임플란트 심었던 곳이 없어졌다? 결국 수정구치과에 찾아오셔서 수술 받으셨던 환자분

안녕하세요, 박현성 원장입니다.
최근 들어 의료 문제에 관한 얘기가
제 눈에 자주 보이곤 합니다.
건강을 되찾기 위해
귀한 시간을 내어 찾아갔건만,
오히려 안하느니만 못한 상황이 되어버리면
환자 입장에서는 당황스러울 수밖에 없습니다.
그런 경우는 정말 드물지 않나요?
그렇긴 합니다.
근데 나는 피해갈 수 있다는 보장은 없습니다.
사람이 마음먹고 그렇게 행한다하면
당할 수 있는 부분이죠.
그렇기 때문에 다들 치료 받을 때
정말 많이 알아보고 찾아가는건 물론이며,
조심 또 조심해야 됩니다.
오늘은 수정구치과 에서 이와 관련된 증례로
이전에 다른 곳에서 임플란트 식립을 했다가,
병원이 사라져 치료를 잠시 중단할 수밖에 없었던,
소문을 듣고 찾아와 문제를 해결했었던
환자분을 소개해 드리려 합니다.
1. 진단





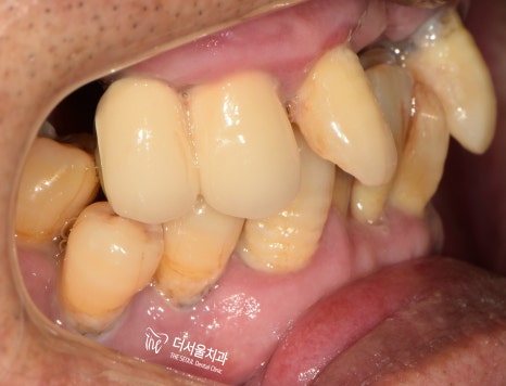
먼저 환자분 구내를 살펴보겠습니다.
상태가 너무도 좋지 않았습니다.
전체적으로 교합이 잘 이뤄지지 않고
윗니는 잇몸이 크게 부어있습니다.
게다가 많은 이가 흔들리고 있었구요.
오랜 기간에 걸쳐 치료를 받으셔야 되겠구나
라는 생각이 들었습니다.
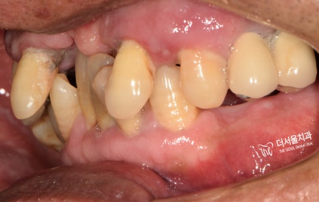
그래도 다행이었던 점은
픽스처를 심어놓은게 나쁘지 않아서
재식립을 하지 않아도
충분히 사용할 수 있다는 것이었습니다.
나머지는 내부를 살펴보면서
어떻게 할지 고민을 해봐야겠네요.

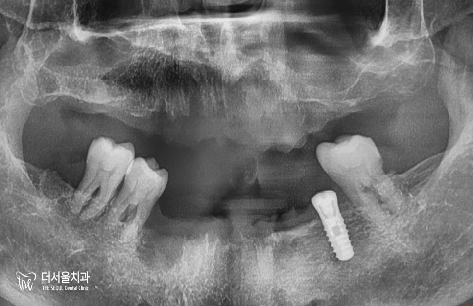
엑스레이로 확인한 결과,
치아가 왜 그렇게 흔들리는지 알 수 있었습니다.
이미 잇몸뼈가 내려 앉을대로
많이 퇴축되었음을 확인할 수 있었는데요.
뿌리 끝만 붙잡고 있는 곳도 있으니
심하게 흔들릴 수밖에 없죠.
또, 곳곳에 큰 염증을 찾아볼 수 있구요.
살릴 수 있는 치아는 정말 소수였습니다.
아래 양쪽 끝 어금니들만 살아남았죠.
이 상태를 더 방치했다가는
살릴 수 있는 어금니들까지
모두 발치하게 될 겁니다.
그럼 어떡하냐?
그런 일을 겪지 않도록
수정구치과는 서둘러 치료를 진행했습니다.
2. 치료 시작

36번 임플란트, 37, 46, 47번 어금니를 제외한
모든 치아를 발치했습니다.
잇몸 속에 있는 염증도 깨끗하게 제거하고
여러번 소독하여 회복이 이뤄지도록,
충분히 시간을 가지기로 했습니다.

