중년 인비절라인 부작용 없는 교정 후기 왜소치 전후 비교
모든 사람은 나이가 들면서
치아가 삐뚤어지거나 벌어집니다.
(저도 조금 벌어졌어요…)

치주 조직이 약해지면서 잇몸뼈가
이를 단단하게 잡아주지 못하기 때문이죠.
빠르면 30대, 보통 40대가 되면
시작되는 이 현상은
자연스러운 노화 과정입니다.
중년 분들은 안 그래도 잇몸이 안 좋은데
교정까지 해도 되나 고민을 많이 하시는데
치열이 많이 틀어져있으면
양치 관리가 어렵기 때문에
치태나 치석이 잘 쌓일 수밖에 없는 환경이 되어
오히려 잇몸질환이나 여러 부작용이
생길 확률이 높아집니다.
또한 충치의 발병률도 높아져
그 수명이 줄어들 수 있습니다.
이후에는 이가 빠져도
임플란트, 크라운을 하기가 어렵죠.
늦었다고 생각할 때가 가장 빠를 때입니다.

요즘 같은 100세 시대에 2년 투자해서
남은 30년 행복하게 보내야 하지 않겠습니까?
1. 초진

“오른쪽 아래 덧니가 점점 더 심해지는 거 같아요.
이가 틀어져있으니까 음식도 더 많이 끼고
아무리 양치해도 관리가 힘드네요.”
“그러셨겠어요. 나이가 들면서 치열이 바뀌긴 합니다.
이 부분은 교정을 통해 해결하시면 될 거 같아요.
더 원하시는 건 없으세요?”
“제가 앞니 두 개 바로 옆 치아들이
다른 사람보다 좀 작더라고요.
이것도 어떻게 할 수 없을까요?
그리고 제가 교사라서 보이는 직업이라..
티가 많이 안 났으면 좋겠습니다.
그리고 나중에 부작용은 없겠죠?”
“왜소치를 치료하는 방법은 다양합니다.
환자분 같은 경우는 인비절라인이라는
투명장치를 착용하면서 이를 움직이고
앞니는 크라운을 하시면 지금보다 훨씬
웃을 때 멋있으실 거 같아요”
치열 개선은 물론이고 작은 치아도 해결하는 데
티가 나지 않았으면 좋겠다?
이 멋쟁이 아버님은 저희 더서울을
정말 잘 찾아오셨네요.
인비절라인을 이용한 치열 개선과 왜소치까지
부작용 없이 한 번에 해결해 드리겠습니다.
2. 계획

인비절라인은 눈에 보이지 않는 최첨단 교정장치로
외관상 좋지 못했던 금속 보철 없이
투명한 플라스틱 장치를 이용하는 방법입니다.
또한 클린체크라는 3D 동영상으로
앞으로 변화할 치열을 미리 볼 수 있습니다.
저희 더서울에서도 반드시 치료 전 환자에게
미래에 얻게 될 만족스러운 치열을
영상으로 보여드린답니다.^^

또한 사람마다 생김새가 다르듯
이도 모두 다른 모양을 가지게 되는데요,
보기 좋은 비율로 예쁘게 생긴 분들도 있지만
일부 이에 한 해 통상적 크기보다
작게 생겨나는 경우가 있습니다.
“일반 크기보다 작은 치아 = 왜소치”
라고 불리는데요.

왜소치를 해결하는 방법으로는
레진, 라미네이트, 크라운 여러 가지 방법이 있습니다.
이 환자는 오랫동안 사용할 수 있는 재료로
자연스러운 마무리를 원하셨습니다.

우리는 인비절라인을 이용하여
보철물이 충분히 유지될 공간을 만들 수 있으니
크라운을 통해 주변치와 조화를
이룰 수 있도록 하겠습니다.
잘 관리하시면 앞니 치료는 부작용 없이
평생에 이번 한 번뿐이실 겁니다!
3. 진행 과정
인비절라인 치료 중에는 어태치먼트가 필요합니다.
배열이 잘 되었는지 후기 비교를 하기에
명확한 기준이 바로 이 어태치먼트입니다.

