상악동 거상술로 모자란 뼈를 채워준 뒤 임플란트를 심어드렸습니다. 성남 치과

안녕하십니까, 박현준 원장입니다.

오늘 보여드릴 임상 증례는,

상악동 골 이식으로 임플란트가 심어질

공간을 확보를 했던 케이스인데요.

식립을 해야 되는 위치에 있는

뼈의 두께가 충분하지 않았기에

그 과정이 쉽지는 않았습니다.

뼈의 두께가 조금 밖에 남아있지

않았던 이유는 무엇일까요?

정기검진을 하지 않았다는

뜻이기도 하죠ㅎㅎ

이런 증세들이 나타나기 전,

성남 치과 에 오셔서 상담을 받은 뒤

조기대응으로 이어졌다면,

간단히 치료를 하고 끝났을 수 있습니다.

【 상악동 거상술을 동반한 식립 】

대략 3-4년 전에 성남 치과 에서

왼쪽 어금니 임플란트를

심으셨던 분입니다.

그떄 너무 편하게 받으셨다면서

오른쪽 치료를 받고 싶다며

다시 찾아와 주셨는데요.

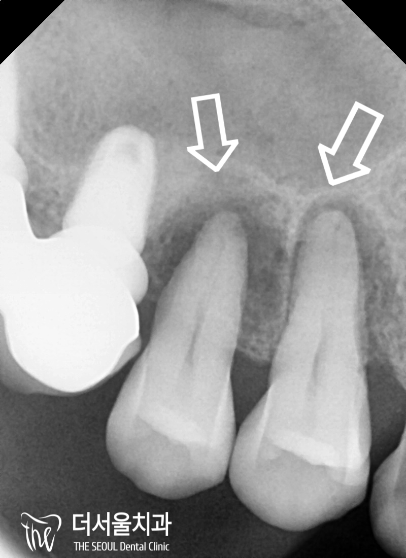
상악동은 ‘빈 공간’ 이며

이곳이 얇은 막으로 감싸져 있습니다.

뿌리쪽을 들여다 봤을 때

어둡게 보여지는 ‘염증’ 들도 관찰되었죠.

이런 병소들이 점점 퍼져나가면서

뼈를 녹여서 두께가 얇아진 것입니다.


뿌리 끝이 어두워져 있는 것이 확인되죠?

이것들을 그대로 두면

주위로 계속 퍼져나가게 됩니다.

이에 따라 치조골이 퇴축이 되면

잇몸 또한 같이 내려앉게 되죠.

자, 이렇게 초진을 끝낸 뒤에

컴퓨터 사전 진단 프로그램으로

정밀 진단을 했습니다.

그 결과 시뮬레이션에서도

상악동 골이식 및 거상술을 해야 된다는

내용을 볼 수 있습니다.

그럼 시간이 흘러 염증들이

점점 가득차게 되면서

더 큰 수술로 이어질 가능성이 높기에

이렇게 뼈가 얇을 때에는

‘Sinus lifting & GBR’은 필수입니다.

위 내용을 토대로

성남 치과 에서 환자께

수술 계획을 설명드렸으며

“아프지 않게, 잘 부탁드립니다.” 라는

답변을 받았습니다^^


진단 결과에 따라서

수술을 진행했습니다.

남아있는 치아들을

발치를 했으며 곧 이어

거상술을 집행했습니다.

뼈와 막이 박리가 된 것을

확인을 한 뒤에 그 속으로

뼈 이식재를 이식해드린 뒤

픽스쳐 2개를 식립했습니다.

이제 바로 보철을 올리는 것이 아니라,

뼈 세포와 만나서 굳을 때 까지

기다려야겠죠?

물론 식사를 하는데에 지장이 없도록

임시치아를 만들어서 끼워드립니다^^


뼈 이식재는 혈액과 만나게 되면

골 융합 과정을 거치게 되며

엑스레이로 확인을 했을 때에

하얗게 보여집니다.

기존에 있는 자연치아들과 색조가

비슷하게 만들어드렸습니다.

이렇게 성남 치과

임플란트 수술이 끝났습니다^^


치료가 끝난 뒤 환자분과 대화를 나눠보니

사실 다른 곳에서는 뼈가 얇아서,

시술을 할 수 없다는

판정을 받으셨다는데요.

이전에 진료 받았던 기억이 떠올라

이사를 가셨는데도 불구하고

더서울을 찾아오셨다는 말씀을 하셨습니다.

아마 거상을 해야 되는 높이가 높았기에

어렵고 까다로운 과정을 필요로 해서

다들 꺼려하는게 아닐까.. 생각이 들었습니다.

해당 술식은 얇은 막을 위로 올리기에

박리를 하는 과정에서

쉽게 찢어질 수 있는데요.

따라서 실력과 노하우가 좋은 곳에서

진료를 받는 것이 좋습니다.

이와 관련하여 문의할 내용이

있는 분들은 아래 댓글 혹은

성남 치과 로 연락 주시면

답변 도와드리겠습니다.

감사합니다.

치료기간 2020.05.01 ~ 2020.09.22

답글 남기기

Your email address will not be published. Required fields are marked *.

*
*
You may use these <abbr title="HyperText Markup Language">HTML</abbr> tags and attributes: <a href="" title=""> <abbr title=""> <acronym title=""> <b> <blockquote cite=""> <cite> <code> <del datetime=""> <em> <i> <q cite=""> <s> <strike> <strong>

Copyright © 2025 더서울치과. All Right Reserved.
BACK TO TOP