성남 치아교정 임플란트 식립 전 공간 없을 때 어떻게 해야 좋을까?

안녕하십니까, 박현성 원장입니다.
치아를 상실하여 임플란트 수술을 받아야 되는데,
공간이 협소하여 진행할 수 없다는
진단을 받았다면 어떻게 할까요?
네, 치아교정 진행해야 됩니다.
없는 공간을 만들어 낼 수 없기 때문에
임플란트 수술이 필요하다면,
꼭 해야 되는 치료 방법이죠.
오늘 실제로 적용된 사례를
성남 더서울치과와 함께 살펴보겠습니다.

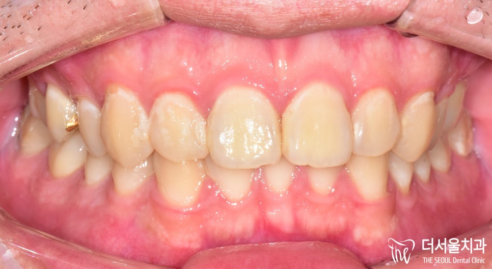
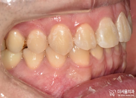
정면을 보면 그렇게 큰 문제는 있는 것처럼 보입니다.
그런데 문제는 정면이 아닌 옆이었는데요.


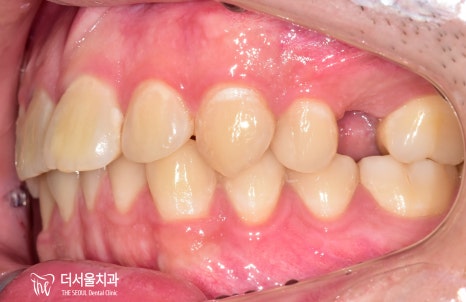
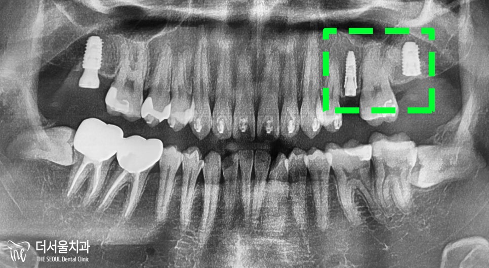
왼쪽에 작은 어금니 하나가 비었죠?
25번 어금니를 상실해 있습니다.


교합면을보면 뭔가 좁다는 느낌을 받을 수 있는데,
치아를 상실한지 조금 오래 되었다 하셨습니다.
그래서 25번 위치는 픽스처를 식립하기
힘든 상태였습니다.
따라서 성남 치아교정 치료를
먼저 진행하여 공간을 만들기로 합니다.

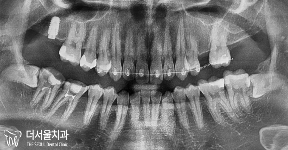
진료 전, 촬영했던 파노라마 엑스레이를 보면
공간 협소 외에는 별다른 문제는 없었습니다.
물론 24, 26번을 지대치로 이용하여
브릿지를 연결하여 기능을 회복할 수 있습니다.
그러나, 20대에 해당하는 젊은 분이었기에
아직 브릿지를 하기에는 너무 젋었죠.
그래서 성남 치아교정을 진행하기로 합니다.
다만, 아랫니는 하지 않고
윗부분만 하길 원하셔서
그렇게 하기로 했습니다.

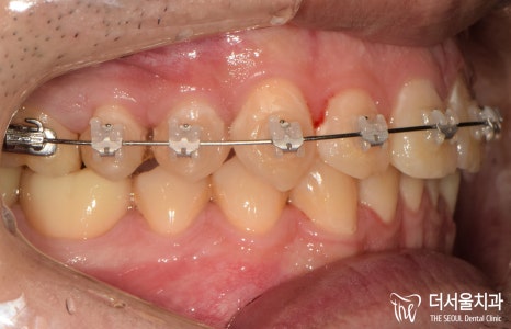
계획에 따라 장치를 부착하여
25번 픽스처 식립을 위한
공간 형성 치료를 진행합니다.

그 사이에 17번은 해당 과정과
크게 상관없었기에
픽스처를 식립해줬습니다.
나중에 뼈와 잘 결합되면
최종 보철을 제작하기로 합니다.

대략 4달이 지났을 때,
조금씩 자리가 생겨나고 있는 것을
찾아볼 수 있습니다.

25번 위치를 보면 처음 내원했을 때보다
조금은 더 열린 것을 볼 수 있죠?