어태치먼트는 치면에 부착되어
각도와 방향 그리고 위치를
조절해 주는 역할을 합니다.
플라스틱 장치가 가지고 있는 힘을 더 높여주고
정교하게 이동 가능할 수 있도록
도와주는 보조 장치라고 할 수 있죠.
일반적으로 레진이라는
자연치와 유사한 색상으로
만들어지기 때문에
교사라는 보이는 직업을 가진 분에게도
티가 잘 나지 않고
그 크기도 작아서 괜찮으실 겁니다.
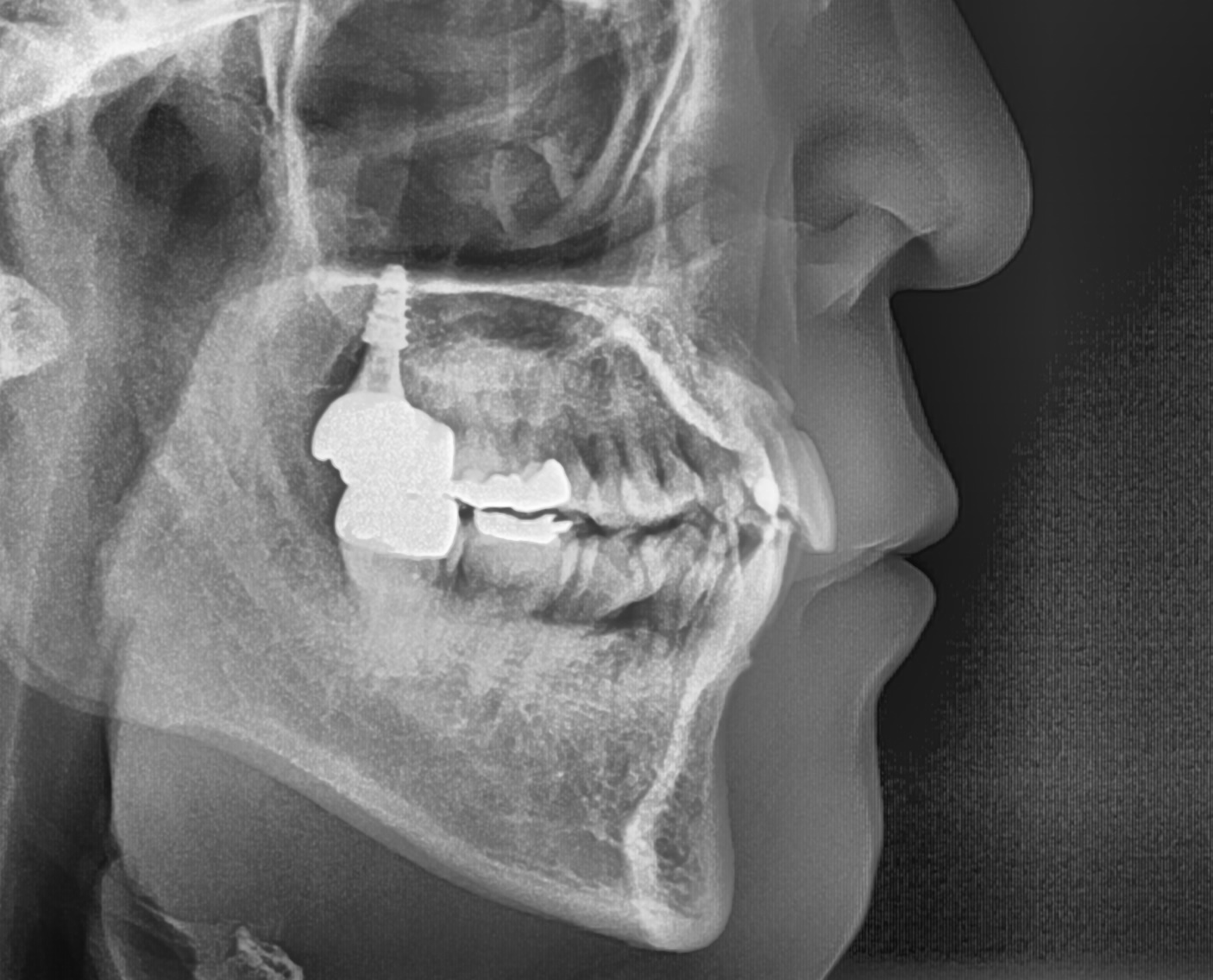
추가로 잇몸뼈에 작은 스크류를 심어서
고무줄이 당기는 힘을 이용한 이동이
더욱 더 원활하게 도와주었습니다.
잇몸에 나사를 박는다고 해서
생기는 부작용은 없으니 걱정 마세요.
A. 적절한 치료 계획
B. 적당한 개수의
올바른 어태치먼트의 배치
C. 각 단계마다 다른
전략적인 스테이지
더서울에서는 수많은 인비절라인 케이스가 쌓여
빠르고 좋은 결과를 만들어 드립니다.
4. 마무리

치료가 어느 정도 끝나가면
쉐이드 가이드를 통해

환자의 주변치와 비슷한 색상을 골라
크라운을 제작합니다.
크라운은 다른 재료에 비해
탈락률이나 부작용이 적으니 걱정하지 마세요.

