치아 파절 원인부터 보험(실비) 청구에 관한 내용 – 성남 더서울치과
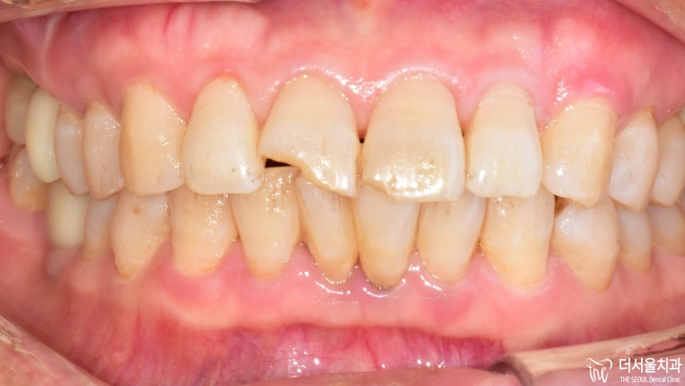
이가 깨지는 원인은 다양합니다. 식사 중에 딱딱한 것을 잘못 씹어서 깨지는 경우도 꽤 많은데요. 그러나 거의 대부분은 ‘충치’ 때문에 […]
이가 깨지는 원인은 다양합니다. 식사 중에 딱딱한 것을 잘못 씹어서 깨지는 경우도 꽤 많은데요. 그러나 거의 대부분은 ‘충치’ 때문에 […]
안녕하세요, 여러분! 벌써 일요일 저녁이네요. 이번 주는 어떻게 보내셨나요? 저는 이래저래 바쁘게 보냈던 것 같습니다. 내일은 서울 기준 최고온도가
음식을 먹을 때 이가 시리다면 제일 먼저 의심해 봐야 되는 것이 있습니다. 바로 치아 표면에 금이 간 것인데요. 강한
반갑습니다, 성남치과 더서울의 박현준 원장입니다. 출처 – 구글 신경치료는 치아 내부, 치수 근처에 병소가 생겼을 때 감염된 근관을 제거하고 새로운
『이쑤시개 자주 사용하시나요? 성남치과』 많이들 쓰고 계신다면 앞으로는 쓰지 않는 것이 좋은데요. 이쑤시개는 치아에 좋지 않은 영향을 끼칠 수 있기
반갑습니다, 더서울의 박현준 원장입니다. 2차 우식이란 이미 병소가 생겼던 곳에 또다시 세균 감염이 일어나 우식이 생긴 것을 의미합니다. 많은
『 치아가 깨졌다?! 』 젓가락을 잘못 씹거나, 큰 충격을 받은 경우 혹은 충치로 인해 부식되었을 때는 이가 깨질 확률이 높아지게
반갑습니다, 여러분! 더서울치과 박현준 원장입니다. 오늘 여러분들께 소개해 드릴 케이스는 제목 그대로, 아말감 밑으로 생긴 이차충치 에 대한 진료
안녕하세요, 더서울의 박현준 원장입니다. “ 어려운 사랑니 , 예를 들어 어떤 것들을 꼽을 수 있을까요? ” 네, 그간 더서울에서 여러
반갑습니다, 더서울치과 박현준 원장입니다. 오늘 여러분들께 소개해 드릴 케이스는 컴퓨터 분석을 사용한 크라운 제작인데요. “ 어? 임플란트뿐만 아니라, 크라운도 컴퓨터
안녕하십니까, 더서울 박현준입니다. 보통 신경치료를 하고 나면, 이 속의 치수(Pulp)를 수복재로 꼼꼼하게 메꾸고 그 위에 크라운 보철을 올리게 됩니다.
“ 반갑습니다, 신흥역치과 더서울의 박현준 원장입니다. ” 환자들께서 신흥역치과 에 오셔서 많이들 하는 질문중에 하나가 “선생님, 사랑니 안뽑으면 큰일나나요?” 입니다.