성남 치과 인비절라인 돌출입 개선 과정 및 기간, Class 2급 방치하면 안되는 이유
인비절라인으로
돌출입 개선을 시킬 수 있나요?
이와 같은 질문을 꽤 많이하시더라고요.
오늘은 위 질문에 관련되어 답을 드리는 동시에
실제 환자분의 임상 증례를 보여드리겠습니다.
이제는 어떤 장치인지
그 특성은 무엇인지 잘 알고 계시죠 ~?
‘투명교정장치’ 라 하는데
비슷하지만 재료가 다르기 때문에
다른 장치라 봐야 됩니다.
더 좋은 재료를 사용하여
이를 잘 움직이게 하며,
그 소재 또한 탄력이 있고
여러 기술력이 들어간 것이 바로
‘Invisalign’ 입니다.
1. 초진 : 입이 튀어나와 있어요!
라는 주소로 예전에 성남 치과 에서 치료를
받으셨던 환자 케이스입니다.
바로 옆에서 찍은 세팔로(Ceph) 사진을
보여드리겠습니다.

노란색으로 그은 선이 바로 ‘리케츠라인’ 입니다.
코 끝과 턱 끝을 이은 가상의 선인데
여기를 기준으로 입술이 튀어나와 있으면
‘돌출입’ 이라 할 수 있습니다.
많이 튀어나와 있는 것을 볼 수 있습니다.
이에 따라, 앞니들도 앞쪽으로 뻐드러져 있습니다.
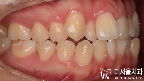
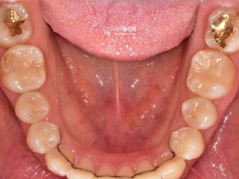
구내 포토를 봤을 때에 제가 표시를 해두었습니다.


치아들의 ‘배열’ 을 볼 수 있는데
알파벳 ‘U’자 형태가 아닌 삐뚤빼뚤 되어있는
총생(크라우딩, Crowding)이 되어있죠?
또한, 윗니는 앞으로
뻐드러져 있는 것을 볼 수 있습니다.

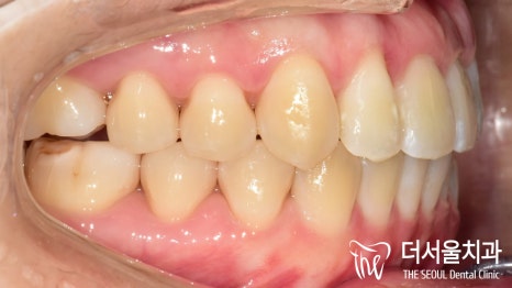
정면에서 봤을 땐,
정중심선[미드라인, mid line]이
맞지 않는 것이 확인 되는 동시에
측절치는 왜소치 경향이 있었고
송곳니는 덧니가 관찰되고 있습니다.


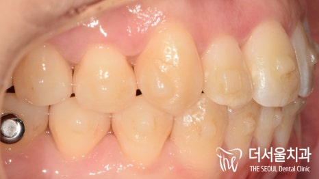
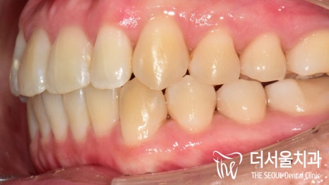
측면에서 바라보니,
앞으로 더 많이 뻐드러져 있는 것이 확인이 되죠?
이런 증세들 때문에
입술이 튀어나온 것 처럼 보여지게 되는 겁니다.
이점들을 모두 개선시켜야
예쁘고 자연스러운 옆 모습을 찾을 수 있겠죠.

얼굴포토도 같이 찍었습니다.
역시나 입술이 튀어나와 있는 것이 관찰되네요.
2. 클린체크 진단
“장치들이 티가 나질 않았으면 좋겠다”
라 말씀을 하셨기에
저는 인비절라인으로 권유를 드렸습니다.
사실 저는 꽤 많이 사용하는 편인데요
압하도 잘 되면서 어떻게 치열이
바뀌는지 미리 알 수 있고
처음 진단 과정 그대로 치아들이 움직이는 것을
볼 수 있기 때문입니다.


어디에 힘을 주어, 이동을 시키며
누르면서 당겨야 될 지
되는지를 한 눈에 볼 수 있습니다.
또한, 몇 단계에 거쳐서 배열이 되는지
알 수 있기 때문에 환자에게 설명을 할 때에도
해당 화면을 보여드리면서
시뮬레이션을 진행을 하게 됩니다.

물론, 성남치과 에서 이렇게 진단을 해드려도
환자께서도 협조를 잘 해주셔야 되며,
하루에 20시간 이상꼭 끼고 있어야 됩니다!
[식사를 할 때나, 양치질을 할 때 빼고는
항상 끼고 있는 것이 좋습니다.]
3. 어떻게 바뀌었을까?
성남 치과 에서 만든 클린체크 프로그램에
따라서 치료를 진행했습니다.





어금니를 뒤로 움직여 후방이동을 시킨 후에
윗입술을 집어 넣기로 계획을 세웠죠.
삐뚤어진 곳이 꽤 많았기 때문에
이곳을 바로 잡는라 시간이 좀 소요 되었는데요.
총 1년 9개월의 기간이 걸렸습니다.

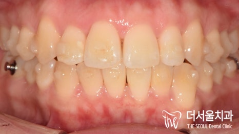
심미성이 기준이 되는 미드라인이
일치되었습니다.


교합면에서 봤을 때에, 치열이
알파벳 U 자 처럼 보여지죠?
윗니와 아랫니가 잘 맞물리게끔 재 배열을 했습니다.
즉, 기능성도 같이 향상 되었다는 뜻입니다.


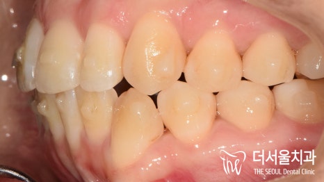
측면에서 바라봤을 때에도, 전과는 다르게
뻐드러짐이 없어진 것이 확인 됩니다.


앞으로, 6개월에 한번씩
성남 치과 내원을 하셔서
치열이 잘 관리가 되고 있는지
다른 곳에 충치 또는 염증이 있는지
살펴봐야 되기에!
정기검진을 꼭 하셔야 된다며! 라
안내도 같이 드렸습니다.
4. 드리고 싶은 말이 있습니다.

단순히, 치아교정을
‘심미’ 목적으로 하는 사람들이 많습니다.
물론 외적인 개선도 정말 중요하죠.
그러나..!!!!
본래 목적은 ‘기능’ 을 개선시키는데에
의미가 있다는 것을 꼭 아셨으면 합니다.
그 이유로는,
예쁜 것도 정말 좋지만
윗니와 아랫니가 잘 맞물려서 밥을 맛있게 먹는 것,
발음이 잘 되는것이 삶의 질을 높이는데에
오히려 더 도움이 됩니다.
감사합니다, 성남 치과 더서울이였습니다.

치료기간 2021.03.17 ~ 2022.08.29

