신경치료 후 크라운 , 씌우지 않으면 이런 문제가 생길 수 있습니다. 치근단 염증 개선 과정

주말은 평일과는 달리
시간이 배속으로 가는 것 같네요ㅎㅎ
오늘을 시작으로 내일까지
비가 많이 내린다고 합니다.
비가 내리고 나면
본격적인 추위가 시작한다니
여러분들 모두 건강 유의하길 바랍니다.
자 오늘 소개해 드릴 케이스는
이가 스치기만 해도 아프다며
더서울을 찾아오셨던 환자분의 진료 과정입니다.
위, 아래 치아가 닿기만 해도 아프다며
극심한 통증을 느끼고 계셨는데요.
어떻게 개선을 도와드렸을지,
신경치료 후 크라운 을 왜 해야 되는 건지
하나씩 설명드리도록 하겠습니다.
【 치근단 염증 】
“ 뿌리 끝에 염증이 생긴 것을
치근단 염이라 부릅니다. ”
눈에 잘 띄지 않는 곳에 생기기 때문에
조기 발견 및 예방이 어려운 편인데요.
그래서 병소가 진행되어
극심한 불편함을 느낄 때쯤
저희 더서울에 급히 오는 분들이 많죠.
평소 청결한 위생관리,
그리고 꾸준한 검진을 진행하여
구강 관리를 하는 것이 좋습니다.
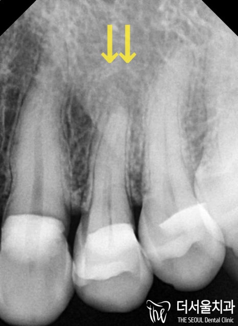
【 이가 너무 아파요.. 】
이가 닿기만 해도 아프다며
오셨던 분입니다.
검진을 진행하여 확인해 보니
뿌리에 염증이 잡힌
치근단염이 생긴 것으로 확인되었는데요.


이전에 씌워놓은 골드 크라운 하방으로
이차적인 문제가 발생하여
이렇게 뿌리 끝까지 감염이 된 것으로
추측을 할 수 있었습니다.

아무리 튼튼한 보철이라도
시간이 지남에 따라
크랙이 가거나 접착이 떨어질 수 있습니다.
3-6개월에 한 번씩 검진을 진행하고,
보조용품을 사용하여
청결하게 관리를 하는 것이 좋죠!
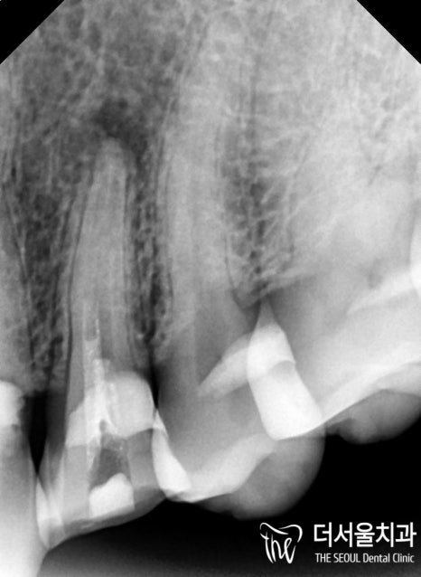
이때 개선을 도울 수 있는 방법으로는
신경치료 후 크라운 수복이 대표적인데요.
위 내용을 환자께 설명드린 후
자연치를 살리는 마지막 술식이
엔도를 진행하기로 했습니다.
신경치료 후 크라운 수복으로
개선을 돕기로 했기 때문에


내부에 감염된 병소들을
꼼꼼하게 제거하고
소독, 충전 과정을 거쳐
모든 과정을 마무리할 수 있었습니다.
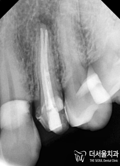
이후 밀폐 작업까지 확실하게 마친 뒤에
병소의 재발 여부를 확인하고
최종 보철을 제작하여 올려드렸는데요.


지르코니아라는 재료를 사용해서 그런지
훨씬 심미적이고 튼튼한 형태의
보철이 완성되어 올려져 있는 모습입니다^^
【 음.. 중간에 과정을 멈추면요? 】
간혹 신경치료 후 크라운 을 씌우지 않으면
어떻게 되는 건지 여쭤보는 분들이 계십니다.
만약.. 최종 보철까지 세팅을 하지 않고 지낸다면
이가 약해져서 어느 순간
부러지는 문제가 생길 수 있습니다.
또한 외부 충격이나 세균들의 감염으로부터
보호를 받을 수 없을뿐더러,
치관 역할을 하는 곳이 없기 때문에
제대로 된 치아의 기능을 하지 못하게 되죠.
신경치료 후 크라운 은
꼭 필수라는 점!^^
한 주 마무리 잘 하시고,
저는 또 다른 좋은 케이스로
찾아오도록 하겠습니다.
긴 글 읽어주셔서 감사합니다.
더서울의 박현준 원장이었습니다.



치료기간 2022.05.02 ~ 2022.06.03

