네비게이션 임플란트 , 일련의 과정을 설명해 드리겠습니다.
어느덧 11월 막바지에 접어들고 12달이 코앞으로 다가오고 있습니다. 많은 사람들이 크리스마스를 맞이할 준비를 하며 가족, 친구들과 함께 여행을 갈 […]
어느덧 11월 막바지에 접어들고 12달이 코앞으로 다가오고 있습니다. 많은 사람들이 크리스마스를 맞이할 준비를 하며 가족, 친구들과 함께 여행을 갈 […]
치근 파절 이란? 치아 뿌리 쪽에 형성된 파절 로 영어로는 ‘Root facture’라고 합니다. 쉽게 말해 뿌리가 갈라진 상태로 발치
안녕하세요, 박현준 원장입니다. 제가 예전에도 여러번 사랑니 당일 발치 관련해서 글을 올려드렸던 적이 있었죠? 쉽게 뽑아드렸던 증례도 있고 또 매복의
바야흐로… 예전부터 저희 병원이 전국 곳곳에 소문이 난 것은 알고 있는데 이번에는 교회 목사님께서 그 소문을 듣고 오셨더라죠. 임플란트 잘하는치과
안녕하세요 박현준 원장입니다. 제가 저번에 뭐라 그랬죠? ‘정기검진은 필수’ 다. 어떤 문제가 발생 되는 거 자체를 막을 수 없으나
안녕하십니까 박현준 원장입니다. 내가 윗니가 빠져서 임플란트를 해야되는데 임플란트를 심을 곳에 뼈가 얇다? 그러면 90% 이상은 상악동 거상술 이라는 sinus
브릿지 란? 빠진 치아 양옆 부위를 삭제하고 보철의 씌워서 다리처럼 연결한 방식을 말합니다. 임플란트가 대중화되기 전, 빠진 부위를 대체하려고
처음 중국 우한에서 발생한 이후 전 세계로 코로나 바이러스가 확산되었습니다. 코로나 바이러스는 호흡기 감염 질환에 해당하는데 감염자의 비말이 호흡기로
치아 뿌리를 단단하게 고정해 주고 있는 것을 치조골이라 부릅니다. [Alveolar bone] 이 치조골은 발치 직후부터 치아가 있던 빈자리에
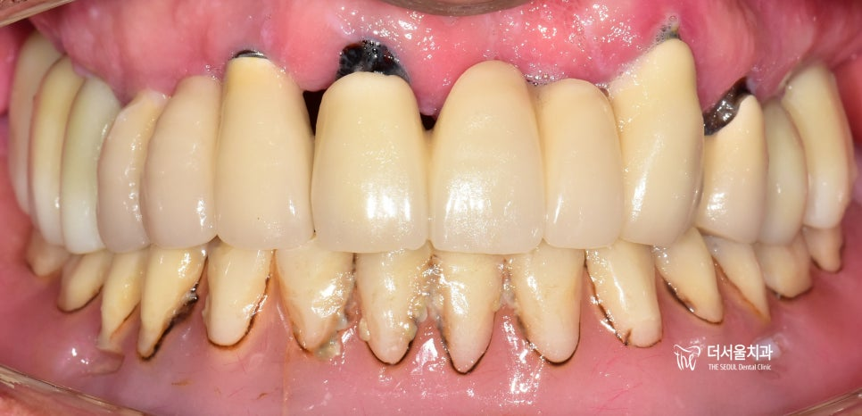
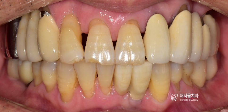
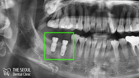
앞니 는 기능적인 측면뿐만 아니라 심미적인 요소도 함께 고려해야 됩니다. 그래서 보철의 형태와 색상 등을 여러 번 체크하고 확인하는
남녀노소 불문하고 치과 치료가 부담스러운 게 사실입니다. 건강 보험 적용이 되지 않는 비급여 항목이 많다 보니 비용에 대한 부담이
안녕하십니까, 박현준 원장입니다. 이가 심하게 썩어서 도저히 살릴 수 없는 상황이라면 발치를 하게 됩니다. 막상, 발치를 하긴 했는데