하대원동 치과 “틀니 생활 지쳤어요.” 풀아치 임플란트으로 해결해 드립니다.

틀니는 완전 무치악이나
부분 무치악 환자의 전통적인 치료법으로,
의치 틀을 잇몸 위에 올리는 방법입니다.
하지만 잘 사용하기 위해서는
청소와 관리를 잘해야 됩니다.
청결하게 관리하지 않으면 구취를 유발하고,
의치성 구내염 등이 생겨 통증을 유발합니다.
잇몸 위에 얹어서 사용하기 때문에 이물감과
불편감이 심하고 시간이 지남에 따라 뼈가 소실돼
주기적으로 조정해 줘야 된다는 단점이 있습니다.
오늘 소개해 드리는 환자는
이와 같이 틀니를 사용하다가
지치셔서 하대원동 치과 에 오셨습니다.
자세하게 설명드리겠습니다.
1. 틀니 사용이 지쳤어요.
탈착식 보철인 틀니를 쓰시다가
너무 불편하다는 주소로 하대원동 치과 에
내원하셨습니다.

먼저 초진 사진을 보면
전혀 없는 치아를 볼 수 있습니다.

디지털 엑스레이로 자세하게
살펴보았습니다.
오랜 틀니 생활로 흡수된
치조골들을 확인할 수 있는데요.
이런 이유로 타 병원에서는
임플란트가 불가능하다고 듣고
마지막 희망으로
하대원동 치과 더서울을 찾아주셨습니다.
임플란트는 인공치근(픽스처)이
골 유착을 하여 뼈에서부터
지탱하는 건데요.
만약 건강한 뼈가 없다면
당연히 임플란트 식립이 불가능합니다.
하지만 하대원동 치과 에서는
희망을 품고 찾아주신
환자를 도와드리기로 했습니다.
2. 디지털 임플란트
뼈가 부족하고 전체식립 케이스입니다.
상당히 고난도 수술이고, 많은 노하우와
경험을 필요로 하기 때문에
실력 좋은 의료진이 있는 하대원동 치과 에서
개선 도와드리기로 했습니다.
『 가이드 임플란트 』

하대원동 치과 는
위 사진과 같은 CT 디지털 분석 프로그램으로
사전에 컴퓨터 내에서
모의 시술을 진행해 볼 수 있습니다.
이때 계획한 위치와 각도에 맞추어
가이드를 제작하게 됩니다.
그러고 나면 실제 수술에서
구강 내에 가이드를 장착하고
즉시 식립을 할 수 있기 때문에
불필요한 절개는 하지 않고
또한 원하던 위치에 빠르게 식립할 수 있으니
환자의 부기와 통증도 덜하답니다.
3. 고난도 수술 진행
통증을 덜 느끼도록 마취를 한 뒤.
미리 제작해 둔 가이드를 이용하여
픽스처를 식립했습니다.

이 사진이 가이드를 사용하고 있는 장면인데요.
지금 표시해준 가이드를 통해
드릴링을 해주면 오차 없는
식립을 할 수 있는 것이죠.

이렇게 안전한 식립을 마무리 해주었습니다.
픽스처와 골 유착하는 시간을 가져주었습니다.
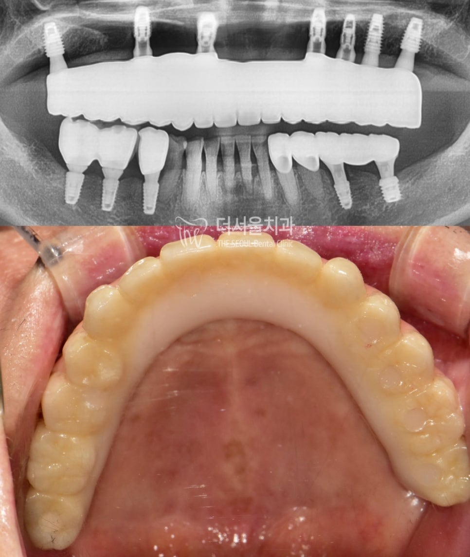
4. 튼튼한 최종 보철
골 유착이 충분히 되었다면
상부에 보철을 올려드릴 건데요,
14개의 자연치 저작기능을
대신해야 되기 때문에
풀아치 타입으로 제작했습니다.

그리고 상악 전체와 하악 어금니를 재건한 만큼
맞닿는 대합치와 원활히 저작할 수 있도록
높이도 잘 체크해 드렸습니다.
틀니로 식사를 힘들게 하던 환자는
튼튼한 임플란트를 받고 식사를
편하게 하신다는데요.
틀니는 저작력이 5분의 1 정도로
고기 같은 질기거나 딱딱한 음식은 먹기 힘든데요.
이제 드시고 싶은 음식 편하게 드셔도 됩니다 🙂
【 마치며 】
저희 하대원동 치과 에서는
기본적인 치료부터 위 환자처럼
고난도 임플란트 같은 많은 방법으로
환자 고민을 해결해 드리고 있습니다.
만약 구강 문제로 고민하고 있다면
언제나 옆에서 든든한 해결사가 되어드리겠습니다.
긴 글 읽어주셔서 감사합니다.


23.10. 13 ~ 24. 07. 22

