성남 치과 추천 다수 어금니 상실 임플란트 수술로 해결 완료

안녕하십니까, 더서울 성남 치과 박현성 원장입니다.
오늘은 다수 임플란트 수술을 받으셨던
환자분을 소개해 드리겠습니다.
윗부분 어금니가 많이 없으셨는데요.
예전에 충치가 너무 심해서
이를 뽑게 되었다 하셨습니다.
그 이후에 수술을 받아야 되는지
고민을 많이 하셨다가
이제야 결심을 하게 되었다 하셨는데요.
어딜 가는게 좋을까 고민하셨는데,
주변 지인분께 알아본 뒤 추천 받아 오셨습니다.
오랜 기간 치료를 받지 않고 그대로 두면,
잇몸 속에 있는 뼈가 사라지는데요.
그 영향을 많이 받았던 것은 아닐까
걱정이 되었습니다.
될 수 있으면 그런 일이 없길 바라며
구강 점검에 들어갔습니다.
1. 체크

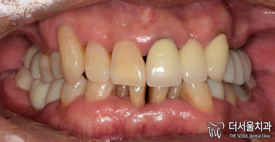
성남 치과는 정면을 먼저 눈으로 확인했습니다.
상태가 많이 좋지 않았습니다.
뼈 소실 또한 큰 것으로 보여집니다.
뼈이식을 추천 드리게 될 것이라 예측되는데요.

교합면을 보면 뼈가 고르지 않고
조금 편평하게 변한 것을 볼 수 있죠.
임플란트 수술을 진행함에 있어
살짝 난항이 있을 것이라 예측되었습니다.
좀 더 정확한 데이터가 필요했기에
디지털 프로그램을 이용하여 체크했습니다.
2. 정밀 검사






먼저 20번대를 살펴보겠습니다.
이처럼 뼈가 좋지 않은 것을 알 수 있는데요.
골밀도가 좋지 않거나 폭이 좁거나 하죠?
25번은 뼈이식을 통해 뼈를 채워줘야 되었습니다.
염증까지 있는 것을 찾아볼 수 있었구요.
그래도 성남 치과의 기준으로 봤을 때,
큰 어려움은 없었습니다.
그럼 반대편을 살펴보겠습니다.




10번대 입니다.
20번대와 비교했을 때,
확실히 더 나은 것을 알 수 있습니다.
다만, 골밀도는 낮다는 점이 있네요 ^^;
다행히 임플란트 수술을 하는데 있어
크게 문제될 부분은 없었습니다.
성남 치과는 디지털 프로그램을 이용하여
분석 및 결과를 토대로 치료를 진행합니다.
3. 과정

빠르게 25번을 발치 후,
염증 조직을 제거합니다.
그리고 염증이 재발하는 일이 없도록
소독 및 세척 과정을 해드렸습니다.
이후에 뼈이식 및 픽스처 식립을 해드렸습니다.
그 다음에 다른 부분들까지
차례대로 심어드렸구요.
이렇게 1차 수술은 완료되었습니다.
이제 뼈와 잘 붙기를 기다려주면 되는데요.

3개월 뒤, 왼쪽에 심어놓은 것들이
먼저 적합한 ISQ 수치를 가지게 되었습니다.
아무래도 오른쪽은 골밀도가 낮았기에
그만큼 더 시간이 걸릴 수밖에 없었던 거겠죠.
왼쪽 먼저 인상 채득을 해준 뒤,
맞춤형 보철을 제작하며 최종 세팅까지 했습니다.
맞춤형을 추천 드리는 이유는
그만큼 관리하기에 용이하며,
관리가 잘 되는 만큼
수명이 더 늘어나기 때문이죠.
이렇게 세팅이 다 끝났다 하더라도
좀 더 안정될 수 있도록 조심하는게 좋다 알려드렸습니다.
이 과정이 끝난 뒤로 1개월 뒤,
성남 치과를 다시 찾아오셨는데요.
4. 완료

오른쪽 역시 최종 세팅을 하기에
적합한 ISQ 수치를 가졌습니다.
확인이 끝난 뒤
맞춤형 보철 제작에 들어갔으며,
최종 세팅이 끝남에 따라
모든 임플란트 수술은 끝났습니다.

성남 치과에 처음 오셨을 때와
구강 상태가 많이 달라졌죠?
훨씬 더 나은 모습을 보여주고 있습니다.

교합면을 살펴봤을 때도 마찬가지죠.
이렇게 모든 치료 과정은 다 끝났습니다.
환자분은 그제서야 마음이 편해지셨는데요.
그간 어금니로 밥을 먹지 못했던 것이
너무 힘드셨다고 말씀하셨습니다.
그런데 이제는 양쪽 어금니로
식사를 할 수 있게 되어 너무 좋다고 하십니다. ^^
그전에 있던 소화가 잘 안되던 부분 역시
이제는 음식을 잘 먹을 수 있게 되었기에
훨씬 나아지셨을 겁니다.
끝으로 성남 치과는 집에서 어떻게 관리해야 되는지
방법을 꼼꼼하게 알려드렸습니다.
또, 내원 날짜에 맞춰 검진 받을 것을 추천 드리며
진료를 종료하였습니다.
이가 떨어졌을 때,
그대로 두면 안되는 이유를 아시겠죠?
이처럼 잇몸과 뼈에 영향을 줍니다.
그럼 치료는 더 힘들어집니다.
그러니 꼭 상담이라도 받아보셨으면 합니다.
이가 없으면 일상 생활에 많은 영향을 끼칩니다.
그것은 점차 본인이 확 와닿을 정도로
크게 다가올 것인데요.
그런 일을 겪기 전에
미리 예방할 수 있기를 바랍니다.
그리고 마지막으로 정기검진을
꼭 6개월에 한번씩 받길 추천 드립니다.
오늘의 글도 읽어주셔서 감사합니다.
더서울 성남 치과 박현성 원장이었습니다.


치료 기간 : 2023.10.17 ~ 2024.03.11




