산성역치과 쓰던 틀니 불편해서 상악 전체 임플란트 수술을 하셨던 증례

안녕하십니까, 산성역치과 더서울 박현성 원장입니다.
오늘은 상악 전체 임플란트 수술을 하셨던
환자분 증례를 소개해 드리겠습니다.
원래 틀니를 쓰셨다가
최근 들어 불편함을 많이 느끼시고 있다 하셨습니다.
불편함을 해결하고 싶어
임플란트 수술 상담 차 들리셨는데요.
그 전에 타 병원에서 오버덴쳐 로케이터를
해오셨던 상태였습니다.
오버덴쳐는 ‘똑딱이 틀니’라 부르는데요.
자석 또는 똑딱이 형태의
연결 장치를 달아놓고,
틀니를 고정시키죠.
아래에 심어져 있는 게
‘로케이터’라 부릅니다.
여기에 틀니를 장착하여
튼튼하게 고정시켜 줍니다.
이것을 타원에서 해오셨습니다.
문제는 위에 쓰던 틀니가 불편해서
산성역치과에 임플란트 수술을 상담하러 오신 겁니다.
사진을 보면 잇몸뼈가 거의 없습니다.
자세히 보면 움푹 패어있어
뼈이식을 피할 수 없었는데요.
먼저 뼈가 두꺼운 곳을 찾아서
위치를 선정한 뒤에
부족한 부분은 뼈이식을 진행하기로 합니다.

엑스레이로 잇몸에 남아있는 뼈를 체크한 결과,
그렇게 좋은 상태는 아니었습니다.
수술을 진행하기 앞서
CBCT와 네비게이션 가이드를 이용하여
정밀 검사를 선행해줍니다.




산성역치과 에서 확인한 결과,
전반적으로 골폭이 좁은 상태였습니다.
픽스처를 심는다 하더라도
튼튼한 고정력을 갖추기 어렵습니다.
때문에 뼈이식을 진행하기로 합니다.


픽스처를 심을 수 있을 정도로
깊이는 충분했습니다.
그러나 옆을 보면 폭은 충분치 않죠.
따라서 옆 부분에 뼈 재료를
아낌없이 넣어드려서
두꺼운 골폭을 형성했습니다.
추후 회복이 이뤄지고 나면,
안정감있게 고정됩니다.

뼈이식과 픽스처, 힐링 어버트먼트 세팅까지
모두 완료했습니다.
이제 단단히 고정될 수 있도록
충분히 회복할 수 있는 시간을 가져야겠죠?
워낙 골폭이 없었던 터라
약 5개월이라는 기간이 소요되었습니다.

안정감있게 고정이 잘 되었네요.
이제 최종 보철 제작에 들어갑니다.

전체적으로 치아가 없는 상태라
수평선을 얻는 과정까지 진행해줍니다.
최종 보철을 제작했는데
수평이 맞지 않아
교합이 제대로 이뤄지지 못하면,
그만큼 또 시간을 할애해야 되니
환자분께서 불편함을 느낄 수밖에 없습니다.
때문에 산성역치과는 한번 만들 때
공들여서 환자분 구강 데이터를 얻어내고,
최종 보철 제작에 들어갑니다.





기공소에 환자분 구강 상태 데이터를
보내드리고 제작된 최종 보철을
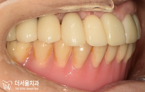
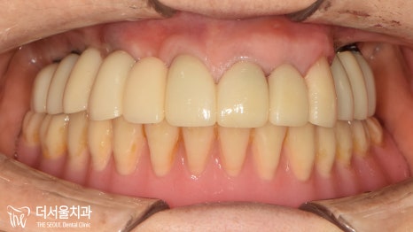
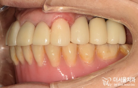
체결한 사진입니다.
산성역치과에 처음 찾아오셨을 때와
다르게 많이 깔끔해졌습니다.
환자분도 역시 큰 변화를 느끼셨는지
수술 결과에 만족하셨습니다.
위에 부분적으로 쓰던 틀니의 불편함이
없어지고 편해졌다며 좋아하셨습니다.

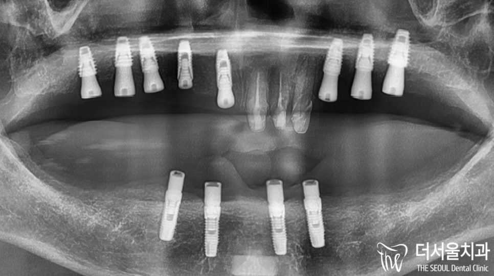
엑스레이로 한번 더 마지막 체크를 했습니다.
계획에 맞춰 좋은 결과를 얻었습니다.
이제 남은 것은 꾸준한 관리입니다.
추후에 정기검진 받으러 오시기 전에
평소에 스스로 꾸준히 관리를 잘하셔야 된다
독려해드렸고, 어떻게 해야 되는지
케어법을 설명드리며 진료를 마쳤습니다.
오늘 상악 전체 임플란트 케이스를 함께 살펴봤습니다.
현재 건강한 치아와 잇몸을
가졌다 할지라도,
매일 어떻게 관리해 나가느냐에 따라
구강 상태는 달라질 수 있습니다.
건강히 오래 유지될 수 있도록
올바른 양치질, 주기적 정기검진을
계속해서 이어나가시길 바랍니다.
긴 글 읽어주셔서 감사합니다.
산성역치과 더서울 박현성 원장이었습니다.

치료 기간 : 2023.04.13 ~ 2023.11.27