일정 시간이 지났을 때
남아있는 어금니는 정출이 진행되어,
신경치료 후 크라운 보철을 통해
해결하기로 합니다.
3. 정밀 분석









픽스처를 심기 전
수정구치과는 디지털 네비게이션을 이용하여,
각 위치에 맞는 임플란트 식립 계획을
모의 수술을 통해 꼼꼼하게 점검하고 세워봅니다.
이를 토대로 제작된 가이드를 이용해
픽스처를 빠르게 심을 수 있고,
최소 절개로 통증이 덜하며
빠른 회복이 가능합니다. ^^
다만, 여기서 알 수 있었던 사실은
16, 25, 26번의 잇몸뼈는 픽스처를 심기에
한참 모자란 상태였습니다.
그럼 보강해줘야 되겠죠?
상악동 거상술 후 생성된 공간 속에
뼈이식 재료를 옮겨드렸습니다.
그 다음, 만들어진 가이드에 맞춰
계획했던 위치에 픽스처를 꼼꼼하게 심어줍니다.
4. 결과



엑스레이 그리고 CT를 통해
한번 더 꼼꼼히 확인을 해서
잘 들어갔는지 봅니다.
계획했던 대로 잘 들어갔네요. ^^
이제 뼈와 잘 붙기를 기다리는데,
수정구치과는 환자분께
“골결합이 잘 이뤄지려면
자극을 받지 않도록 조심해야 된다”며
당부 말씀을 드렸습니다.
(꼭 잘 지켜주세요..)



그리고 한달 뒤,
아래 부분도 마찬가지로
임플란트 수술이 이뤄졌습니다.
식립하고 엑스레이와 CT를 찍어봤는데,
좋은 결과가 나왔네요. ^^
5. 4개월 뒤
뼈와 픽스처가 잘 결합된 것을 보고
그 다음 단계인 보철 제작에 들어갔습니다.
지금 소개해드리는 환자분은
남아있는 치아가 거의 없었죠?
따라서 어떤 치아를 기준으로
보철을 만들어야 되는지
기준점이 없기 때문에,
아래 사진과 같은 교합 채득 과정으로
여러가지 기준점을 찾아갑니다.

이렇게 기준점을 찾고
최종 보철을 만들어야
눈, 코, 인중 등의 얼굴 전체와
조화로운 밸런스가 맞춰져
심미적인 결과 역시 좋아질 수 있습니다.
적합한 기준점을 찾은 뒤,
수정구치과는 기공소에 요청하여
보철 제작을 의뢰했는데요.
전달될 때까지 임시 보철로
일상 생활을 문제없이 할 수 있게 해드렸으며,
추후에 연락드리며 뵙기로 했습니다.
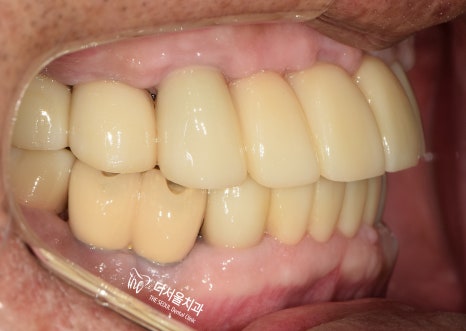
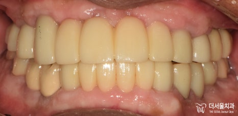
6. 최종 결과





완성된 보철을 전달받은 뒤,
환자분에게 연락드렸는데요.
그날 기분이 너무 좋으셨는지
조금 숨이 가쁘게 뛰어오셨더군요.
오늘부로 마무리되고
이제는 정상적으로 생활할 수 있다는 것에
한껏 기쁘셨으리라 생각합니다.
저도 그 마음 잘 이해합니다. ^^
그렇게 최종 보철을 세팅하며
꼼꼼하게 조정하고 마무리 지었는데요.

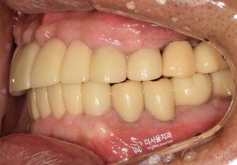
실제로 적용된 모습을 보면,
이전에 있던 진짜 치아랑 별반 다를게 없죠?
기능, 심미성 모두 신경써서
만들어드렸습니다.

엑스레이로 최종 확인까지 거쳐서
전반적으로 임플란트 수술이
잘 이뤄진 것을 확인했습니다.
이제 마음껏 식사를 즐기고
다른 분들과 즐거운 대화도 나눌 수 있게 되었는데요.
치료를 끝내기 전에
수정구치과는 환자분께
당부 말씀을 드렸습니다.
평소에 청결히 잘 관리하는 것,
정기검진은 잊지 말고 꼭 받으러 올 것.
2가지를 안내드렸습니다.
충치가 생길 일은 없으나,
잇몸에 염증이 발생하면
재수술까지 해야될 가능성이 존재하기 때문입니다.
그러니 이 글을 읽는 여러분들도
청결한 구강 상태는
지속적으로 유지하셔야 됩니다.
다들 아무런 증상이 없다 하더라도
6개월 내지 1년 사이에 한번은
구강 검진을 받길 바라며,
오늘의 글을 마쳐보겠습니다.
감사합니다.
글쓴이 박현성 원장이었습니다.




