앞니 라미네이트 치료, 크라운으로도 할 수 있다!

안녕하세요, 박현준 원장입니다.
오늘 보여드리는 임상 증례는,
크라운 수복으로 앞니 라미네이트 치료
처럼 한 임상 케이스입니다.
아래 사진으로 자세히 설명드릴게요.

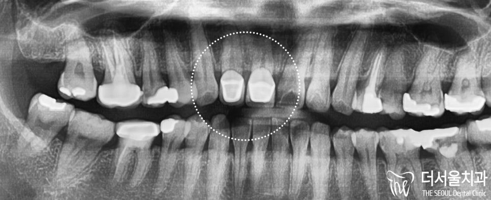
앞니 통증 때문에 더서울치과에
오신 분의 엑스레이입니다.
큰 앞니와 작은 앞니에서
통증을 느끼고 있었으며
신경치료는 되어있지 않으나,
크라운이 씌워진 것을 볼 수 있습니다.
* 통증이 있다는 것은,
치아의 생활력에 문제가 있다는 뜻이며
거의 대다수 높은 확률로 신경치료까지
진행을 해야 상황이 낫는 경우가 대다수입니다.

먼저 정면 사진을 보여드립니다.
왼쪽 앞니 2개는 크라운이 씌워져 있고
오른쪽 큰 앞니는 인접면 우식증이
발생 된 것을 볼 수 있습니다.
『그러면서 큰 앞니 사이에는
살짝 틈이 있는것이 보여지죠?』
심미적으로도 좋지 않을 뿐더러,
통증도 느끼고 계시기 때문에
기존 크라운을 제거하면서
신경치료를 해드려야 되는
상황으로 간주할 수 있죠.

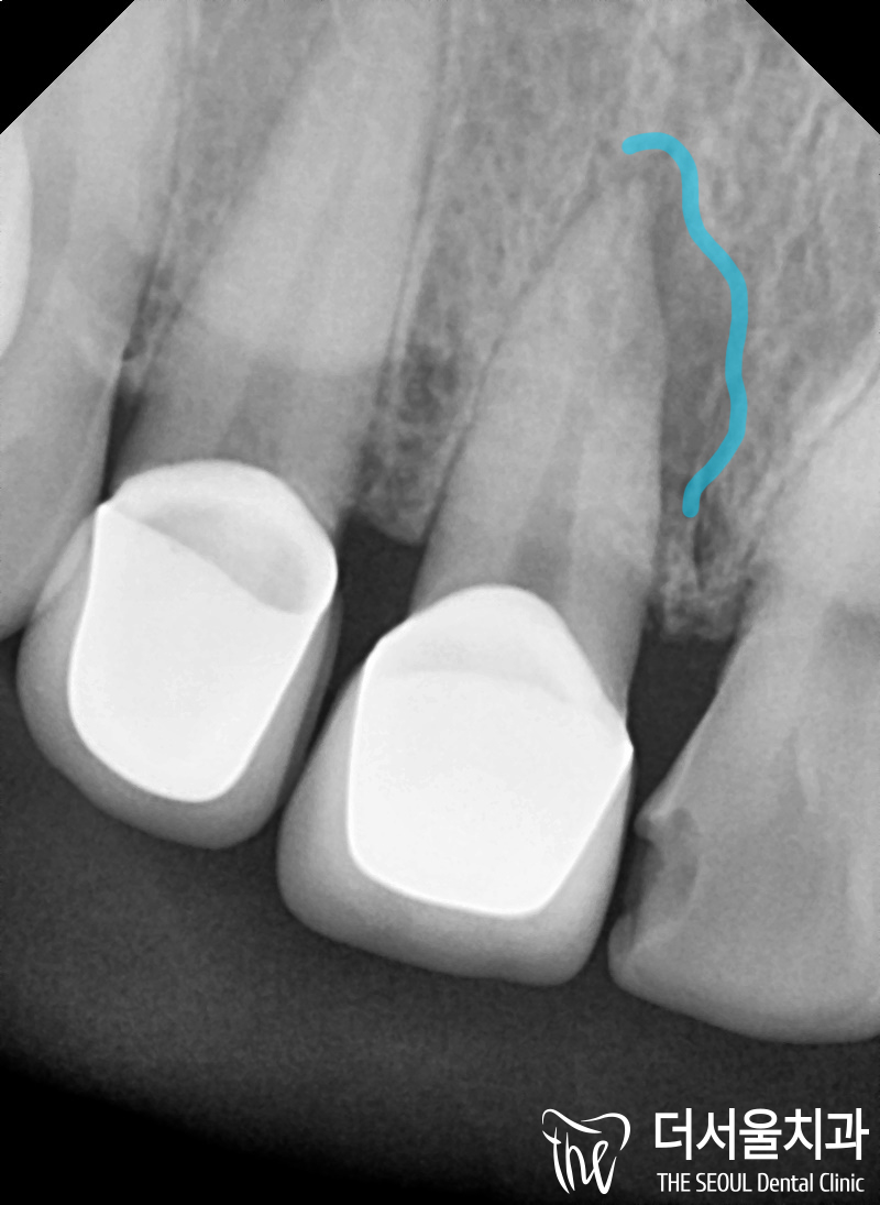
우선, 통증의 원인을 정확히 찾아야 되서
해상도 높은 엑스레이로 해당 부위의
촬영을 진행했고
그 결과, 일부 염증이 있는 것을
볼 수 있습니다.
파란색으로 표시를 해두었죠?
조금 더 늦게 오셨더라면
앞니를 발치해야 되는
상황까지 발전 되었을 수 있습니다.
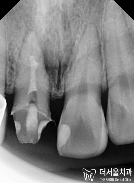
『문제는 부근관』
먼저 치료 결과를 보여드릴게요.

