성남 치과 의원 틀니 말고 임플란트 수술 하고 싶으셨던 분 해결 되었을까요?

안녕하십니까, 성남 더서울 치과 의원 박현성 원장입니다.
현재 살고 있는 세상이
본인 마음대로 되면 얼마나 좋을까요.
저도 마음대로 되지 않을 때가 많습니다.
그럴 때마다 인생은 원래 그런 법이겠거니 하며 넘기죠.
진료를 볼 때도 마찬가집니다.
최대한 좋은 쪽으로 해드리고 싶은데,
상태가 좋지 않아 원하는 것을 못 해드릴 때도 있습니다.
때문에 구강 속에 어떤 문제가 생겼다면,
빠르게 치료 받을 것을 추천 드리는데요.
오늘은 다른 병원을 가셨다가
여기로 오게 되셨던 분인데요.
그곳에서는 틀니를 하자 그러는데,
원하는 것은 임플란트 수술이었습니다.
과연 해결이 되었을까요?
1. 체크
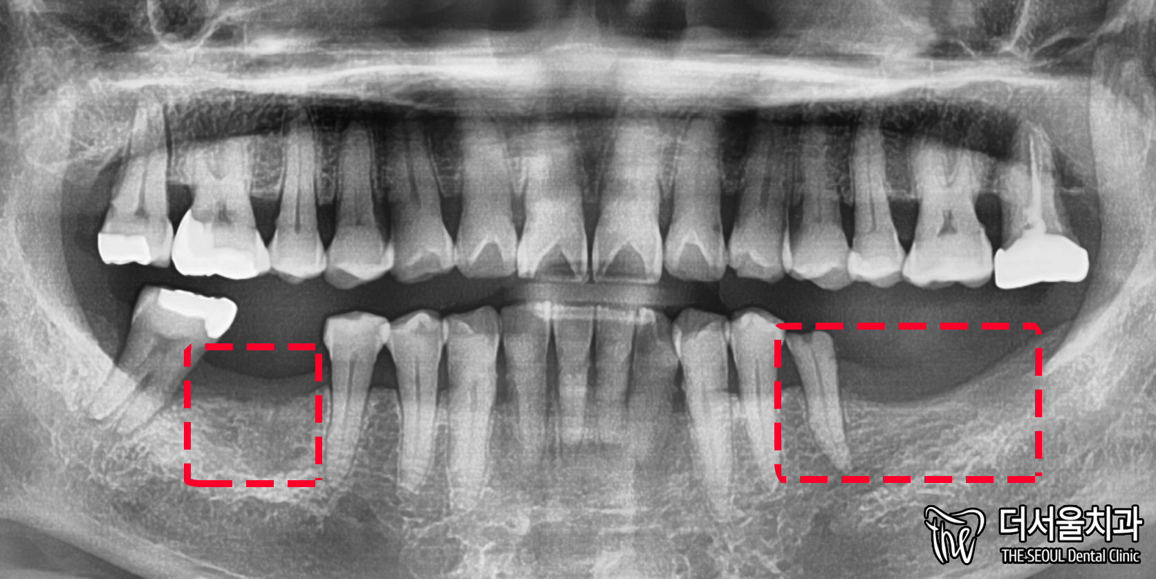
환자분 구내는 어떤 상태일까요?
성남 치과 의원은 먼저 눈으로 살펴봤습니다.
아래를 보면 36, 37, 46번 어금니가 없네요.
그런데 35번은 또 치근만 남아있습니다.
발치할 수밖에 없겠네요.
또, 잇몸뼈가 많이 없습니다.
얇아진 부분을 볼 수 있죠?
아마 치아가 없어진지 오래 되었을 겁니다.
여쭤봤는데 10년이나 두고 있으셨네요.
이처럼 빠른 시일 내에 치료 받지 않으면,
잇몸뼈는 점차 퇴화화여 없어집니다.
놔둘수록 더욱 치료는 힘들어지는데요.
때문에 빠른 임플란트 수술을 추천 드립니다.

