문정역치과 임플란트 시술 시 의료진의 경험이 중요한 이유

반갑습니다. 여러분!
더서울 문정역치과 박현성 원장입니다.
임플란트를 하고 나면 누구나
되도록 오래, 평생 쓰고 싶은
마음이 들 텐데요.
임플란트의 수명은
약 10년에서 20년 사이로
의료진의 기술력이나 차후 관리에 의해
수명을 확연하게 달라집니다.
즉, 일이년도 되지 않아 실패가 될 수도 있고,
20년 이상 거뜬히 사용할 수도 있죠.
오늘은 이와 관련해서
임플란트 수명을 늘릴 수 있는
수술 방법 대해 관련된 사례를 통해
자세히 알아보려 합니다.
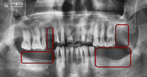
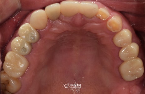
1. 어떤 상태였을까?

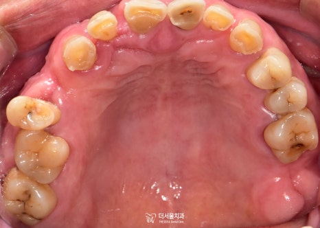
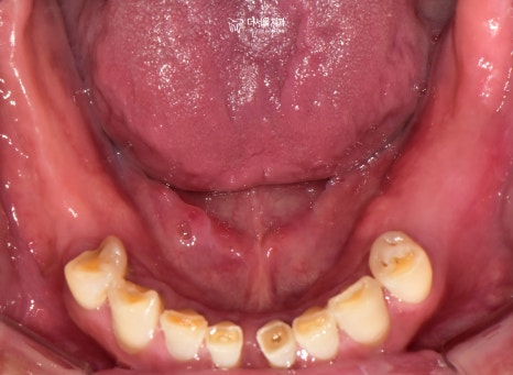
초진 구강 사진을 보면
곳곳에 이가 빠져서 빈 곳이 있고
남아있는 이들이 깨지고
벌어져있습니다.
환자께서는 전체적으로 상태가
안 좋은 것을 알지만
눈에 보이는 부분인 앞니만 해결
해 달라고 하셨습니다.
만약, 제가 경험이 많이 부족했다면
문정역치과 환자분이 원하시는 대로
전치부만 개선해 드릴 수도 있습니다.
그런데 만약 전치부만 개선
했더라면 머지않아 수복한 부위가
지금처럼 다 부서지게 될 수밖에 없습니다.
이를 이해하기 위해서는
먼저 아셔야 될 것이 있는데요.

바로 어금니가 없기 때문입니다.


