수진동임플란트 치아 부러짐 문제로 발치 후 즉시 식립 수술 (어금니 깨짐)

반갑습니다, 박현성 원장입니다.
『 치아 부러짐 』
이와 같은 문제가 생겼다면,
어떻게 해야 좋을까요?
네, 빠르게 가까운 병원을 내원하셔서
진료를 받아야 됩니다.
깨져있는 채로 두게 된다면,
살릴 수 있던 것을
그대로 뽑아야 되는 상황까지 올 수 있습니다.
깨진 이는 재생되어 회복되지 않기에
신경치료를 통해 크라운을 씌워서
살려주던지 해야 됩니다.
그냥 뽑으면 안되냐구요?
크게 상관없습니다.
그러나 치아가 없는 채로 오래 둘 경우,
오히려 해당 부위의 잇몸 속에 있는 뼈가
점점 사라지는 것부터 시작하여,
뼈 소실 영향은 서서히 옆으로 확장되어 갑니다.
그럼 멀쩡한 이들도 흔들리게 되어
떨어질 수 있다는 말이죠.
때문에 이런 일을 겪지 않으려면,
적합한 조치를 취하는게 좋습니다.
오늘은 예전에 저희 더서울 수진동 치과에 오셔서
임플란트 수술을 받으셨던 분의 배우자가 찾아오셨습니다.
무슨 문제가 있었던 걸까요?
1. 초진
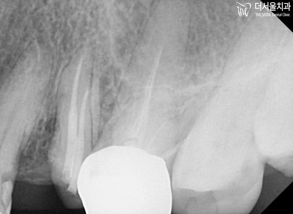
윗 어금니 깨짐 문제로 찾아오셨는데요.
거의 뿌리만 남아있는 채로
살리기 힘들겠다는 생각이 들었습니다.
좀 더 정확한 진단을 하기 위해서
치근단 엑스레이를 촬영해봤습니다.

이미 신경치료를 받았던 이력이 있었으며,
치아를 살리기에는 너무 많이 깨져
진행하기 힘든 상태였습니다.

조금만 덜 깨졌더라면,
한 번 더 살려볼 수 있었을텐데 하는
아쉬움이 남았는데요.
그 외에 골질이나 치주 질환 등
다른 문제는 없었기에
수진동 치과는 발치 후 즉시 임플란트
식립을 권장드렸습니다.
상황이 어떻게 되었든
이미 일어난 일에 대해서는
되돌릴 수 없는 상황이고,
그대로 두기에는 문제가 생길게 보였기 때문이죠.
그렇기 때문에 환자분께 차근히 설명드리며,
이렇게 하시는게 좋다 말씀드렸습니다.
환자분은 알겠다며
어차피 해야 될 것 같다는 생각에
여기 오게 되었다는 말씀을 주셨는데요.
이미 배우자분께서 수술을 받고 나서
너무 좋았다며 여기서 꼭 하라는 말을 듣고
찾아오셨다 하셨습니다.
그 말을 전해들었을 때,
아직 잘 쓰고 있으시고
칭찬을 해주셔서 너무 뿌듯하고
감사드리는 마음이 들었습니다. ^^
그래서 이번 수술도 꼭 잘해드려야겠다는
마음 가짐을 가지고 진행했습니다.
2. 계획 수립

수진동 임플란트 식립을 하기에 앞서
먼저, 디지털 프로그램을 이용하여
임의로 수술을 진행해봅니다.
여기서는 어떤 위치에, 어떤 각으로
식립하면 좋은 결과가 나올지
꼼꼼하게 체크해줍니다.

그리고, 혹여 문제가 될 부분은 없는지
확실히 체크하여 최종 위치와 각도를 정합니다.
그럼 해당 데이터를 통해
가이드를 제작하여,
픽스처를 식립해줍니다.
가이드를 통해 위치는 정해져 있으므로
굳이 잇몸 절개를 할 필요없이,
빠르게 식립이 가능합니다.
최소 절개를 이용하여 통증이나 출혈, 붓기를
감소할 수 있으니 빠른 수술이 가능하며,
환자분 또한 식립 이후에 느낄 수 있는
통증, 붓기, 출혈을 최소화할 수 있으니
의료진이든 환자든 둘 다 만족할 수 있는 방법입니다.
3. 결과

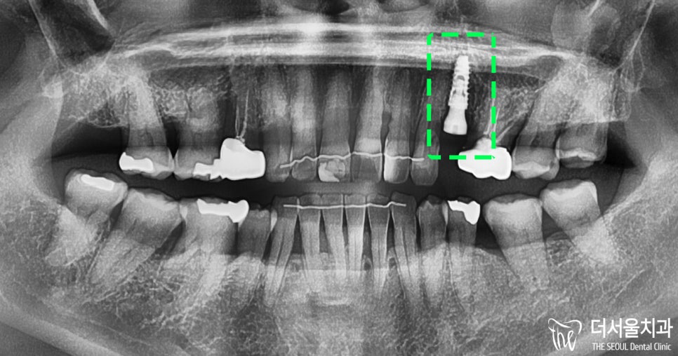
가이드를 이용하여 수진동 임플란트를 심은 결과입니다.
올바른 위치에 잘 식립된 것을
파노라마 엑스레이 촬영으로
확인할 수 있습니다.
끝나고 나니 역시라는 말씀과
아프지 않게 잘 해주셔서 감사드린다는
칭찬을 너무 해주셔서 참 뿌듯하면서도
저도 만족스러웠던 증례였습니다.
집으로 보내드리기 전에
어떻게 관리를 해야 되는지
주의사항을 꼼꼼하게 안내드렸구요.
심어놓은 픽스처는 뼈와 잘 붙을 때까지
회복하는 기간을 가지기로 하며,
추후에 예정 날짜에 맞춰 내원하셔서
최종 보철 제작에 들어가기로 했습니다.
계획을 잘 짜서 식립하면
좋은 결과가 나옵니다.
더서울 치과는 디지털 프로그램을 통하여
모의 수술을 먼저 실행해봅니다.
그리고 최적의 데이터를 얻어내어
가이드를 제작하고,
그에 맞춰 임플란트를 식립합니다.
그럼 통증, 붓기, 출혈 등
겪을 수 있는 부작용을 최소화하여
환자분께서도 더욱 편안하게 수술을 받을 수 있습니다.
오늘 소개해드린 치아 부러짐과 같은 상황을
겪게 되어 어떻게 할지 고민을 하고 있으시다면,
더서울 수진동 치과에 오셔서
상담을 받아보시길 바랍니다.
상담은 친절하고 꼼꼼하게,
치료는 정밀하고 정확하게
진행하여 좋은 결과를 드리겠습니다.
감사합니다, 박현성 원장이었습니다.


치료 기간 : 2024.03.06 ~ 진행 중




