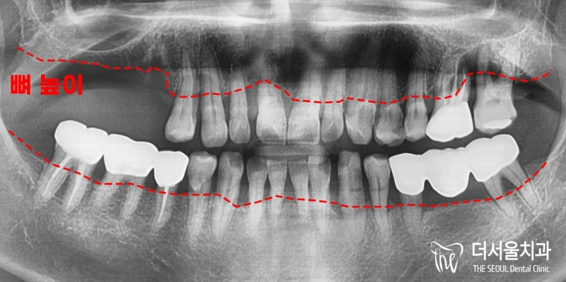
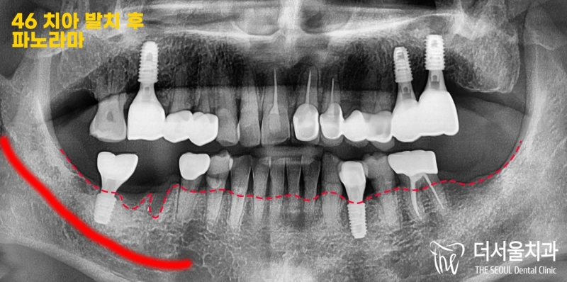
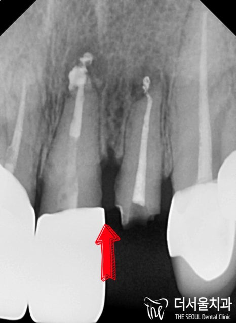
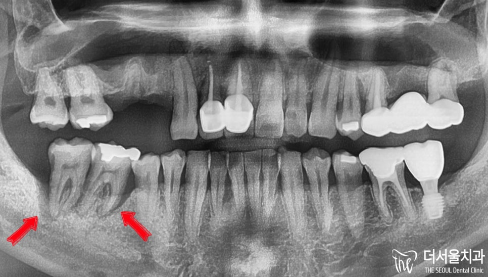
반갑습니다. 잠실 더서울 치과 입니다. 오늘 소개해 드릴 사례는 예전에 찾아오셔서 좌측 아래 어금니 임플란트 식립을 받으셨던 환자분께서 우측
반갑습니다. 태평동 더서울 치과 입니다. 많은 분께서 이런 생각을 가지고 있으실 겁니다. ‘잇몸뼈 문제로 치아가 떨어졌다면, 임플란트 심는게
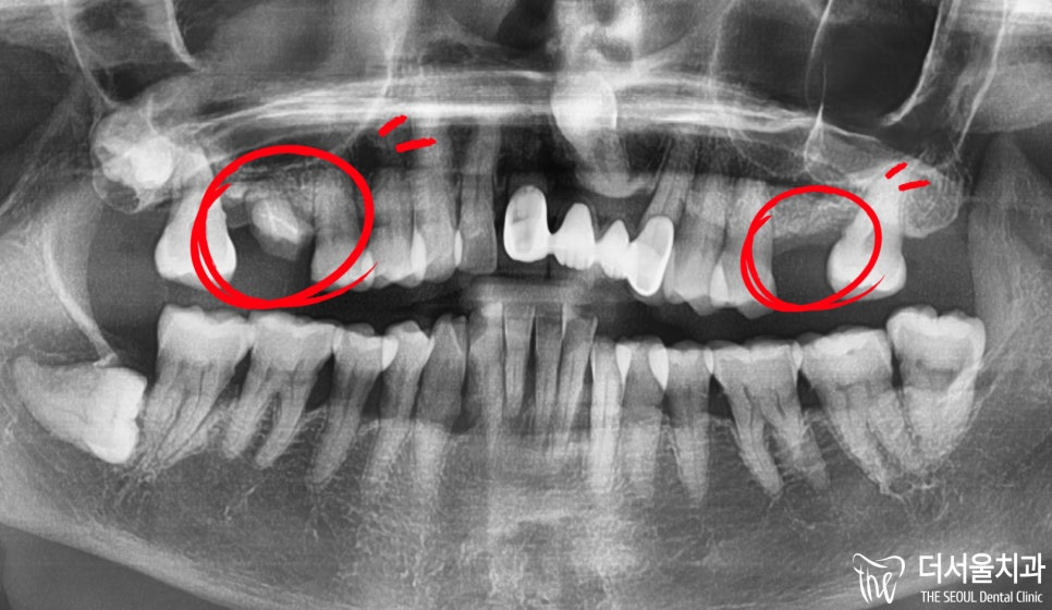
반갑습니다. 송파 문정동 더서울 치과 입니다. 건강을 되찾으려 힘든 수술을 겪었는데 얼마 못 가 다시 악화된다면, 그만큼 허탈한 일은
반갑습니다. 잠실 더서울 치과 입니다. 우리 구강 속 치아. 어렸을때 유치에서 영구치로 전환이 되면, 그것을 평생 사용하게 되는데요.
반갑습니다. 위례 더서울 치과 쌍둥이 박현성 원장입니다. 치아에 문제가 생겨버리면, 어떻게 해야 될까요? 네, 곧바로 병원을 찾아가서 치료를
반갑습니다. 판교 더서울 치과 쌍둥이 박현성 원장입니다. 우리가 차를 타고 이동할때, 어떤 것을 많이 쓰죠? 그렇습니다. 네비게이션 이라는
반갑습니다. 판교역 더서울 치과 쌍둥이 박현성 원장입니다. 오늘 보여드릴 임플란트 케이스는 조금 특이했다고 말씀드릴 수 있는데요. 환자분께서는 초등학교를
반갑습니다. 잠실 더서울 치과 박현성 원장입니다. 예전에 내원을 하셨던 환자 중에 따님분께 추천을 받아 오게 되었으며, 임플란트 수술을 받았던