식사를 할 때 중축이 되는 대구치는
총 8개가 있어야 되는데요.
현재 3개밖에 남지 않았으며
맞물리는 이가 없어서
제 기능을 하지 못하고 있죠.
대구치는 큰 음식을 잘게 부수고
어느정도 단단하고 질긴 것을 씹을 수 있으며
그 힘을 견딜 수 있는 크기와
형태, 구조로 이루어져 있습니다.
그런데 문정역치과 환자분의 경우,
면종류를 끊어먹는 정도의 기능을 하는
앞니가 어금니의 역할을 대신하게 되면서
그 힘을 견디지 못하고
이가 부러져버리고 벌어지는
문제가 생겨나게 된 것이죠.
그러니 근본적인 원인 어금니를
회복시키지 않고 앞니만 손보게 되면
당연히 같은 문제가 반복될 수밖에 없습니다.
이렇게 종합적으로 사고를 하고
환자분께서 설명을 해드려야 되는데요.
이렇게 환자분께 자세히 설명드리는
치과가 많지는 않을뿐더러
환자분들 또한 원하는 것에 맞추지 않고
어금니를 해야 된다고 하면
이해하지 못하시기 때문에
상담 시 이러한 부분을 건너뛰는 곳이
상당히 많더군요..
실제로 예전에 어떤 분은
어금니 부터 해야 된다고 했더니
가버리셨다가 다른 곳에서
앞니만 하고 나서 부러져서
더서울로 다시 오신 경우도 있습니다.
3. 그럼 어떻게 해결해야 될까?
다행히 문정역 치과 환자분께서는
저의 설명을 충분히 듣고
어금니 도 함께 해결하기로
결정하셨습니다.
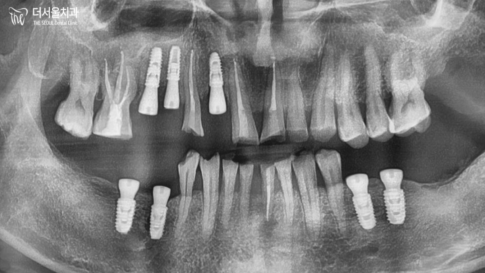
우선, 흔들림이 심한 이는 빼주고
위아래로 나누어 임플란트를
심기로 했습니다.
그리고 맞물리는 오랫동안 없어서
내려온 윗니들은 높이를
조정해 주어야 되는데요.
일부는 신경치료를 하고 크라운으로
수복해 주기로 했습니다.
4. 문정역치과 진료 과정
오랜 기간 치아가 없는 상태로 지내서
뼈가 많이 소실되어 있어서
꽤 난이도가 높은 케이스였습니다.



수술 전 모의 시술 프로그램을
시행했습니다.


남아있는 뼈의 상태를 확인하고
그 깊이와 폭, 밀도, 혈관 및 신경 등
문제가 될만한 구조가 없는지
살펴보며 가상으로 픽스처를
식립하여 크라운도 세팅해 보았습니다.


그리고 위아래 맞물리는 점까지
확인한 다음, 이에 맞는 가이드를
만들어서 실제 수술에 들어갔습니다.
통증은 줄이고 빠른 시술이 가능한
네비게이션 가이드 시술을 통해
7개의 임플란트를 안전하게
식립해 드렸습니다.

그리고 경과를 체크하러 오실 때
신경치료를 꼼꼼히 해드렸고
이를 확인할 수 있는 파노라마를 보면
근관충전이 뿌리끝까지 제대로
되어 있는 것을 볼 수 있습니다.ㅎㅎ



이후, 근관충전한 곳은 증상이 없는지
인공치근은 뼈와 잘 융합이 되었는지
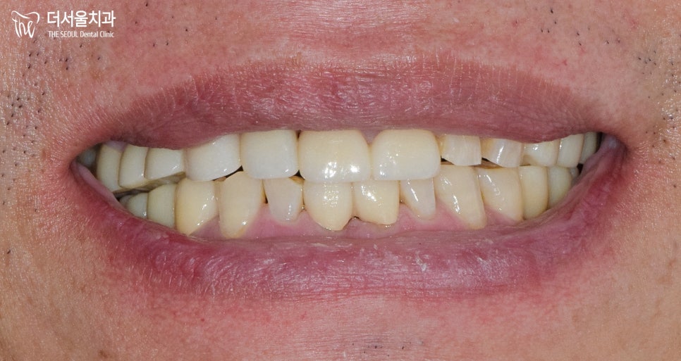
확인한 다음 크라운 을 수복해 드렸습니다.
앞니를 회복하는 것은
기능 그 이상의 가치가 있습니다.
그러나 얼마 쓰지 못하고
다시 상태가 나빠진다면
그것은 하나 마나 한 치료가 되겠죠.
더서울에서는 단순히 1~2년,
눈에 보이는 것만 해결하는 것이 아닌
향후 10년 그 이상을 생각을 하며
신중하게 계획하고
진료해 드리고 있습니다.
그러니 오늘 케이스처럼
다수의 이를 상실한 경우
본원에서 오셔서 상담받아보시길 바랍니다.
지금까지 문정역 치과 박현성이었습니다.
감사합니다.

치료기간: 2024.01.15~2024.05.21