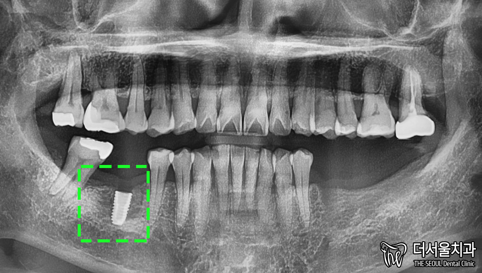
좀 더 자세히 체크하기 위하여
엑스레이를 찍어봤습니다.
높이는 그렇게 내려가지 않은 것으로 보여집니다.
다만, 너비가 줄어들었던거죠.
아래 임플란트 수술 시,
꼭 주의해야 되는 하치조신경관.
이것과 가깝지는 않은 듯 보였습니다.
그런데 좋은 결과가 나오려면,
정확한 진단이 필요하겠죠?
성남 치과 의원은
3D CT 및 디지털 프로그램을 이용하여
모의 수술에 들어갔습니다.
2. 정밀 진단


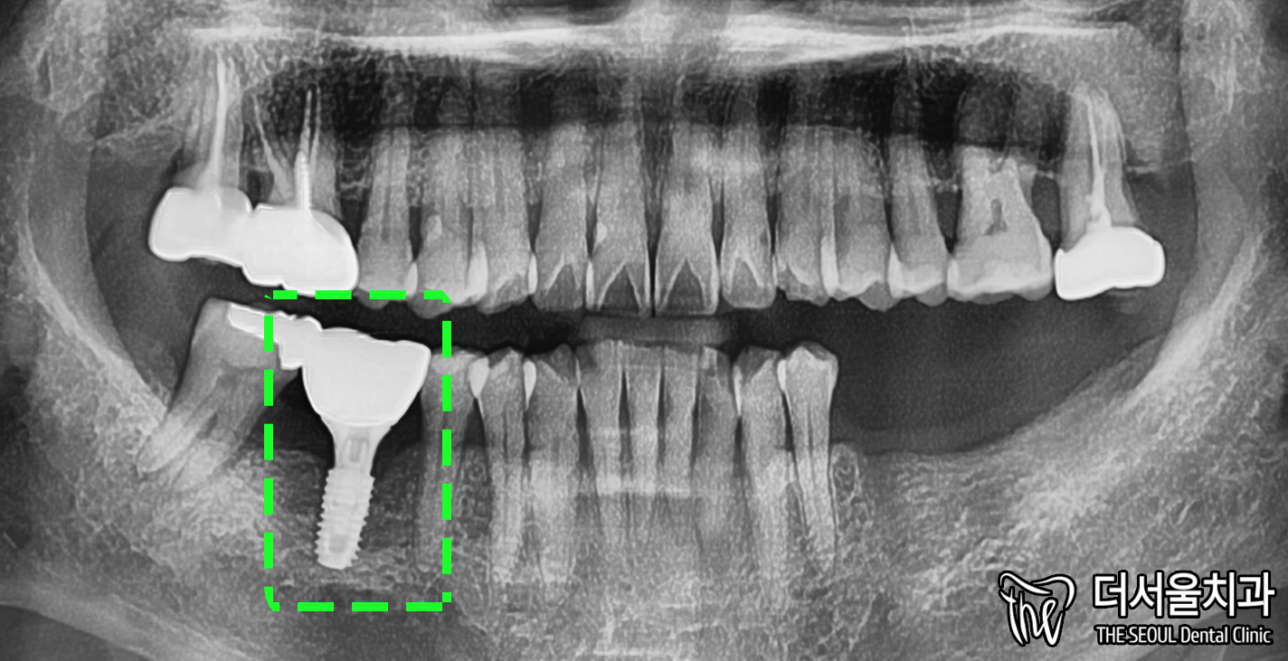
아하..
확실히 뼈가 많이 없어졌네요.
그대로 식립하기에 신경관과 가까웠구요.
그렇다고 뼈이식을 할 정도는 아닙니다.
충분히 조심히 식립하면 가능합니다.
46번 먼저 처리하기로 하며
30번대는 추후에 해결하기로 했습니다.