보통 치아의 뿌리의 갯수만큼
또는 형태만큼 신경관이 있는 것이
정상이나 이 분의 경우 기이하게(?)
주 근관에서 따로 나뭇가지처럼
퍼져나가는 부근관이 존재했습니다.
결국, 신경치료를 진행 할 때
이 곳 또한 재료로 꼼꼼히
충전을 시켜야 되는 상황이였죠.
근데 부근관은 실제로 저도
많이 놓치는 치료중에 하나입니다.
신경관의 크기가 0.1mm 가 될 정도로
미세하기 때문에 이런 증세가 있지
않은 이상에는 쉽게 찾아내기가 어렵습니다.
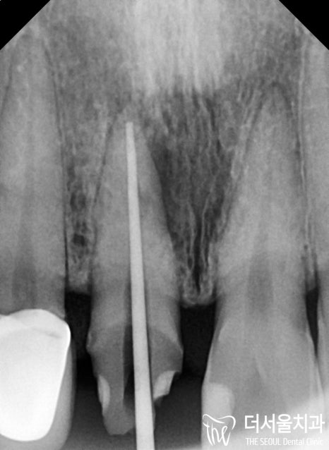
그래서 결과 부터 보여드린거고


저런 부근관을 채우기 전에는,
메인 신경관 부터 먼저 꼼꼼히
소독을 하면서 뿌리로 부터 치관까지
꼼꼼히 충전을 해나가게 됩니다.

이후, 신경치료가 된 뒤에는
라미네이트 처럼 예쁜 크라운을
만들어서 올려드려야 되는데
그 전에 shade taking 을 거쳐서
양 옆에 있는 치아들과 색조가
어우러질 수 있도록 합니다.
이 과정은 은근히 중요합니다.

또 보면, 교합면에서 일반 치아와
크라운과 색조 차이가 꽤 많이
나는것을 볼 수 있죠?
사진에는 크게 느껴지지 않으나
실제로 보면 더 많이 티 납니다.
그래서 앞니 사이 충치치료를
해드리면서 크라운 또한
심미성을 살려드리는 것이
핵심 요지인거죠.
『최종 결과』

충치가 있는 곳은, 레진으로
수복해드리면서 간단히 메꿔드렸습니다.
살짝 티는 나는데 이건..
환자께서 이렇게 해달라 하셔서
레진으로 해드린거고..
부근관 존재에 따라서
통증이 있던 곳에는 신경치료를
통해서 통증은 가라앉았고
색조 선택에 따라서
이제 라미네이트 처럼 예쁜
앞니 크라운이 수복 된 것을
보실 수 있습니다.
『오늘 정리』
앞니 치료에 있어서,
가장 중요하게 여겨야 되는 것은
기능은 기본이며 심미성을 살리는 것이
핵심 포인트라 생각 됩니다.
어금니야 뭐, 조금 색조가 달라도
결국 제 기능만 부여를 하면
사용을 하는데 지장이 없는데
앞니의 경우에는 우리가 말을 하거나 웃을 때
또는 거울을 볼 때 바로 눈에
띄는 치아이기 때문에 색조 및
형태가 밸런스 있게 만들어져야 됩니다.
그래서 앞니 치료는 열심히 만들어드려도
결국 환자께서 만족을 해야 만족이 되는
치료라는거!
그래서 저는 앞니 크라운 및 보철치료와
라미네이트를 할 때 환자와 계속 소통을 하며
거울로 보여드리면서 서로간 조율을
진행하고 있습니다!
아래에서 앞니 관련 케이스를
더 만나보길 바랍니다!



치료기간:2022.02.05~2023.02.13
