성남 치과 의원 추천 심한 구강 악화로 뼈이식 임플란트 및 충치, 신경치료, 치경부 레진치료 까지?

안녕하세요, 성남 치과 의원 더서울 박현성 원장입니다.
오늘 보여드릴 증례는
전반적으로 구강 상태가 좋지 않았던 분입니다.
충치, 치경부 우식, 치경부 마모증, 치주염, 사랑니 등
정말 다양한 문제를 갖고 있었습니다.
결국 이분은 오랜 기간에 걸쳐
치료 받으러 내원하셨는데요.
그 과정을 살펴보겠습니다.
1. 첫 진료
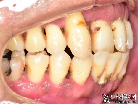
먼저 사진을 보겠습니다.



여러분이 보더라도
구강 상태가 심각하다는 걸 알 수 있습니다.
올바른 교합이 이뤄질 수 없을 뿐더러
치경부 마모증에 쌓여있는 치석에 충치까지
손댈 부분이 너무 많네요.
게다가 구취까지 나고 있었기에
걱정되는 상황이었습니다.


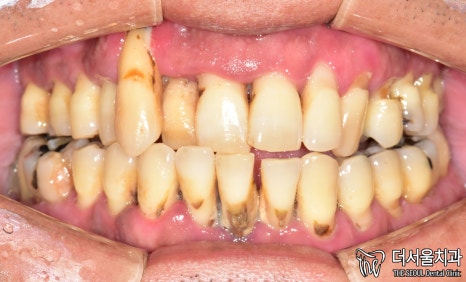
교합면을 확인했을 때도 마찬가집니다.
인접면에 있는 충치와
누워있는 사랑니까지 찾아볼 수 있었습니다.
단기간 내에 끝낼 수 없는 케이스죠.
성남 치과 의원은
단계에 맞춰 하나씩 처리해 드리기로 합니다.
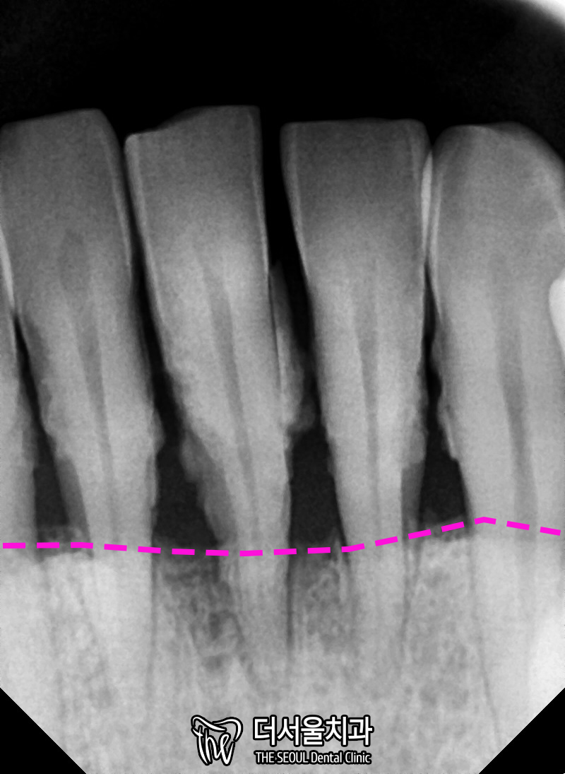
2. 정밀 진단

먼저 내부는 어떠한지
좀 더 정확한 진단이 필요했기에
엑스레이를 찍어봤습니다.
우측 아래 어금니 부분을 보면,
염증 너무 커서 뼈 소실까지
심하게 일어나 있었습니다.
이정도로 커진 케이스는
무조건 뼈이식을 진행할 수밖에 없습니다.
또, 전반적으로 남아있는 잇몸뼈를 보면,
고르지 않고 울퉁불퉁 합니다.
특히 아래 부분이 심각합니다.

