보철 치료하면 끝? 이차우식증으로 문정동 치과 에서 임플란트 후기

반갑습니다.
글쓴이 박현성 원장입니다.
오늘은 문정동 치과 임플란트 케이스에 관하여
증례를 소개하겠습니다.
먼저 이번 환자는 이차우식증으로
수술을 받으셨는데요.
“이차우식증이 뭔가요?
충치랑 비슷한 건가요?”
일단 우식이라는 단어부터 알고 가겠습니다.

우식은 한문으로 齲(충치 우), 蝕(좀먹을 식)
즉 충치와 같은 말입니다.
이러한 단어 앞에 붙는 ‘이차’라는 단어는 즉 한 차례, 두 차례와 같은 개념입니다.
따라서 동일한 치아에 한차례 충치가 걸린 것,
두 차례 충치가 걸렸을 때로 이해하면 되는 거죠.
문정동 치과 에서
더 자세한 설명을 해드리기 위해
증례를 같이 보면서 꼼꼼하게 설명하겠습니다.
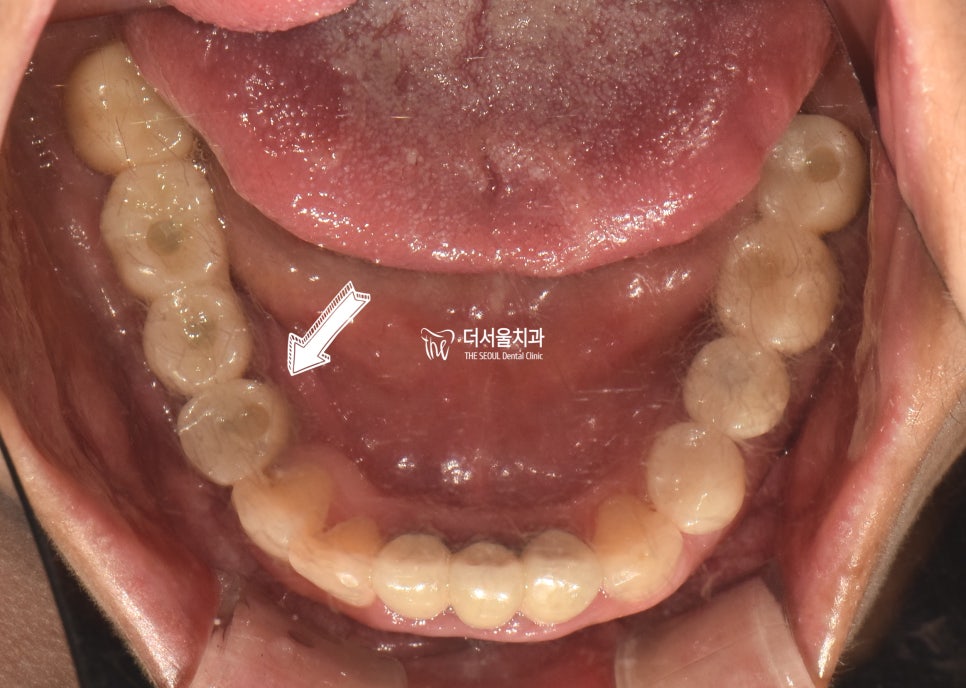
1. 진단
크라운 한 부분이 통증이 느껴져서
문정동 치과 로 내원하셨습니다.
예전에 저희 더서울에서
임플란트를 진행하고 만족하시고
다시 검진을 받으러 오셨는데요.
어디가 아픈지 x-ray로 확인하겠습니다.

x-ray를 확대해서 찍은 사진을 보면
크라운 주변으로 거뭇거뭇한 느낌을 볼 수 있는데요.
이게 바로 이차우식증입니다.
크라운 주변으로 충치가 진행된 것입니다.
생각보다 많이 진행이 되다 보니
크라운이 옆으로 누운 걸 관찰할 수 있었습니다.
또 잇몸뼈도 많이 내려가
뿌리 끝만 붙잡고 있으니
흔들리고 있었습니다.
이 상태로 더 방치했다가는
문제가 더 커질 수 있습니다.
그런 일을 겪지 않도록 문정동 치과 에서는
서둘러 치료를 진행하기로 했습니다.
#35 충치가 심한 치아는 상태가 좋지 않아
이를 뽑고 임플란트 진행하기로 했습니다.
더서울은 보존을 중요시하기 때문에
그 옆에 염증이 있던 치아는
신경치료를 통해 살리기로 했습니다.
2. 수술 전 정밀 분석
픽스처를 심기 전
문정동 치과 에서는 가이드 임플란트를 이용하여,
정확한 식립을 하기로 했습니다.
정확 뿐만 아니라 최소 절개로 통증을
줄여 빠른 회복도 가능합니다.

이런 정확한 디지털 자료를 통해
신속하게 가이드를 제작하여
오차 없는 수술을 준비합니다.
그 다음, 만들어진 가이드에 맞춰
계획했던 위치에 픽스처를 심어줍니다.
3. 오차 없는 결과

식립 후 파노라마 x-ray 및 CT를 확인해보면
정확한 식립을 볼 수 있는데요.
이런 과정은 환자에게 통증이 덜 할 뿐만 아니라
더 빠른 회복도 가능합니다.
골 유착하는 시간을 가져주고
최종 보철을 수복했습니다.

자연치와 유사하고 튼튼한
지르코니아 크라운을 씌워드렸습니다.
옆 치아와 이질감 없이
자연스러운 모습을 보여주는데요.
보철 사용 주의 사항을 꼼꼼하게
설명드리고 진료 마무리했습니다.
문정동 치과 에 환자께서
조금 지나 체크하러 오셨을 때,
통증도 없어지고
밥먹기도 너무 편하다는
말씀 전해주시고 가셨습니다.
4. 마치며
지금 처럼 보철 속으로 시작하는
충치는 환자 스스로 알아차리기 쉽지 않습니다.
통증이 생기고 뒤늦게 치료를 받으러
오는 분들이 많습니다.
이 글을 읽고 계시는 분들은
꾸준하게 정기검진을 받아
예방해 보는 게 어떨까요?
문정동 치과 에서는 꼼꼼한 검진을
약속하며 이만 글 마치겠습니다.

24.01.17~24.06.15


