서현역 치과 앞니 어금니 염증 발치 후 임플란트 수술 현충일 공휴일 정상진료

안녕하십니까,
현충일 공휴일도 정상진료 하는
더서울 서현역 치과 박현성 원장입니다.
염통이 곪는 줄은 몰라도 손톱 곪는 줄은 안다
라는 속담이 있습니다.
들어본 적 거의 없는 말일텐데요.
눈에 보이는 사소한 결함은 알아도,
보이지 않는 큰 결함은 모른다는 것을 의미합니다.
이는 우리 치아에도 마찬가지로 적용해볼 수 있는 건데요.
이와 관련되어 앞니 및 어금니 염증으로
발치 후 임플란트 수술을 받으셨던 환자분을 보겠습니다.
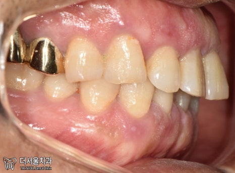
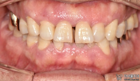
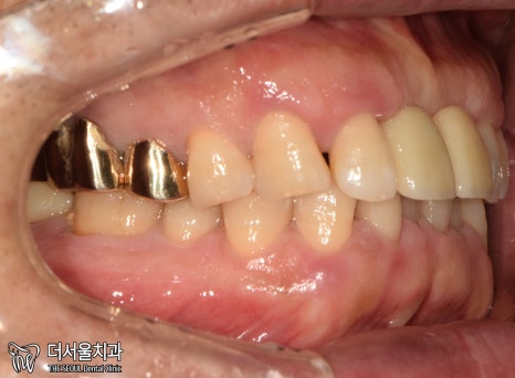
1. 구강 체크
현충일 공휴일 정상진료





서현역 치과를 찾아오셨던 환자분은
앞니와 왼쪽 끝 어금니에
이상 증세를 느껴 찾아오셨습니다.
겉으로 봤을 때는 큰 문제는 없는 것처럼 보입니다.
그럼 대체 무슨 문제가 있는 걸까요?
겉으로 보여지는 것이 아닌,
속을 들여봐야 알 수 잇겠네요.
엑스레이 촬영을 통해 체크해보겠습니다.
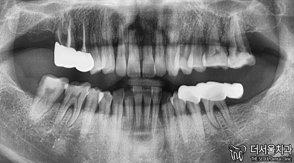
2. 엑스레이
현충일 공휴일 정상진료

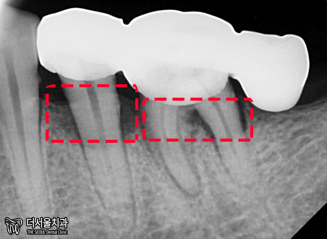
X-ray 촬영본을 보면,
치아 뿌리에 염증이 발생한 것을
확인할 수 있습니다.
좀 더 자세히 보여드리겠습니다.

뿌리 쪽을 보면 시커멓죠?
염증이 있는 것을 알 수 있습니다.
이러니 흔들림이 나타날 수밖에 없구요.

아래 왼쪽 어금니 부분에도 마찬가집니다.
뿌리 끝은 아니지만,
중간 즈음으로 검게 변한 것을 볼 수 있습니다.
다행이었던 점은
두 곳에 나타난 염증이 그렇게 크지 않습니다.
때문에 바로 발치 후 즉시 식립이 가능합니다.
발즉이 좋은 이유는 기간을 줄이며
앞니 같은 케이스는 잇몸 유지를 하여
예쁘게 할 수 있다는 점 때문이죠.
서현역 치과는 환자분께 차근히 설명드린 후,
동의를 구하여 수술에 들어가기로 했습니다.
그전에 계획을 수립해둬야겠죠?
3. 계획 짜기
현충일 공휴일 정상진료


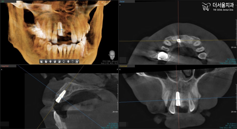
3D 디지털 프로그램을 이용하면,
모의 수술을 해볼 수 있습니다.
디지털로 스캔 뜬 모형을 기준으로
뿌리인 픽스처를 어떻게 심으면 될지,
그 위에 어버트먼트와 크라운은
어떤 형태로 만들어 연결시키면 좋을지 말이죠.


