과개교합 (deep bite) 인비절라인 후기 및 치료 과정

과개교합은 윗니들이
아랫니를 많이 덮고 있는 것을 말합니다.
보통 정면에서 봤을 때
눈에 보여지는 아랫니가 가려져서
조금만 관찰되는 형태를 말하는데요.
외적인 콤플렉스는 물론이며
면 종류의 음식을 끊는
절단을 아예 하지 못하기에
생활 곳곳에서 불편함이 느껴지게 되죠.
더서울의 실제 환자분의 인비절라인 후기,
그리고 사진을 보며 설명드리겠습니다^^
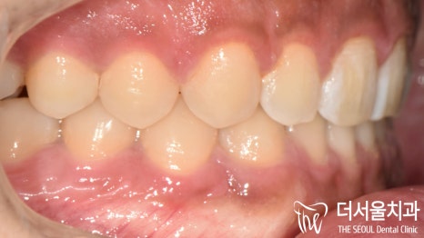
1. 초진
앞에서 봤을 때
하악 전치부들이 상악 전치부에
많이 가려져 있는 것을 볼 수 있습니다.

이런 딥바이트는 그대로 두면,
여러 부작용이 나타나게 됩니다.
치아들의 교합면이 빨리 마모가 되면서,
시끈거리거나 지끈거리는 느낌을 받을 수 있고
턱 관절 디스크가 터지거나 욱신거림 등의
증세가 나타날 수 있습니다.


실제로 저희 인비절라인 후기 치과에 오셨던
이 환자께서도 구강 내에
여러 문제들을 갖고 계셨었습니다.
앞니는 양 옆으로 벌어진 형태였으며
양쪽 절단연이 비대칭적인
모습을 갖고 있네요.


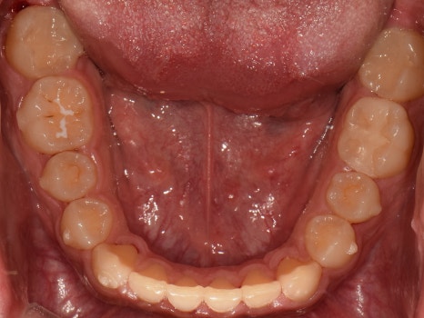
어금니 뒤쪽은 배열에서 벗어나
삐뚤어져 있는 총생을 갖고 있었습니다.
이를 크라우딩(crowding)이라 부릅니다.
맨 뒤에있는 어금니가 올바른 맞물림이 아니라
바깥 쪽으로 뻐드러져 교합이 되지 않고 있었는데요.


다행히 골격적인 문제는 없었으나
심한 딥바이트로 인해 저작이나 절단 등
치아 기능이 제대로 되지 않고 있었습니다.
이런 교합을 계속해서 내버려두게 되면
단순 치아 문제가 아니라
턱관절에도 좋지 않은 영향을 끼치게 됩니다.
본원에 오는 부정교합 환자 중
거의 대부분은 턱 불편함을 갖고 있을 정도죠.
이처럼 치아 교합은 관절과
긴밀한 관계를 갖고 있는데요.
위 내용은 추후 좀 더 자세하게
다뤄보도록 하겠습니다.
2. 계획
“선생님, 제가 여기에 오기 전
인비절라인 후기 를 찾아봤는데
다들 여기를 권하길래 오게 되었습니다.
잘 부탁드립니다.”
위와 같이 말씀을 하셨는데요.
평소 깊게 물리는 앞니로 인해
외적으로나 기능적으로나
스트레스를 많이 받으셨기에
신속히 개선을 돕기로 했습니다.
저희 인비절라인 후기 가 좋은 것을 본 뒤에
찾아오셨기 에 장치 또한 Invisalign 으로
진행하기로 계획을 세웠습니다.

구강을 디지털 스캐너로 촬영을 한 뒤
가상 모형을 만들었으며
클린체크 프로그램으로 치아이동을 체크해봤습니다.


