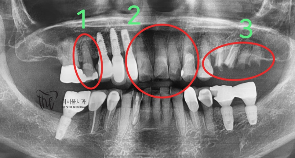
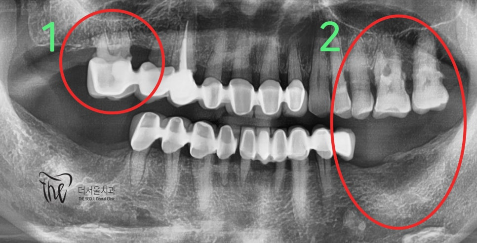
복정역치과 어금니 임플란트 회사 다니는 친구가 추천해 줘서 식립 수술받은 증례
얼마 지나지 않았을 때, 저희 더서울 복정역치과 에 오셨던 환자분이 계셨습니다. 어떻게 오게 되셨는지 여쭤보았는데요. 임플란트 회사 다니는 […]
얼마 지나지 않았을 때, 저희 더서울 복정역치과 에 오셨던 환자분이 계셨습니다. 어떻게 오게 되셨는지 여쭤보았는데요. 임플란트 회사 다니는 […]
만약 주변 지인에게 추천 받아 왔던 병원에서 무사히 치료가 잘 끝나고 좋은 결과를 얻었을 때, 그만큼 좋은 것이 없을 겁니다.
다들 주말이나 공휴일 급하게 병원가야 될 일이 생겼을 때, 주변에 여는 곳이 거의 없어서 당황스러운 일이 많았을 겁니다.
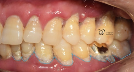
구강 내에 어떠한 작은 문제가 있으면, 이를 그대로 두지 말고 빠르게 처치하는 게 좋습니다. 원래 조그만 것이 서서히 눈덩이처럼
안녕하십니까, 글쓴이 치과 전문의 박현준입니다. 이번부터 발행 되는 글은 1~3탄의 시리즈로 이어지니 이어서 글을 읽으면 도움이 되실거예요. 『부분틀니 (RPD)』 먼저
안녕하십니까, 박현준 원장입니다. 최근에, 치과 수면마취 를 하는 곳들이 늘어나고 있죠? 저희는.. 아주 옛날부터 해왔다는 사실.. 근데 제가
안녕하십니까, 박현준 원장입니다. 치아가 빠졌을 땐 어떻게 하죠? 크게 2가지의 선택지가 있습니다. 1) 임플란트 수술 2) 브릿지
네비게이션 임플란트 1) 3D 스캔 데이터, CT 데이터를 머징 시켜서 술자가 한 눈에 진단을 내리기 편하게 만든 진단 방식중에
일전부터, 치아 사이 충치 관련 글을 수 없이 많이 적어왔었죠. 영어로는, Proximal caries 라 부르며 조금 더 전문 용어로
앞니가 빠졌어요! 어쩌죠? 이럴 때는 조금 침착하게 생각을 해야 됩니다. 먼저 가까운 치과에 하루 빨리 내원을 하셔서 현 상황을 정확하게
임플란트 흔들림 에는 여러가지 이유가 있습니다. 1) 잘못 된 시술 접근. 2) 환자의 부주의. 3) 흡연 및 과음. 4)
어금니쪽과 다르게 앞니 쪽에는 치아 뿌리를 감싸고 있는 치조골의 폭경이 좁습니다. 즉, 추후 임플란트 를 심으려 했을 때 충분한