또, 이런 식으로 여러 각으로
심어놓은 결과물을 볼 수 있습니다.
이렇게 데이터를 만들어 놓고 나면
서현역 치과는 수술에 들어갑니다.
4. 과정
현충일 공휴일 정상진료

짜놓은 계획에 맞춰
픽스처를 심어줬습니다.
잇몸에 굳이 묻어둘 필요없이
‘힐링 어버트먼트’를 연결할 정도로
뼈 상태는 좋았습니다.
다만 이물질이나 음식물이 들어가게 될 경우,
안 좋은 결과를 줄 수 있기에
힐링 어버트먼트를 연결시켜 닫아줍니다.


엑스레이로 확인했을지라도
3D CT를 촬영하여 한번 더 체크해줍니다.
원하는 위치에 잘 심어졌네요 ^^
이제 서현역 치과는 뼈와 잘 붙길 기다려줍니다.
3개월 뒤, 골결합이 잘 이뤄짐을 확인했습니다.
이제 그 위에 올려질 보철을 만들어야죠.
구강 구조를 정확히 본 뜨고,
그 데이터를 기공소에 보내 제작을 의뢰합니다.
그렇게 최종 보철물을 전달 받아
마지막 세팅까지 해줍니다.
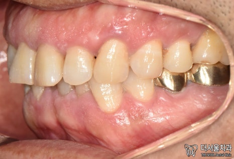
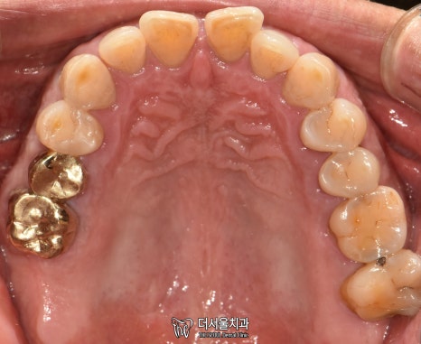
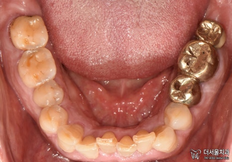
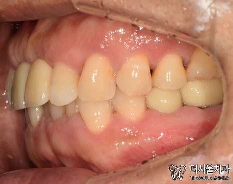
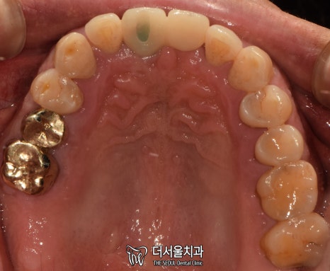
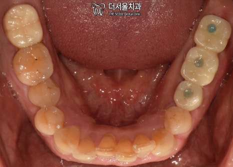
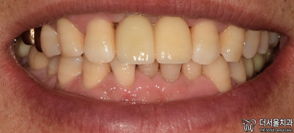
5. 완료
현충일 공휴일 정상진료





최종 완료된 모습입니다.
첫 진료 때보다 깔끔해졌죠?
치아와 비슷한 색으로 된
‘지르코니아’ 크라운을 씌워드렸는데요.
튼튼하다는 특징도 있어
많은 분께 선호되고 있는 재료입니다.

실제로 보면 이렇게
다른 치아와 크게 다르다는 점이 없죠?
환자분도 치료 결과에 만족스러워 하셨습니다.

엑스레이로 한번 더 체크했을 때도
뼈와 잘 붙었습니다.
이제는 오래 사용할 수 있도록
조심히 쓰셔야 됩니다.
서현역 치과는 추후에
정기검진 때 뵙기로 하며
진료를 마쳤습니다.
현재 눈으로 보여지는 곳에
구강 질환은 없으신가요?
마음 놓고 있으신가요?
오늘 함께 살펴본 사례처럼
잇몸 속에 질환이 발생했을 수 있습니다.
초기에는 조용히 다가와서 점점 커졌다가,
나중에 훅 터져버립니다.
그러니 꼭 정기검진을 통해
확인 받을 수 있기를 바랍니다.
현충일 같은 공휴일에도 정상진료 하니
부담없이 찾아오시길 바랍니다.
긴 글 읽어주셔서 감사합니다.
더서울 서현역 치과 박현성 원장이었습니다.

치료 기간 : 2024.01.05 ~ 2024.04.16





