앞니 벌어짐, 청소년 인비절라인으로 개선을 도왔던 스토리
“ 웃을 때 눈에 바로 보이는 곳이 앞니 쪽입니다. ”
근데, 여기에 치아 사이 틈 이 있을 땐
여간 신경 쓰이지 않을 수 없는데요.
심미적인 문제는 물론이며
기능적으로도 좋지 않은 영향를
끼칠 수 있기 때문에
빠른 시일 내에 진료를 받아야 됩니다.
치아 사이 틈 이 있을 때는
크게 3가지의 치료 방법으로
개선시킬 수 있습니다.
1) 레진
2) 라미네이트
3) 교정
이렇게 3가지가 있는데요.
각기 비용이 다르면서
장점이나 단점 또한 다릅니다.
하나씩 풀어서 설명드리겠습니다.
“ 레진(Resin filling) ”
비교적 저렴한 편에 속하며
당일에 끝낼 수 있습니다.
그러나 시간이 오래 지나게 되면
변색이나 탈락이 생길 수 밖에 없습니다.
“ 라미네이트(Laminate) ”
원하는 색상으로 맞출 수 있으면서,
형태 또한 맞출 수 있습니다.
그러나 최소 삭제라 해도
멀쩡한 자연치의 표면을 삭제해야 되는
경우가 생길 수 밖에 없죠.
“ 교정(Orthodontics) ”
자연치 삭제 없이 개선이 가능합니다.
다시 재발 할 가능성이 낮은데요.
그러나 다소 시간이 오래 걸리며
다른 치료에 비해 비용이 높은 편입니다.
자, 이렇게 치아 사이 틈 이 있을 때는
어떻게 치료를 할 수 있는지
3가지 방법을 설명드렸는데요.
오늘은 앞니 벌어짐으로 더서울에
오셨던 분의 실제 사례를 하나 보여드릴게요.
【 청소년 인비절라인 치료 과정 】
라는 주소로 더서울치과에 오셨던
분이 있었습니다.
이 분께서는 스스로 거울을
볼 때 마다 스트레스를 받으셨다고..
그래서 찾아오셨습니다.

이미 교정을 받고 싶다는 생각이 있으셨으며,
인터넷이나 유튜브 검색을 통해
더서울에 대해 빠삭하게 알고 오셨더라고요ㅎㅎ
앞니 벌어짐이 너무 스트레스였다는데요.
이와 더불어 2급 부정교합도
함께 관찰되고 있었기 때문에
성장판 확인을 거친 후!


“ 곧바로 청소년 교정 치료를
시작하기로 했습니다. ”
【 인비절라인 교정 진단 】
이 분은 10대 사춘기라 교정을 할 때
티가 나질 않길 바라셨는데요.
“ 이 말은, 인비절라인으로
해야 된다는 얘기죠ㅎㅎ ”



2급 부정교합 그리고
앞니 벌어짐을 인비절라인으로
개선을 돕기로 했습니다.

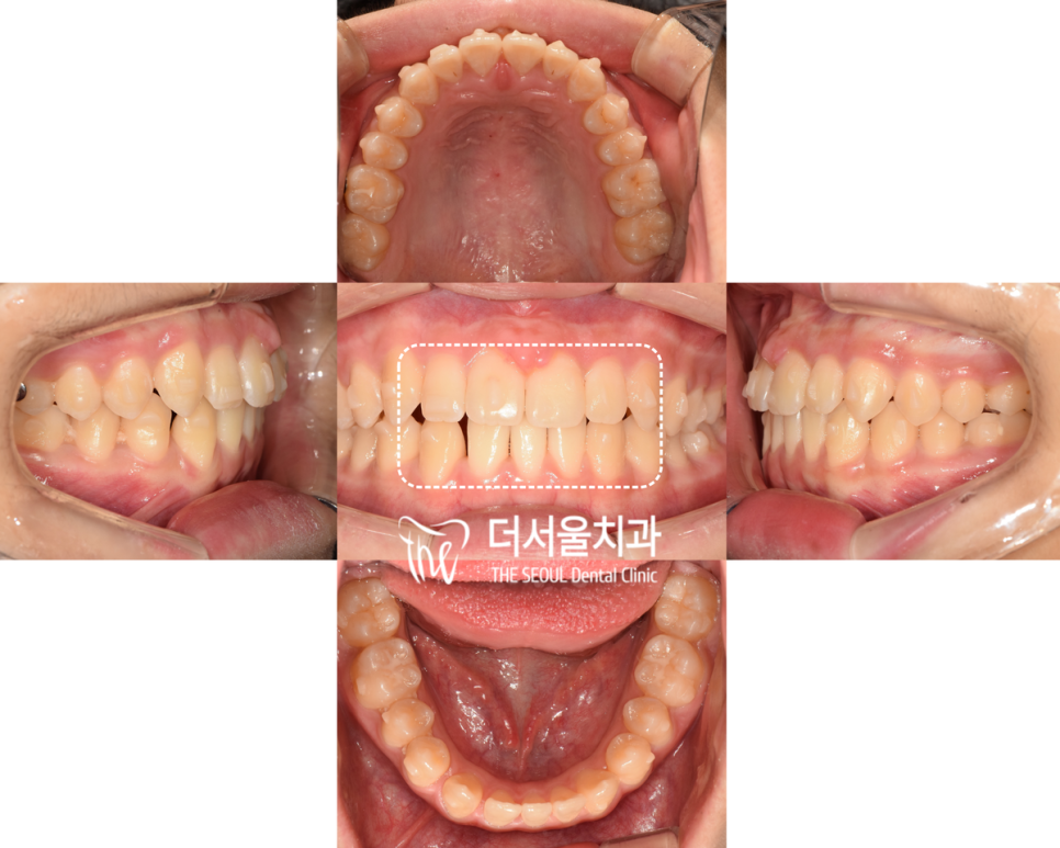
【 결과 】

앞니 벌어짐 은
반년이 채 걸리지 않아서 닫혀버렸습니다.
약 1년 반이 흐르고
2급 부정교합 및 하악 전치부 총생이
말끔히 없어졌네요.

환자께서도 너무 마음에 든다는
말씀을 하셨는데요.
성공적으로 앞니 벌어짐 치료를
마칠 수 있었습니다.

【 오늘 정리 】

청소년 인비절라인의 경우
성장 검사를 통해
적절한 치료 시기에 맞춰 진행하면
통증이나 불편함을 최소로 하여
빠른 시일 내에 개선이 가능합니다.
그러나 성장이 멈추게 되면
통증, 기간은 더 늘어나게 된다는 점!
시기의 중요성이라 할 수 있죠.
만약 우리 아이 치열이 삐뚤다면
최대한 빠른 시일 내에 오셔서
검진을 받길 바랍니다.
글쓴이, 박현준 원장이였습니다.

치료기간 2020.02.11 ~ 2021.07.12


