치아 삐뚤거림, 총생, Crowding 이 있는경우 어떻게 개선하나요?
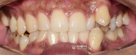
총생은 턱의 크기에 비해서 치아 크기가 크고 치열이 맞지 않아서 서로 겹쳐 있는 상태를 말합니다. 흔히 말하는 덧니도, 총생의 […]
총생은 턱의 크기에 비해서 치아 크기가 크고 치열이 맞지 않아서 서로 겹쳐 있는 상태를 말합니다. 흔히 말하는 덧니도, 총생의 […]
왜소치 란[Peg lateralis] 정상적인 크기보다 작은 것을 말합니다. 물론, 단어만 들었을 때 생소하게 느껴질 수 있으나 체구가 작은
치아나 잇몸뼈 자체가 튀어나온 것을 돌출입이라 부르며, 2급 부정교합에 해당하는데요. 위아래 앞니 잇몸과 치아가 전방으로 돌출하여 웃을 때 잇몸이
안녕하십니까, 박현준 원장입니다. 우리가 건물을 지으려면 뭐 부터 해야 되죠? 땅을 먼저 살펴봐야겠죠? 얼마나 튼튼한지, 땅이 고른지를 봐야됩니다.
입이 튀어나와있는 사람들을 보면, 무언가 불만이 있는 듯한 느낌을 줍니다. 실제로, 입술의 긴장감이 형성되어 있어서 본의 아니게 타인으로 하여금
안녕하세요 박현준 원장이예요. 많은 분들이 치아교정 을 받으러 오셨을 때 돌출입 을 가지고 있는 경우가 많습니다. 동양인의 특성상, 골격의 크기가
안녕하십니까, 박현준 원장입니다. 오늘은 송곳니 덧니 에 대해서 설명해 드릴까 합니다. 송곳니 는 유치에서 영구치로 교환하는 시기에 덧니
안녕하십니까, 박현준 원장입니다. 올해 대학수학능력 시험이 2022년 11월 17일(목)에 치러졌다고 하네요-! 저 또한 수능을 보고 대학교를 갔던 터라
교정치료를 받는 분들은, 최소 6개월에서 3년 가량 저랑 얼굴을 봐야 되니 서로가 가지고 있는 사연을 말하는 경우가 많습니다. 해외에서
안녕하세요, 박현준 원장입니다. 인비절라인 교정치료를 받으시려면 가장 먼저 해야 될 것이 이 장치를 다루는 치과 에 가셔야겠죠? 그
성장교정 이라는 단어 자체를 생소하게 여기는 분들이 많습니다. 물론, 과거와는 다르게 자라나는 우리 아이들에게 부모님들이 관심이 많은 편입니다.
『2급 부정교합에 대해 들어보신 적 있나요?』 아래턱에 비해 위턱이 발달된 형태로 돌출된 입매를 갖고 있습니다. 교정 상담을 위해 내원하는