본원에서는 윗니와 아랫니의 함입으로
교합관계를 긴밀하게 바꿔주면서
과개교합(Deep bite)를 개선시키기로 했습니다.
3. 치료
환자의 니즈 및 요청사항을
최대한 반영하여 진료를 도와야
더 좋은 결과를 얻을 수 있습니다.
발치를 하지 않고 희망을 하셨기에,
자연치를 보존하며 이동을 돕기로 했죠.
이분의 경우 구강 관리에도
어려움을 느끼고 있었기에
위생 관리 및 스케일링 중요성을
강조해가며 진료를 도왔습니다.



그대로 비발치로 진행이 되었으며
충치치료와 과개교합 개선이
위와 같이 진행 중이네요.
치아 표면을 자세히 보면
어태치먼트가 부착 되어 있는데요.
거의 티가 나지 않기 때문에
크게 걱정하지 않으셔도 됩니다^^
“ 드디어 모든 과정이 마무리 되었습니다. ”
기간은 대략 18개월이 소요 되었으며
어떻게 바뀌었는지 보여드리겠습니다.^^

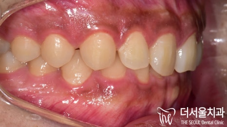
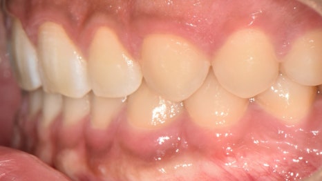
이제 아랫니가 많이 보입니다.
올바른 피개량을 갖게 되어
이전에 비해 훨씬 편안하고
안정적인 모습으로 바뀌었습니다.
절단연부터 느껴지는 비대칭도
상당 부분 나아진 것을 볼 수 있으며
정중선도 알맞게 일치하고 있네요.


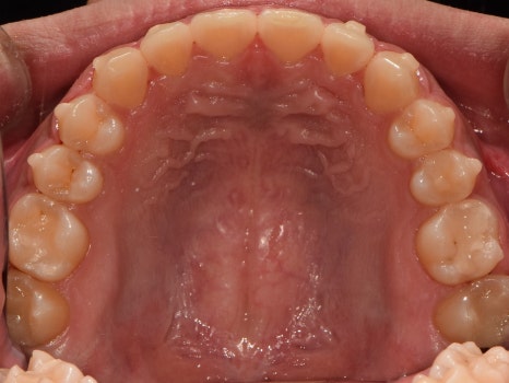
구치부 교합도 훨씬 긴밀해졌으며
톱니바퀴와 같이 잘 물리고 있는 모습입니다.
전체적으로 정상 교합으로 바뀌었는데요.


교합면에서 관찰해보면
밖으로 뻗쳐 있던 어금니들도
제 위치를 찾아 돌아온 것을 볼 수 있네요.


자, 인비절라인 후기 를 끝으로
윗니 및 아랫니 설측면(Lingual plane)에는
유지장치들을 부착했습니다.


안모에 있어 큰 변화는 없지만
전에 비해 너무 편하게 잘 물린다며
인비절라인 후기 까지 남겨주셨는데요.
1년 반도 안걸려서
이렇게 바뀔 수 있다는게
아직까지 너무 신기해요.
치료 받으러 올 때마다
꼼꼼하게 설명해주시고
위생 관리까지 도와주셔서
여러모로 건강하게 바뀐거 같아요.
앞으로 관리 잘 해서
삐뚤어지지 않도록 신경 써야 겠네요ㅎㅎ
아 그리고 진짜 티가 안나서
더 편하게 받을 수 있었어요.
역시 더서울입니다ㅋㅋㅋ
“ 인비절라인 후기 와 과정까지,
잘 보셨나요? ”
저희 더서울에서는 환자분의 목소리에
귀기울여 최선의 결과를 안겨드리기 위해
여러 방면으로 노력을 하고 있답니다.
이와 비슷한 고민을 갖고 계시다면
주저하지 말고 조금이라도 빨리
연락 남겨주세요.
다음에는 어떤 증례가 궁금하신가요?
슬쩍 알려주세요ㅎㅎ감사합니다.


치료기간 2021.07.01 ~ 2022.12.14