앞니이기에 크기, 마모도, 투명도를 전부 고려하여
균형감 있는 치아로
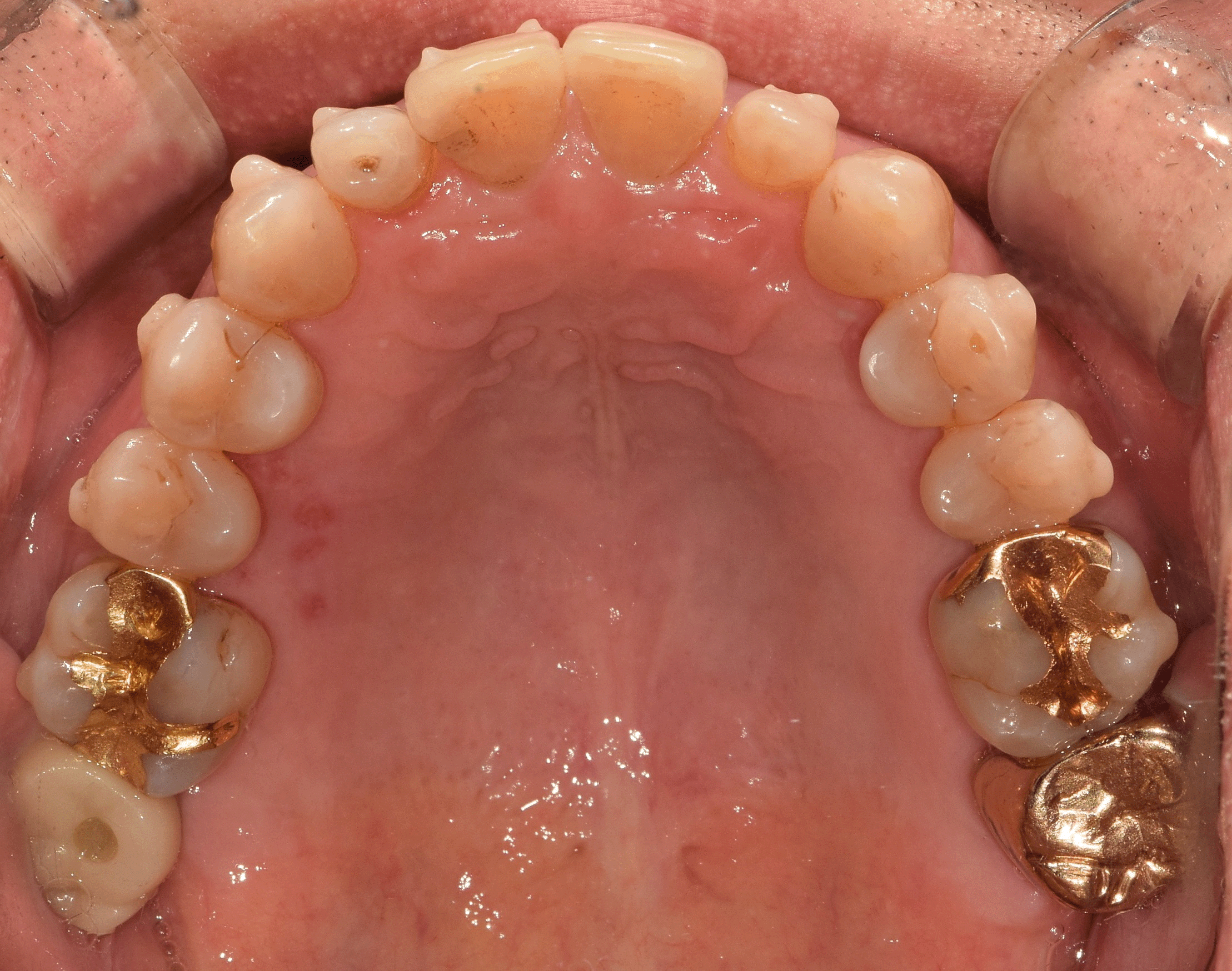
왜소치가 개선된 모습을 확인할 수 있습니다.

포스팅해도 되냐고 사진을 보여드리면서
동의를 구했는데,
실제로 보면 사진보다 더 만족스러운데,
그게 다 표현이 안되네요.
전후 비교 사진 꼭 올려주세요.
주변에서 제가 교정하는지 전혀 모르고
장치도 아프거나 불편함이 전혀 없어서
수업하는데 아무 지장 없더라고요~
원장님이 얼굴만 잘생기신 줄 알았는데
미적 감각도 좋으시네요
라고 말씀해 주셨습니다.

왕뿌듯

전체적으로 보았을 때 깔끔하게 정리된 모습이며,
주변 이들과도 자연스럽네요.

교정까지 함께 진행된 증례이기에
더욱더 심미적으로 보입니다 ^^

저희 더서울에서는 정밀하고 세심한 관찰과
각 치아에 대한 높은 이해도를 겸비하여
환자의 니즈와 요구 사항을 고려하여
진료 하고 있습니다.
이외에도 궁금한 사항이나
새롭게 알고 싶은 주제가 있다면
아래 댓글에 적어주세요.

긴 글 읽어주셔서 감사합니다.
더서울의 박현준이었습니다.

치료기간 2021.05.12~2022.01.20

