송파치과 이가 깨졌어요 앞니 깨짐 크라운 보철 치료를 통해 말끔히 해결

반갑습니다.
더서울 송파치과
쌍둥이 박현성 원장입니다.
어떤 큰 충격으로 인하여
앞니 깨짐이 발생했을 때,
얼른 치료를 받아야 되겠다
그런 생각을 하실 텐데요.
그런데 대체 부서진 이를 어떻게 해결할 수 있는지
그 점에 관하여 궁금히 여기실 수 있는데요.
이런 상황에 맞닥뜨렸을 때,
어떤 식으로 진료가 진행되는지
알려드리겠습니다.
『이가 깨졌어요…』
이런 주소로 찾아오는 환자가
꽤나 있다는 사실.
여러분들께서는 이해하지 못할 수 있으나,
각자마다 처해있는 상황은 다릅니다.
갑작스러운 사고로 인하여
치아 깨짐이 발생할 수 있습니다.
문제는 어금니냐 앞니냐 어떤 위치냐에 따라서
문제 되는 것은 다릅니다.
앞니는 기능보다는 심미성을 담당합니다.
새하얀 이를 뽐내는 외적 역할을 하기에
깨져버리거나 잃게 된다면,
심미성을 떨어뜨리게 되죠.
어금니는 심미보다는 기능에 초점이 맞춰져 있습니다.
우리가 어금니 안쪽을 다른 사람들에게
보여주는 일은 의료진 말고는 거의 없습니다.
그래서 각자 처해있는 상황에 맞게
송파치과 의료진이 검사를 진행 후,
그에 맞는 진료를 진행하는데요.
오늘 보여드릴 사례는 앞니 깨짐으로
찾아오신 사례였는데요.
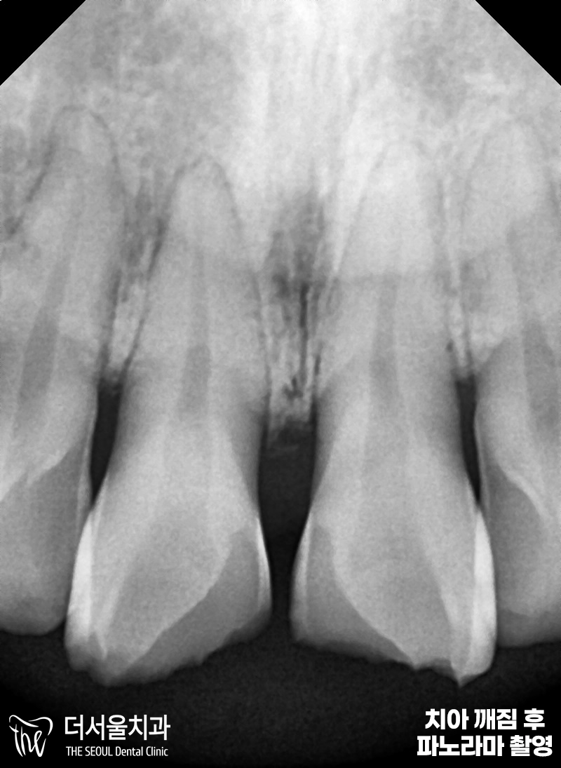
얼마나 깨졌는지 직접 확인해 볼까요?
앞니가 깨졌을 때 곧바로 오셨던
첫 내원 당시인데요.
이가 완만한 곡선 형태로
깨져있는 것을 확인할 수 있습니다.
너무 당황스러우셨는지
본인조차 어떻게 깨졌는지
잘 모르겠다며 당혹스러워하셨습니다.
게다가 병원을 오는 것 자체를 두려워하셔서
송파치과를 오실 때도 거의 다 오셨을 때,
주변을 계속 맴돌고 있으셨다가
한참 뒤에 들어오게 되었다고 하셨습니다.
그런 환자분들을 많이 봐왔기 때문에
그 마음을 정말 이해합니다..
그래서 수면마취(의식하진정요법)을 통해
진료받고 싶다며,
환자분께서 의견을 내주셨습니다.
충분히 가능했기 때문에
어려움은 없었으며,
다른 문제는 없었는지
파노라마 엑스레이 촬영을 통해
좀 더 정밀 검사를 진행했습니다.