계획에 맞춰 치아 뿌리에 해당되는
‘픽스처’를 심었습니다.
워낙 잇몸뼈는 좋은 편이 아니었기에
골결합 시간을 충분히 두었는데요.
다행히 뼈와 붙는데 3개월이 걸렸습니다.
4개월 정도 걸릴 것이라 예상했었는데 말이죠.
뼈와 튼튼하게 잘 붙은 것을 확인 후,
본뜨는 과정을 진행합니다.
맞춤형 보철을 만드려는 목적이죠.
치아 머리 역할을 하는 ‘크라운’,
픽스처와 크라운 둘을 연결시키는 ‘어버트먼트’.
이 2개를 만들어줍니다.
맞춤형으로 해야 관리하기 편합니다.
그만큼 수명도 길어질 수 있구요.
성남 치과 의원은 본을 뜨고,
기공소에 보내 제작 의뢰를 맡겼습니다.
제작되고 나서 세팅을 하며 끝났는데요.
결과를 보겠습니다.

어버트먼트와 크라운을 씌우며
46번은 모든 과정이 다 끝났습니다.
윗니와 교합이 잘 이뤄질 수 있도록
꼼꼼히 체크하며 조정 완료했습니다.
이제 왼쪽만 남겨두고 있죠?
그 과정까지 함께 보겠습니다.
5. 30번대 시작






CT 촬영본을 통하여
해당 부위는 어떤게 부족한지
정확히 알 수 있습니다.
이 데이터를 기반으로 디지털 프로그램으로
모의 수술을 해볼 수 있구요.
결과값에 따라 주의할 점은 조심하고
실제로 적용해줍니다.

성남 치과 의원은
뼈이식할 부분에 재료를 채워넣고
픽스처를 식립했습니다.
이제 뼈와 잘 붙을 수 있도록
주변에 자극을 덜 받도록 해야겠죠?
픽스처 위에 보면 뭔가 올라와있습니다.
이것을 ‘힐링 어버트먼트’라 부르는데요.
쉽게 알려드리면 일종의 ‘보호캡’입니다.
오토바이를 탈 때 헬멧을 쓰듯이 말이죠.
이렇게 회복할 수 있도록 충분히 기간을 가져줍니다.
앞서 진행되었던 과정처럼
하나씩 처리 후, 모든 게 끝났는데요.
최종 결과를 볼까요?
6. 40번대 완료
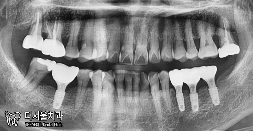
이렇게 성남 치과 의원에서
잃어버린 어금니 4개를 새롭게 채워드렸습니다.
다른 병원에서는 틀니를 해야 된다 했는데요.
이렇게 뼈이식과 임플란트를 심으면
충분히 관리하기 편한데 말이죠.
환자분 또한 윗니와 잘 맞닿는 점,
음식을 편하게 먹을 수 있다는 점이 좋다하시네요.
이제는 편하게 일상 생활을 하실 수 있습니다.

엑스레이를 찍어서
확실하게 잘 붙었는지 확인해줍니다.
튼튼하게 잘 식립되었네요. ^^
이렇게 모든 수술 과정은 다 끝났습니다.
물론 이것으로 마음 놓을 것이 아닙니다.
꾸준히 관리 잘하는게 필수죠.
여러분이 신경 쓰는 만큼
임플란트 수명은 달라질 겁니다.
그것은 어떤 치료를 받든 간에 똑같은 조건이지만요.
의료진이 추천 드리는 것은
6개월에 한번씩 정기검진을 받으러 오는 겁니다.
유전적 영향을 받아 구강 상태를
건강히 유지하기 어렵다면,
3~4개월에 한번씩 권장드리구요.
꼭 잊지 말고 찾아오셔서
꼼꼼히 검사 받을 수 있길 바랍니다.
긴 글 읽어주셔서 감사합니다.
더서울 성남 치과 의원 박현성 원장이었습니다.


치료 기간 : 2023.08.22 ~ 2024.01.09





