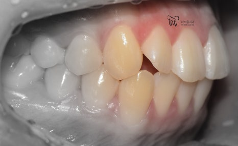
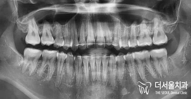
투명치과 내원 환자, 피해를 입고 오셨던 인비절라인 교정치료 기록
안녕하십니까 박현준 원장입니다. 이 글은, 읽은 분들이 조금은 불편하실 수 있는 그런 내용을 담은 글입니다. https://www.bizhankook.com/bk/article/20528 제가, 예전에 투명치과 관련하여 […]
안녕하십니까 박현준 원장입니다. 이 글은, 읽은 분들이 조금은 불편하실 수 있는 그런 내용을 담은 글입니다. https://www.bizhankook.com/bk/article/20528 제가, 예전에 투명치과 관련하여 […]
안녕하십니까, 치과 전문의 박현준 원장입니다. 요즘 세대들이 하는 말이죠? 입술이 튀어나온 것을 ‘입툭튀’ 라 줄여서 부르는데.. 저는 적응이 잘 안되네요.
안면 비대칭. 얼굴 좌우를 비교했을 때, 길이 또는 면적 차이를 찾아볼 수 있으며, 입술 기울기 또한 평행 상태를 이루지
안녕하십니까, 치과 전문의 박현준 원장입니다. 오늘 말씀드린 주제는 바로 과개교합 이라는 건데, 윗니가 아랫니를 과하게 물고 있음에 따라서
저번주 쯤에 적었던 글이 하나 있습니다. 그리고, 관련 된 뉴스 기사 1건을 보여드렸었죠. 또 과거에는 유튜브에 관련 영상을 찍어서 올린
개방교합 교정 치료를 받으러 오시는 분들이 꼭 하는 말씀이 있죠. "선생님, 저 면을 끊어 먹어 보고 싶어요." 근데 진짜 맞아요.
바로 직전에 적었던 글입니다. 개방교합에 관련되어서, 과거 찍어놨던 유튜브 영상 및 관련 링크로 설명을 드렸었죠? 이어서, 더서울치과에서 7년 가량
부정교합 이라는 것은 꼭 아랫니가 윗니보다 앞쪽에 위치 된 것을 뜻하는 것은 아닙니다. 윗니와 아랫니가 맞물리면서, 교합관계를 형성하는데 그
부정교합 2급 이라는 것은, 하악보다 상악이 더 전방에 위치되거나 또는 상악의 치아들이, 하악 치아들보다 더 앞쪽에 위치되어 있는것을 뜻하며
증세를 갖고 계셨던 분의 임상 증례를 보여드립니다. 교정 치료를 통해서 2급 부정교합이 개선 되었으며 치료를 끝으로, 턱 끝에 보형물
안녕하십니까, 박현준 원장입니다. 보통 교정치료가 끝난 뒤에는 교정유지기 를 만들어서 환자께 전달드립니다. 크게 2가지로 교정유지기 를 나눌 수 있습니다.
안녕하십니까, 박현준 원장입니다. 치아교정 치료와 턱관절 은 뗄레야 뗄 수 없는 필연적인 관계입니다. 왜냐하면, 해부학적인 관계에 있어서도 서로 기능적으로