‘융합치를 고려한 앞니 교합 재현’ 이번엔 충주에서 성남 더서울 치과까지 오셨던 분입니다.
충주, 참 좋은 곳이죠.
이전에 몇 번 가본 적이 있는데
드라이브하기도 좋고,
딱 단풍 구경을 하기 좋더라고요ㅎㅎ

그러나.. 차 타고도 한 시간 반이
넘게 걸린다는 사실ㅜㅜ
“ 제가 왜 이런 얘기를 꺼냈냐 하면..! ”
얼마 전 치료를 마무리하셨던 환자분께서
충주에서 성남 치과 를 왔다 갔다 거리시면서
임플란트를 받으셨더라고요.
오늘은 이분의 진료 과정을
여러분들께 소개해 드리며
‘앞니 교합’ 과 관련하여
얘기를 나눠보려 합니다.
【 초진 】
“이가 안 예뻐요..
너무 불편하고 신경 쓰여서
소문 듣고 오게 되었습니다.”
100km가 넘는 충주에서 성남 치과 까지..
소문을 듣고 오게 되었다는데요.
더서울의 소문은 과연 어디까지 인 걸까요..?
동남아, 충주, 제주도… 등등^^

다시 본론으로 돌아가 초진 사진을 보면
전치부 치아들의 상황이 좋지 않아
금방이라도 빠질 거 같은 모습이었습니다.
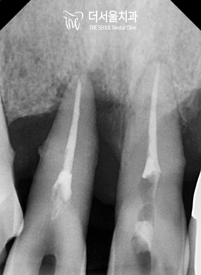
파노라마를 찍어 확인해 보니
이전에 신경치료를 받았던
흔적을 볼 수 있었는데요.

이곳에 문제가 생기게 되었고
제때 치료를 받지 않고 방치하게 되어
결국에는 전치부 치아 전체에서
흔들림과 통증, 구취, 치근 드러남 등
여러 복합적인 문제가 나타나게 된 것이죠.
이렇게 눈에 잘 띄는 곳은
제때 진료를 받지 않으면,
심미적인 문제는 물론이며
추후 심리적인 측면에도
좋지 않은 영향을 끼치게 됩니다.
하루빨리 성남 치과 에 오셔서
올바른 조치를 취하는 것이 좋죠.

【 계획 】
성남 치과 에서는 상황이 좋지 않은
상악 전치부 치아들을 발치한 후에
임플란트를 식립하여 브릿지 형태로 이어진
보철을 제작하여 씌워드리기로 했습니다.
이때 맞물림이 잘 맞지 않고
형태에도 문제가 생긴 것을 고려하여
앞니 교합 도 자연치처럼 재현하기로 했죠.
또한 이분의 경우 하악 아랫니가
2개의 이가 하나로 붙어 있는 ‘융합치’였는데요.
이런 점을 모두 고려하여
보다 자연스럽고 심미적인
개선을 도와드리기로 했습니다.
【 치료 】




컴퓨터 분석을 사용하여
식립 위치를 계산했습니다.
전치부는 폭이 좁고
치조골이 충분하지 않기 때문에
이런 점을 모두 고려하여 픽스쳐의
종류를 결정할 수 있었는데요.

추후 제작될 보철 또한
디지털 분석으로 디자인하여
완성도 높은 앞니 교합 및 형태 재현이
될 수 있도록 진료를 돕기로 했습니다.

앞서 정해놨던 곳에
알맞게 심어진 고정체의 모습입니다.
다행히 초기 고정력도 어느 정도 잘 나왔으며
계획했던 곳에 잘 심어졌는데요.
이제 골화가 이뤄지는 것을 기다린 뒤에
최종 보철을 제작하여 씌워드리기로 했습니다.

약 3개월 뒤 완성된 브릿지를
세팅한 모습입니다.
튼튼하게 제작되어 자리를 잡고 있는데요.
훨씬 건강하게 바뀐 것을 볼 수 있네요.

융합치 등을 고려하여 만들었더니
앞니 교합 또한 잘 제작되어
걸리는 곳 없이 편하게 물린다고 말씀을 하셨습니다.
“ 앞니 교합 도 어금니처럼
맞닿는 게 좋은 건가요? ”
아니요. 그렇지 않습니다.
일반적으로 정상 맞물림은
어금니에 툭 튀어나온 교두가 대합 되어
맞물리는 것을 의미합니다.
이때 앞니 교합 은 위, 아래가 서로 닿지 않고
윗니가 아랫니를 살짝 덮는 형태로
재현이 되는 것이 제일 좋은 모습이죠.

성남 치과 의 치료 결과가 너무 마음에 든다며
세상을 다 가진 것처럼 행복하다는
소중한 감사 인사까지 남겨주셨습니다^^
먼 충주에서 오시느라
정말 고생 많으셨을 우리 환자분!
연말 술자리 조심하시고
친구, 지인분들에게
멋진 미소 보여주시길 바랍니다.
멀리서도 찾아오는 더서울,
앞으로 더 좋은 진료를
더 많은 분들께 보답해 드리겠습니다^^
감사합니다. 성남 치과 박현준 원장이었습니다.

치료기간 2020.02.19 ~2020.07.09

