태평동치과 추천 앞니 변색 검은색으로 서서히 변하면 서둘러 치료 받는게 좋습니다.

안녕하십니까,
더서울 태평동치과
쌍둥이 박현성 원장입니다.
치아가 변색되는 이유는
꼭 착색을 일으키는 음식을 먹어서
그렇게 변하는 것이 아닙니다.
다른 원인이 있다는 것을
모르는 분들도 많은데요.
크랙 또는 깨짐, 충치치료 후
오랜 기간 지났을 때,
서서히 색이 변하는 것을 볼 수 있는데요.
색이 변하는 것은 대개 치수 조직(신경)이
죽었다는 것을 의미합니다.
크게 2가지로 나눌 수 있는데요.
점차 색이 짙어지는 것을 보면 신경이 죽은 것,
검은색으로 변하게 되는 것은 충치에 의한 것.
오늘 보여드릴 증례는
치수 조직이 서서히 죽게 되어 근관치료 후
크라운을 씌우게 된 케이스입니다.
해당 환자분께서는
문제가 되는 치아가 충치치료를 받았었으며,
깨져버린 것과 서서히 진한 색으로
변색되는 것을 본 뒤로
급히 태평동치과 를 찾아오셨습니다.
여러분들께서 사진을 보시더라도
색이 어둡게 변한 것을 볼 수 있죠?
검은색으로 변한 것이 아니었기에
충치에 의한 것이 아닌,
신경이 죽어서 변색된 것임을
확인할 수 있습니다.
깨진 부위가 시커멓게 변한 것을 볼 수 있으며,
여기서는 신경이 죽은 것을 확인하기 어렵습니다.
그러나 실제 구강 상태를 보면,
다른 치아들과 달리 변색이
심해져가는 것을 확인할 수 있는데요.
괴사가 일어나기 전에
태평동치과 에서 서둘러 조치를 취하는 것이
앞니를 살릴 수 있는 추천 방법이었습니다.
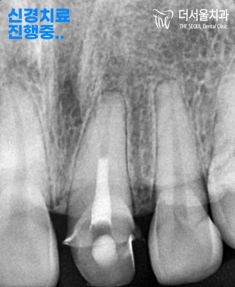
『근관치료 진행중…』


죽어버린 치수 조직을 제거하며,
충전 재료로 빈 공간을 채워드리는
과정을 진행합니다.

그 뒤에 크라운 보철을 씌울 수 있도록
프렙(Prep)이라는 단계를 시행합니다.
그 전에 태평동치과 에서
포스트라는 작업을 추천드렸습니다.
왜냐하면 크라운 보철을 씌웠을 때,
조금 더 오래 단단히 쓸 수 있도록
기반을 튼튼히 하는 과정을 거쳐야
사용 기간을 늘릴 수 있기 때문이죠.
그 뒤에 프렙으로 모형을 다듬어
본을 뜬 뒤에 크라운을 세팅하여
오래 사용할 수 있도록 해줍니다.


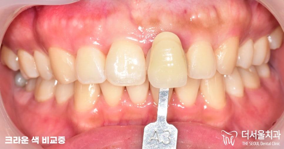
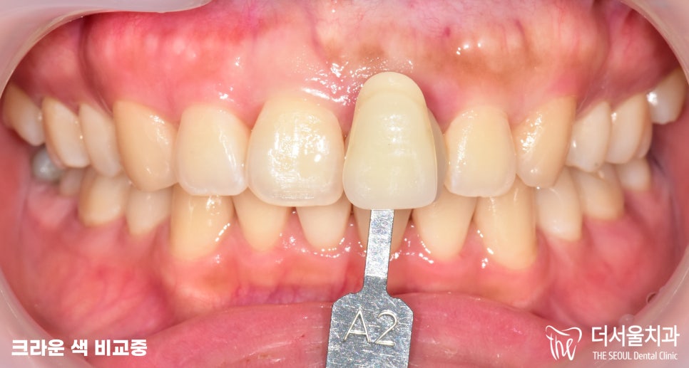
그 다음에 양 옆에 치아와
비슷한 색감의 크라운을
세팅할 수 있도록
보철을 가져다대어 비교를 해봅니다.
태평동치과 에선 A2, A3를 비교했을 때,
A2가 좀 더 적합하다 판단되어
해당 보철로 제작 후 세팅해드리기로 했습니다.
환자분 역시 A2가 더 낫다며
이것으로 하는게 좋겠다는 의견을 주셨습니다.
(카메라 플래쉬 때문에 조금 차이가 날 수 있으나,
실제로 보았을 때, 동일하게 맞춰드렸습니다.)
『앞니 변색 치료 결과』
확실히 깔끔해진 앞니를 볼 수 있죠?
변색 또한 말끔히 처리되었으며,
깨진 곳까지 온데간데없이
깨끗하게 변한 것을 볼 수 있습니다.
마치 원래 가지고 있는 것처럼 느껴지죠?
태평동치과 환자분 역시
치료 결과에 만족하셨으며,
주변 분께 추천을 받아 오게 되었는데
생각했던 것보다 더 좋은 결과를 얻어서
너무 감사드린다고 말씀해주셨습니다. ^^
이제는 환하게 웃고 다닐 수 있게 되었다며
정말 기뻐하셔서 다행이었습니다.
이렇게 앞니 변색이 일어났다면,
첫 단락에서 말씀드렸던
2가지를 체크하여
빠른 시일 내에 치료를
받아볼 수 있기를 바랍니다.
더 늦을수록 치아를 살릴 확률은
낮아지게 됩니다.
임플란트 수술이 있기는 하나,
의료진들은 하나같이 입을 모아
추천 드리고 있는 것은
될 수 있으면 본인의 것을 조금 더
오래 사용할 수 있도록
최선을 다하여 살리는 것이죠.
그만큼 자연치아를 쓰는 것보다
더 좋은 것은 없습니다.
평소에 구강 케어를 소홀히 하지 않으시길 바라며,
검진을 받을 때를 꼭 지켜주셔서
내원할 수 있기를 바랍니다.
오늘의 글도 읽어주셔서 감사합니다.
더서울 태평동치과 쌍둥이
박현성 원장이었습니다.



치료 기간 : 2022.01.13 ~ 2022.02.16