측면으로 봤을 때도
좀 더 치열이 가지런해진 것과,
각자 제 위치를 찾아가는 것이
눈에 띄었습니다.

그리고 여기서 3개월이 더 걸려서
충분히 픽스처 식립이 가능할 때,
곧바로 심어드렸습니다.

CBCT 촬영을 통해
올바른 위치에 잘 식립되었는지
한 번 더 체크를 해줬구요.
올바르게 잘 식립되었네요. ^^
이제 충분히 뼈와 결합되기를
기다려주면 됩니다.

그로부터 6개월이 지났을 때,
17번은 최종 보철까지 다 연결시켰습니다.
나머지 25, 27번은 뼈와 어느 정도 잘 붙어
힐링 어버트먼트를 연결시켜
좀 더 골결합이 잘 이뤄질 때까지 기다려줍니다.

정면을 보면 처음에 성남 치아교정 장치를
붙이려 하기 전에 모습이랑
확실히 다른 것을 느낄 수 있습니다.
점점 가지런한 치열로
변하는 것을 볼 수 있네요. ^^

그 뒤로 2개월이 지났을 때,
이제 장치를 떼어냈습니다.
장치를 뗴고 나니
환자분께서 상쾌하다는 듯한
표정을 지으시더군요.
다들 이 과정만 기다리고 있었을 겁니다. ^^
아무래도 입 안에서
계속해서 닿다보니
거슬렸을테니 말이죠.

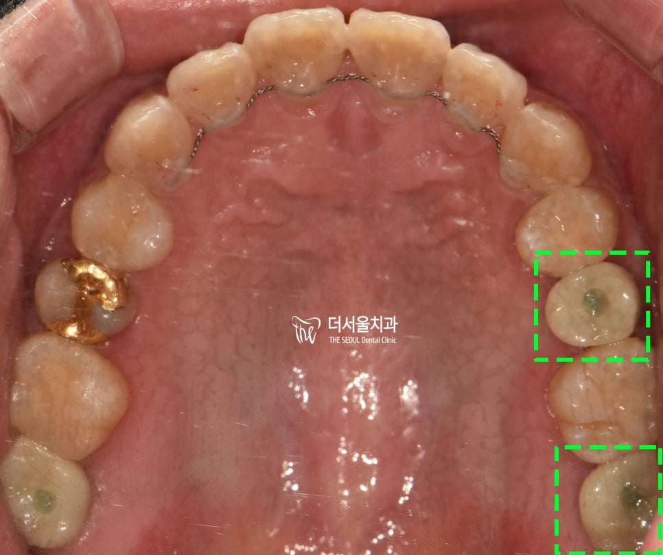
그리고 교합면을 보면,
25, 27번 자리에
최종 보철이 세팅된 것을 볼 수 있습니다.
깔끔히 잘 마무리 되었네요.


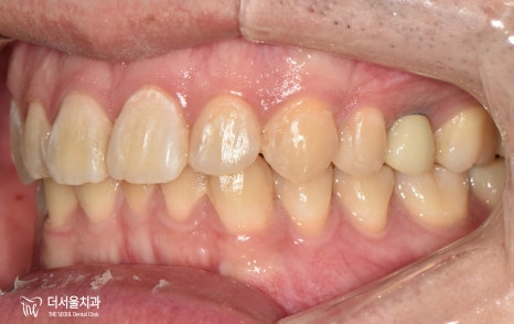
측면을 봤을 때도 성남 치아교정을 하고 나서
치열이 좋아진 것을 볼 수 있습니다.
게다가 임플란트 식립까지 잘 되었구요.
환자분 또한 이제 크게 웃을 때,
불편해하지 않아도 되겠다며
진료 결과에 만족스러워 하셨습니다.
물론 모든 치료를 끝내기 전에
필수적으로 정기검진은 꼭 받으셔야 된다는
당부의 말씀을 드리며 끝마쳤습니다.
이처럼 임플란트 식립을 하기에 앞서
공간 협소로 인한 수술이 불가하다면,
꼭 치아교정 전문의를 통하여
상담 받아볼 수 있기를 바랍니다.
필요한 부분들은 의료진들도
협진을 통해 해결합니다.
저희 성남 더서울치과 역시 마찬가지로
의료진들끼리 협진을 진행하고 있구요. ^^
언제든 이와 관련된 상담을 원하신다면,
원내에 미리 연락 주시길 바랍니다.
친절하고 꼼꼼히 상담 도와드리겠습니다.
감사합니다, 박현성 원장이었습니다.


치료 기간 : 2023.02.15 ~ 2024.06.14