스케일링으로 치석을 제거하고
엑스레이를 한번 더 찍어보면,
이렇게 뿌리 끝만 잡고 있을 정도로
남아있는 뼈가 없는 상태였습니다.
그러니 흔들림이 클 수밖에 없구요.
성남 치과 의원은 정밀 검사 및 분석 후,
환자분께 단계에 맞춰 치료 진행을
안내드렸습니다.
오래 걸리겠지만 잘 부탁드린다는
환자분의 말씀에
믿고 맡겨달라는 확신의 답변을 드렸습니다. ^^
3. 과정
먼저 염증 범위가 너무 컸던
오른쪽 아래 어금니, 사랑니를 발치했습니다.
치아를 뽑고 나서 내부에 남아있던
염증 조직까지 싹 제거 및 소독까지
꼼꼼하게 해드렸습니다.
워낙 상태가 좋지 않았기에
곧바로 수술을 진행하지 않았습니다.
조금 회복할 수 있는 시간을 가진 뒤,
뼈이식 후 픽스처를 식립하기로 합니다.
그리고 스케일링 후 흔들림이 커진 앞니 역시
빠르게 발치했습니다.

다음은 인접면 충치 소견이 있던
26번 어금니 신경치료를 해줍니다.
인접면에서 파고 들면
그만큼 더 빠르게 침투합니다.
때문에 치수까지 감염되어서
신경치료를 하게 되었던 겁니다.
성남 치과 의원은
꼼꼼히 내부 감염 조직을 제거하고
재감염이 일어나지 않도록
소독 및 세척을 해줍니다.
이후, 코어 작업 및 인상 채득을 진행합니다.
맞춤형으로 최종 보철(어버트먼트, 크라운)
제작을 기공소에 의뢰하였으며,
그 사이에 일상 생활을 하실 수 있도록
임시 치아를 씌워 놓습니다.
그 사이에 다른 부위를 치료합니다.
4. CT & 네비게이션 분석


충분히 회복 기간을 가지고
46, 47번 위치에 임플란트 수술을 계획합니다.
이때, 네비게이션 가이드를 이용하여
어떤 각으로 심으면 좋을지,
주의할 점은 무엇인지 확인합니다.

이후, 주의할 점에 맞춰 픽스처를 심습니다.
그리고 CT를 찍어서
식립 위치와 각이 잘 맞는지
꼼꼼히 확인합니다.
올바로 잘 심어졌네요. ^^
성남 치과 의원은
식립해놓은 픽스처가
고정력을 갖출 때까지 기다리며
다음 작업으로 이어 나갑니다.
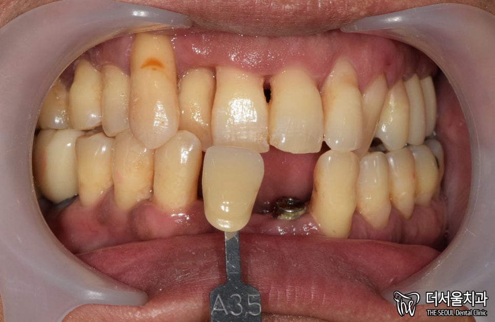
5. 보철 제작

그 사이에 최종 보철은 어떤 색으로 만들면 좋을지
쉐이드 가이드를 이용하여
남아있는 치아의 색과 비교합니다.
A3.5가 비슷해서 해당 색으로
보철 제작에 들어갔습니다.
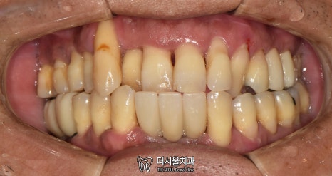
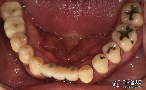
6. 완료
맞춤형 어버트먼트와 크라운이 도착하고 나서
성남 치과 의원은 마지막 세팅에 들어갑니다.





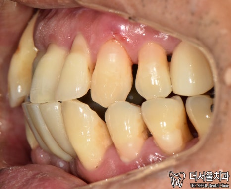
처음 내원하셨을 때
관리되지 않았던 모습은 없고,
깔끔히 변한 모습을 볼 수 있습니다.