다행스럽게도 뿌리 근처까지 깨지지 않아서
큰 문제가 되는 상황은 아니었습니다.
당일 크라운 보철 수복으로
해결이 가능할 정도였기에
수면마취를 통해 편안하게
해결해 드릴 수 있었습니다.
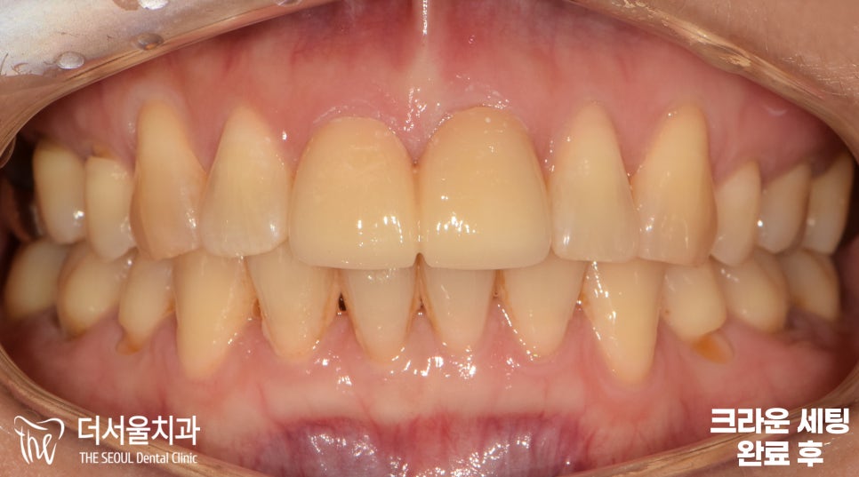
크라운 재료는 지르코니아를 선택하여
다른 치아들과 잘 어우러질 수 있으며,
기능이 뛰어난 것으로 제작했습니다.
그럼 그 결과를 함께 살펴볼까요?
『크라운 보철 치료 결과』

깔끔하게 잘 세팅되었죠?
원래 치아와 큰 차이점이 있을까요?
색이든 모양이든 비슷하게 맞춰서
이를 구별해 내는 것이 어려우실 겁니다.
환자분 역시 이게 크라운 보철 치료한 것 맞냐며
원래 본인의 것 아니냐며
정말 놀랄 노자라며 결과에 만족해하셨습니다.
게다가 수면마취(의식하진정요법)을 통해
치아 깨짐을 해결했기에
두려움 없이 잘 끝마칠 수 있었다며,
잘해주셔서 너무 감사드린다고
송파치과 의료진에게 감사의 말씀을 전달해 주셨습니다.
당연히 환자분께서 불편히 여길 수 있는 것을
저희가 최소화하여 진료를 봐드려야 됩니다.
저희야말로 협조를 잘해주신 덕분에
무탈히 잘 끝낼 수 있게 되어 감사드립니다. ^^

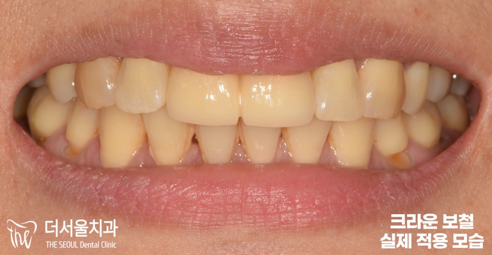
지르코니아 크라운 보철을
실제로 적용한 모습을 보여드립니다.
옆에 있는 다른 이들과 비교해도
크게 티가 나거나 어색함이 없죠?
이렇게 자연스럽게 잘 세팅되면,
일상 생활에 있어 전혀 문제될 것없이
예전에 했던 생활 그대로 이어나갈 수 있습니다.
물론 본인 치아 그대로 쓰는 것이 좋긴 하나,
어쩔 수 없는 사고를 겪게 되었을 때는
더 늦지 않게 찾아오셔서
빠른 시일 내에 치료를 받아
당일 또는 2번 내원으로 끝낼 수 있기를 바랍니다.
깨져버린 이는 다시 재생되지 않으며,
원래대로 되돌릴 수 없기 때문에
평소에 잘 관리할 수 있기를 바라며
더 궁금하거나 질문하실 사항이 있다면,
언제든 아래 댓글 또는 더서울 송파치과에
연락 주셔서 상담 바랍니다.
오늘도 긴 글을 읽어주셔서 감사합니다.
쌍둥이 박현성 원장이었습니다.



치료 기간 : 2021.05.12 ~ 2021.06.16






