태평동 치과 신경치료 후 염증 잡혔던 치아 타원에서는 임플란트 불가능하다고?

안녕하십니까, 더서울 태평동 치과 박현성 원장입니다.
치아에 큰 염증이 발생했을 경우,
높은 확률로 이를 발치합니다.
신경치료를 한다 하더라도
예후가 좋을 가능성이 낮기 때문이죠.
이를 발치 후, 염증 조직을 제거하고
빠르게 소독하여 임플란트 식립을 하는 것이
더 좋은 방향이 될 수 있습니다.
오늘 소개해 드릴 케이스는
신경치료 후 염증이 크게 잡혔던 환자분입니다.
1. 진료
이미 태평동 치과를 오기 전에
타원에서 상담을 받고 오셨습니다.
그런데 뼈가 이미 녹을만큼 녹아버려
임플란트 수술은 불가능하다는
답변을 받고 귀가하셨답니다.
어떻게 하면 좋을까 고민하다가
지인분께 더서울을 추천 받아서
급히 찾아오게 되었답니다.
과연 어떤 상태였길래 불가능하다는
답변을 주셨던 걸까요?
문제 되는 부분을 함께 보겠습니다.
15번 소구치는 이미 발치되어있습니다.
겉으로 봤을 때는
그렇게 뼈가 많이 없어진 것 같지는 않습니다.
겉으로 봐서는 자세히 알 수 없기에
더 정확한 진단이 필요하여
CT 촬영 및 분석에 들어갑니다.
2. 정밀 검사

이런.. CT로 확인해봤더니
정말 뼈가 많이 녹아있었네요.
이정도라면 불가능하다는 소리가 나올만 합니다.
그러나 태평동 치과는
할 수 없는 것을 할 수 있게 만들죠.
뼈이식을 통해 뼈를 두껍게 만들어주면 됩니다.
물론 상악동과 가깝기 때문에
거상술로 막을 들어올린 뒤,
생성된 공간 속에 뼈재료를 넣어줍니다.


또, 뼈이식 과정에 있어
14, 16 인접치의 소량의 삭제가 필요했습니다.
그렇지 않고서는 수술을 진행하기
힘든 상황이었기 때문이죠.
정밀 진단 및 분석에 따라
픽스처 식립을 진행합니다.
3. 과정

먼저 뼈이식을 진행해줍니다.
잇몸을 절개 후,
구멍을 뚫어 상악동 막을 들어올려 줍니다.
그렇게 생성된 공간 속에
뼈재료를 옮겨 심습니다.
충분히 두꺼운 두께가 갖춰질 수 있도록
꼼꼼히 채워 넣어줍니다.
그 후에 픽스처를 심어놓고
풀리지 않도록 단단히 봉합합니다.


엑스레이와 CT 촬영을 통해
계획에 따라 잘 심어졌는지
꼼꼼히 체크합니다.
뼈이식과 픽스처는 잘 심어졌네요 ^^
이제 충분히 회복할 수 있도록
기다려주는 시간을 가져야겠죠?
워낙 뼈가 좋지 않으셨기에
4개월 뒤 태평동 치과에 오셨습니다.
뼈와 잘 붙은 것을 확인한 다음,
인상 채득 및 보철 제작 과정에 들어갑니다.
맞춤형으로 잘 만들어준 뒤,
세팅을 하는 것으로 임플란트 수술은 끝나는데요.
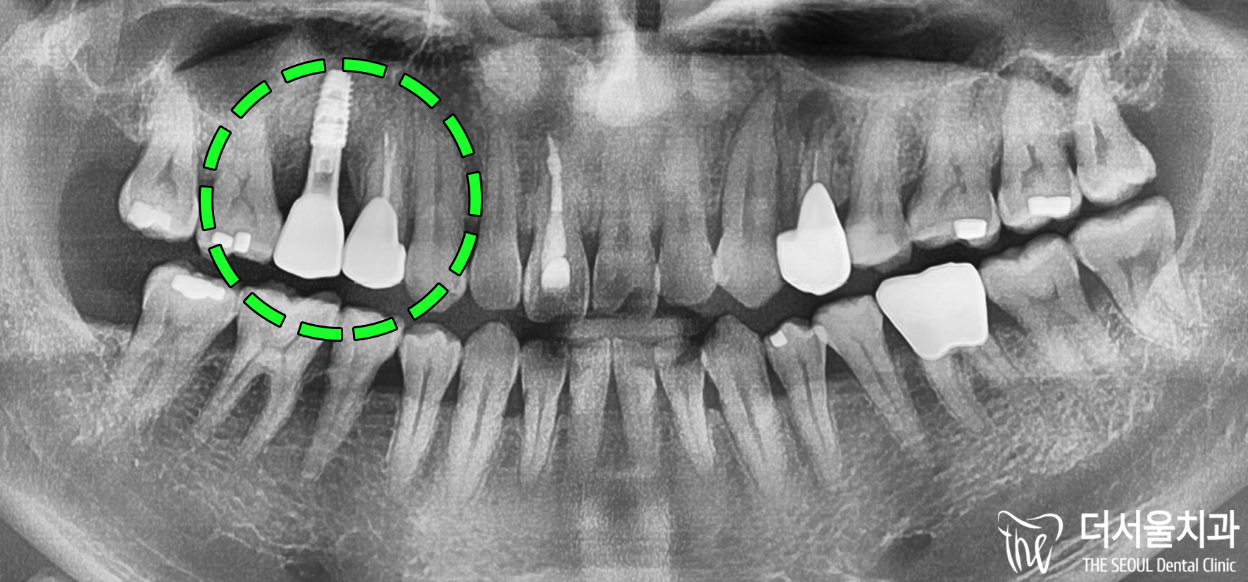
최종 세팅까지 완료된 모습입니다.
주변에 있는 인접치랑 비교했을 때,
티가 나거나 하는 부분없이
깔끔하며 자연스럽게 잘 되었죠?
좁은 공간에 심느라
조금 애를 먹기는 했습니다만,
환자분 구강 건강이 우선이었기에
그정도는 참고 견딜 수 있죠. ^^


최종적으로 엑스레이와 CT 촬영을 통해
마무리가 잘 되었는지 확인합니다.
뼈재료는 뼈로 잘 치환되었으며
튼튼하게 자리를 잘 잡았네요.
임플란트 역시 마찬가지로
흔들림없이 고정력을 딱 갖췄구요. 🙂
치료 결과에 환자분은 만족하셨으며,
지인분께 태평동 치과를
추천 받아 잘 왔다며 좋아하셨습니다.
이제 오래 사용할 수 있도록
꾸준한 정기검진이 필요합니다.
물론 스스로 관리를 잘하는 것 또한
중요하다 말씀드릴 수 있구요. ^^
이렇게 모든 치료는 다 끝났습니다.
이처럼 치아에 염증이 발생했을 경우,
빠르게 처리하는 것이 좋습니다.
점점 병소가 커져 뼈를 사라지게 한다면
오늘 보여드린 사례처럼
뼈이식을 하게 될 수 있기 때문이죠.
구강 질환은 초기에 알기 어렵습니다.
그래서 저는 6개월에 한번씩
꼭 정기검진 받으셔야 된다 강조드립니다.
이 글을 읽은 시점에서
언제 검진을 받으셨는지 기억하십니까?
1년이 넘었다면 빠른 시일 내에
검사 받을 수 있기를 바랍니다.
감사합니다.
더서울 태평동 치과 박현성 원장이었습니다.


치료 기간 : 2023.10.24 ~ 2024.03.12