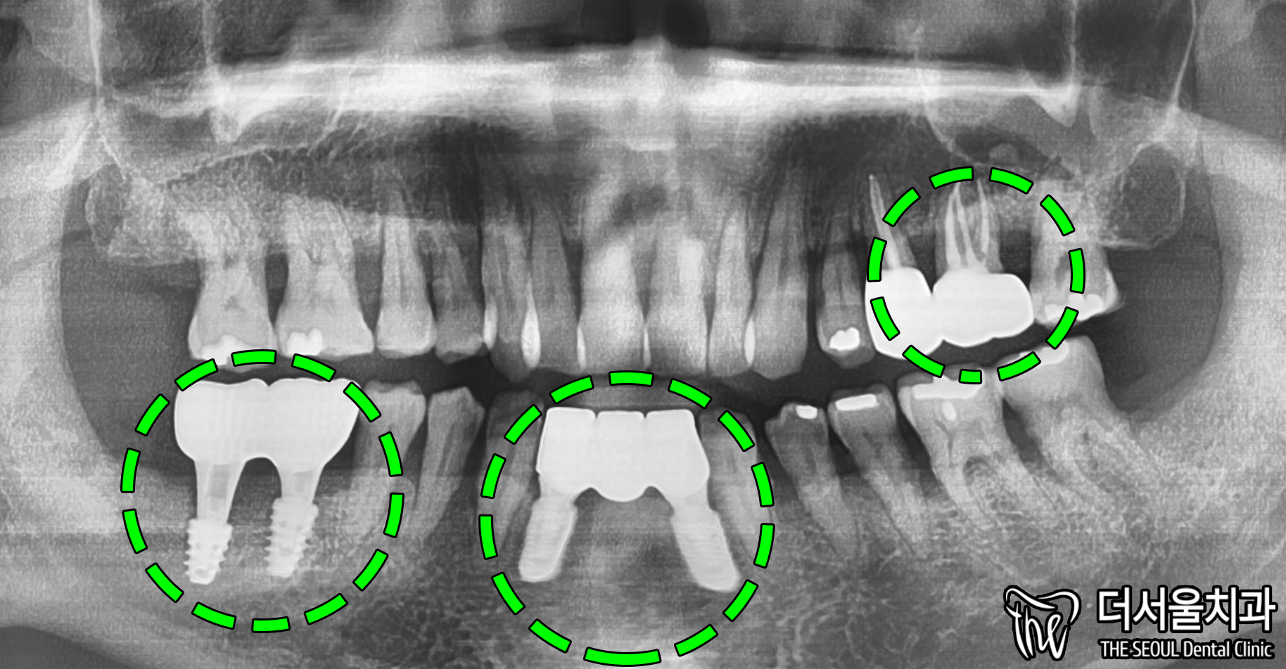
엑스레이로 한번 더 체크하여
식립한 임플란트가 잘 심어졌고,
신경치료한 어금니도
말끔하게 처리된 모습을 볼 수 있습니다.
모든 치료가 다 끝나고 나서
환자분은 그간 너무 고생많으셨다는
말씀을 전해주셨습니다.
또, 거울을 보니 새 사람이 된 것 같다며
수술 결과에 만족스러워 하셨구요.
이제는 주기에 맞춰 정기검진 꼬박꼬박
잘 받으러 오겠다는 약속까지 주셨답니다. ^^
함꼐 살펴본 사례를 통해
구강 내 어떤 이상 증세를 느끼면,
빠르게 검사를 받아야 됩니다.
늦으면 더 큰 수술을 받게 되며
치료 기간은 더욱 늘어납니다.
진료비도 점점 커지게 되구요.
그렇기에 꼭 추천 드리는 사항은
6개월에 한번씩 정기검진 받기입니다.
검진은 금방 끝납니다.
딱 하루만 시간을 내셔서
확인 받으셨으면 합니다.
꾸준히 확인 받으러 오신다면,
건강한 치아와 잇몸을
100세까지 오래 유지할 수 있습니다.
이 글을 읽었을 때,
구강 검사를 받은지 오래 되었다면
빠른 시일 내에 가까운 곳에 찾아가시길 바랍니다.
긴 글 읽어주셔서 감사합니다.
성남 치과 의원 더서울 박현성 원장이었습니다.

치료 기간 : 2023.08.21 ~ 2024.02.27





