신흥역치과 치아 수직 깨짐 사용 불가로 발치 후 임플란트 수술을 할 수밖에 없던 증례

안녕하십니까, 더서울 신흥역치과 박현성 원장입니다.
깨어진 요강 단지 받들듯
이라는 속담이 있습니다.
잘 쓰지 않는 말이라 생소할 텐데요.
조심하여 삼가는 모양을 비유적으로 표현한 의미입니다.
일상 속에서 어떤 일을 하는데 있어
아는 일이라 하여 조심하지 않는 경우가 있습니다.
그러다 큰일을 겪을 수 있는데요.
오늘 보여드릴 사례 역시 마찬가지로
치아 깨짐으로 찾아오셨던 환자분입니다.
수직으로 깨져 사용 불가했는데요.
결국 발치 후 임플란트 수술을 받으셨던 분입니다.

환자분은 오랜만에 치킨을 드셨습니다.
너무 맛있게 드셔서 그랬던 걸까요..
뼈를 잘못 씹어 이가 깨지고 말았습니다.
결국 큰 통증으로 신흥역치과 에 내원하셨는데요.
살짝만 건드려도 아파하셨습니다.
그때 생각이 들었습니다.
‘이건 발치할 것 같다.’ 라고 말이죠.
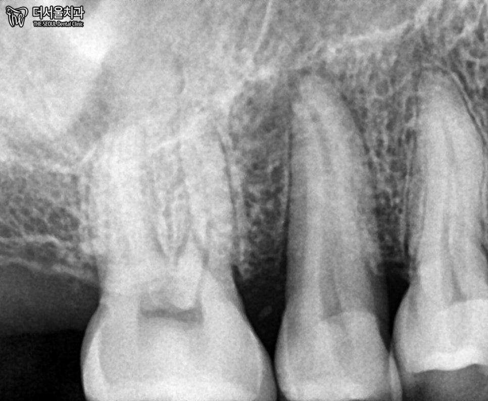
엑스레이로는 확인이 어렵습니다.
아마 수직으로 깨졌을 텐데요.
3D CT를 통해 확실히 체크해보겠습니다.


해당 치아입니다.
오른쪽에 단면을 보면,
수직으로 깊게 깨져있죠?
뿌리까지 파절되었기에
이를 살릴 수 없었습니다.

어떤 방향으로 봐도
뿌리까지 깊게 그어져있는 선을 볼 수 있습니다.
결국 발치 후 임플란트 식립을 하기로 했는데요.
그전에 신흥역치과 는 디지털 프로그램으로
계획을 수립하기로 했습니다.

그전에 빠르게 15번을 발치합니다.
그 다음, 디지털 프로그램을 이용하는데요.


이렇게 디지털 프로그램을 이용하면,
모의로 수술을 진행해볼 수 있어 좋습니다.
어디에 무엇이 부족한지 정확히 알 수 있죠.
이를 통해 추가로 진행해야 될 것들이 있는지 볼 수 있습니다.
환자분은 뼈 자체가 좋지 않았습니다.
픽스처를 심으면 상악동 막을 뚫을 수 있죠.
그래서 뼈이식을 통해 뼈를 좀 더 채우기로 했습니다.
뼈 재료를 채워 넣은 뒤, 픽스처를 심습니다.
이후, 3개월이란 기간을 회복하는데 집중했죠.
뼈와 잘 붙은 것을 확인 후,
어버트먼트와 크라운 제작에 들어갔습니다.
맞춤형으로 만들어야 관리가 쉽습니다.
때문에 인상 채득을 하여 구강 구조를 본떴죠.
제작 완료가 됨에 따라 신흥역치과 에서
최종 세팅을 하며 마무리 지을 예정입니다.
이렇게 임플란트 수술은 완료되었습니다.
옆에 있는 치아와 비슷하게 만들었으며,
아랫니와 교합이 잘 이뤄질 수 있도록
꼼꼼히 만들었습니다.

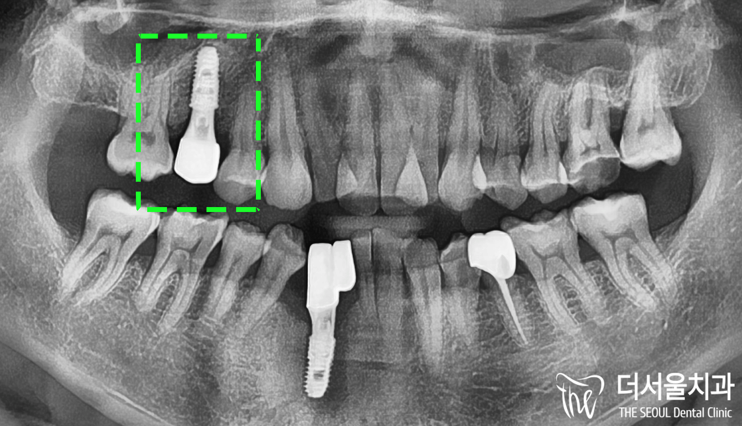
엑스레이로 체크했을 때도
식립하려는 위치에 잘 심어졌네요.
뼈이식 또한 결과가 좋구요. ^^
환자분 또한 만족스러워 하셨습니다.
신흥역치과 는 다음 검진 날짜를 정해드리고,
오래 사용하실 수 있도록
주의사항을 꼼꼼히 안내드렸습니다.
이로써 치아 수직 깨짐 문제는 해결되었습니다.
일상의 앞날은 어떤 일이 일어날지
그 누구도 예측할 수 없습니다.
아무리 조심하더라도
큰일을 겪을 수 있는데요.
그럼에도 평소에 조심하셔야
이런 일을 겪을 확률을 줄일 수 있습니다.
또, 임플란트 수술은 빠르게 끝나지 않습니다.
개인에 따라 상황이 다릅니다.
정말 좋지 않으면 수개월이 걸릴 수 있죠.
때문에 아무 곳에서나 하는 것이 아닙니다.
정확한 진단과 깔끔한 수술 결과를 보여줄 수 있는 곳에 가셔야 됩니다.
아래 링크를 통해 확인하여 확실한 곳에 내원할 수 있기를 바랍니다.
긴 글 읽어주셔서 감사합니다.
더서울 신흥역치과 박현성 원장이었습니다.

치료 기간 : 2023.06.13 ~ 2023.10.23



