인비절라인 발치 케이스, 그 결과를 공개합니다.
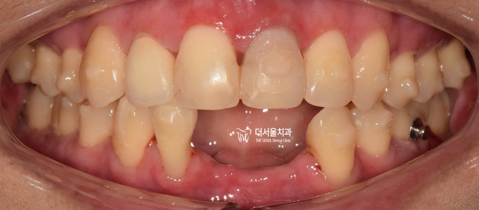
더서울치과 박현준 원장입니다. 오늘은 21년도에 포스팅했던 인비절라인 발치 케이스의 속편을 준비했습니다. 전에는 치료 진행 과정을 소개해 드렸는데요. 오늘은 드디어 끝난 […]
더서울치과 박현준 원장입니다. 오늘은 21년도에 포스팅했던 인비절라인 발치 케이스의 속편을 준비했습니다. 전에는 치료 진행 과정을 소개해 드렸는데요. 오늘은 드디어 끝난 […]
오랜만에 교정 케이스를 들고 온 더서울의 박현준 원장입니다~ 이 글을 읽는 여러분들께서는 "입이 편하게 잘 다물어지시나요? 식사를 하실 때에
반갑습니다. 여러분! 더서울치과 박현준 원장입니다. 치아교정 – 임플란트 "둘 다 필요한 상황이라면 어떤 것을 먼저 받아야 될까요?" 이전에도
반갑습니다. 더서울치과 박현준 원장입니다. 오늘은 좀 일찍 찾아뵙네요. 진료를 시작하기에 앞서, 이렇게 글을 적고 있는 박원장입니다ㅎㅎ 오늘 여러분들께
더서울치과 박현준 원장입니다. 생각보다 임플란트 와 교정 을 동시에 진행해야 되는 경우가 많습니다. 이때 거의 모든 분들이 공통적으로
반갑습니다, 여러분! 더서울치과 박현준 원장입니다 비가 추적추적 내리고 있습니다. 박원장은 오늘도 어김없이 진료 준비를 하며 이렇게 글을 쓰고 있죠ㅎㅎ
반갑습니다, 여러분! 더서울치과 박현준 원장입니다. 6월이 점점 코 앞으로 다가오고 있습니다. 마스크가 해제 됨에 따라 치아 교정이나 라미네이트
반갑습니다, 더서울치과 박현준입니다. 인비절라인은 투명장치로 심미성이 뛰어나기 때문에 티나는 장치가 꺼려지는 분들이 많이들 사용하고 계십니다. 또한, 기존에 알고
2급 부정교합이란. 아래턱에 비해 위턱이 발달된 것으로 무턱이나 돌출입과 같은 문제가 생기게 됩니다. 많은 분들이 외모 콤플렉스를 갖게 되는 주된
『오늘은 주걱턱 비수술 치아교정 과 관련된 케이스를 여러분들께 소개해드리려 합니다.』 아래턱이 윗턱 보다 발달된 3급 부정교합을 갖고 있다면 반대로 물리는
『오늘도 만나네요ㅎㅎ 태평동치과 박현준 원장입니다.』 입매가 툭 튀어나온 돌출입, 외적으로도 좋지 않을뿐더러 입이 편하게 다물어지지 않고 위생관리가 힘들기 때문에 이런
반갑습니다, 더서울 박현준 원장입니다. 정상적인 치아 맹출 개수에 대해 얘기를 해보면 송곳니까지 상하악 각각 6개의 전치부 치아들과 사랑니 포함