더서울 성남 치과 로 다시 찾아온 환자의 사연은? – 덤핑 저가 임플란트 광고의 심각성

반갑습니다,
더서울 성남 치과
박현준 원장입니다.
오랜만에 내원하신 환자분!
그동안 무슨 일이 있으셨나요?
오늘은 정말 오랜만에 방문해
주신 분의 이야기를 들려드릴게요.
특히 성남 치과 알아보는 분들은
꼭 끝까지 읽어주세요 🙂
보통 병원을 알아보실 때
각자 생각한 요인을 고려하여
여러 곳을 비교하게 되는데
전문의로서 병원을
선택할 때는 기준이
확실해야 된다고 여기는 편입니다.
선택 시 고려할 사항으로는
의료진의 숙련도, 섬세한 진단이 가능한
디지털 장비 보유 여부, 위치,
비용 등의 요인이 있는데요,
안타깝게도 많은 사람들이
첫 번째로 중요하게 여기는 것은
비용인 것 같습니다.
어찌 됐건 한 번 치료한 치아는
자신의 신체 일부가 되는 것이기에
더 철저히 알아본 후
결정해야 된다고 생각합니다.
본론으로 돌아와
오랜만에 더서울 성남 치과 로 오신 환자의
자초지종을 들어보았습니다.
” 다른 곳에서 싸다고 해서 한
임플란트가 마음에 안 들어요ㅠ
잇몸도 아프고요ㅠ “
앞에서 말씀드린 것과 같이
가격에 혹하여 다른 곳을 가셨다가
잘못된 보철로 문제가 생겨
저희 더서울에 재방문한 케이스입니다.
사진을 먼저 보실까요?
일단 잇몸만 봐도 표시 부위가
빨갛고, 부어오른 게 확인됩니다.
또, 어딘가 부자연스러워 보이는데요,
어느 부분에 문제가 있는지
차근히 알아보도록 하겠습니다.
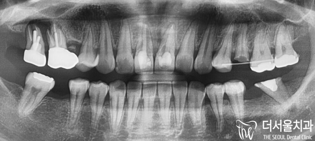
먼저 정확한 진단을 위해
엑스레이를 촬영해 보았습니다.

#21은 2개월 전 다른 곳에서,
#11을 포함한 나머지 보철은
4년 전 저희가 해드렸습니다.


4년 전 진료 기록
저희가 해드린 보철은
이전 진료 기록과 비교하여
보니 별다른 문제 없이
잘 사용하고 계신 것을 확인했습니다.
임플란트 수술 과정에서 중요하게
여겨져야 되는 것은
이머전시 프로파일(emergency profile)을
잘 살려주는 것입니다.
『 emergency profile 이란? 』
인공 치아 뿌리에서부터
보철로 이어지는 라인을
일컫는데, 이 라인을 자연치와
유사한 상태로 각지지 않게
만들어 줘야 됩니다.
만약, 이곳이 각지거나
턱지게 된다면 어떻게 될까요?
정답은 음식이 잘 끼고
빠지기 쉽지 않기 때문에
다음과 같은 부작용이
생길 수 있습니다.
1. 주위 잇몸 염증
2. 염증으로 인한 퇴축
그러므로 알맞은 보철 수복이
이루어질 수 있게 노력해야 됩니다.
엑스레이 사진을 보면

왼쪽이 더서울 성남 치과
오른쪽이 타원 보철인데
앞서 말씀드린 이머전시 프로파일의
차이가 있는 것이 보여집니다.

다른 곳에서 하신 임플란트와 크라운의
연결 지대주에 문제가 있는 것 같습니다.
굴곡진 부분이 보이시나요?
11번 치아는 매끄러운
라인으로 이어지는 반면에
21번은 풍융도가 큰 라인으로
이어지고 있습니다.
이곳이 부드럽게 이어지지 않아
잇몸에 염증이 생겨
발적과 부종이 있습니다.
그렇기 때문에 제대로 진료받기 위해
이사를 가셨음에도
다시 성남 더서울로 재내원 하신 것 같네요.
추가로 문제 21번의 색이
어딘가 부자연스러운데,

사진을 보면 주위 치아들보다
살짝 노란 기가 돌고,
불투명하게 보이기도 합니다.
우리 앞니는 인상에
중요한 역할을 하므로
심미성을 고려하여 제작되어야 됩니다.
앞니를 제작할 때는
색과 미세한 각에 따라 보이는
이미지가 확 달라지는데요,
섬세한 술식의 작업인 만큼
꼭 숙련된 전문의가 함께해야 됩니다.
다행히 저희 성남 치과 에 오셔서
다시 재시술을 받고 계신데요,
모든 진료가 끝나면 추후에
한 번 더 포스팅하도록 하겠습니다!
다시 한번 강조하자면
치과는 가격만을 보고
결정하시면 안 됩니다!
관련된 내용으로 신문에도
발행된 기사 하나를 소개해 드릴게요.
저가 임플란트 부작용 및
환급 분쟁이 급증하고 있다는 기사인데요,
요즘 문제 되는 일명 ‘덤핑 치과’
같은 곳들도 많아져 치료도 끝내지 못했으며
먼저 준 돈을 돌려받지 못하는 일도
있다 합니다.
더서울 성남 치과 를
찾아와 주신 여러분에게
피해 예방 방법을 정리하며
글을 마쳐볼까 합니다.
A. 지나친 할인 및 전액 선납을 요구한다면
매우 주의할 것
B. 담당 전문의가 직접 진단하고
계획하는 곳인지 파악할 것
C. 시술 후 구강위생 관리를
철저히 해줄 수 있는 곳인지 잘 알아볼 것
D. 정기검진을 통해 사후관리에 신경 써주는
믿을만한 곳인지 살펴볼 것
더서울 성남 치과 는
올바른 선택의 기준이 되려고
더욱 연구하고 힘쓰고 있습니다.
앞으로도 구강 건강에 관한
유익한 정보와 팁을 알려 드릴 예정이니,
자주 찾아와 주길 바랍니다.
건강하고 아름다운 미소를
위해 노력하겠습니다.
긴 글 읽어주셔서 감사합니다.
더서울 성남 치과 박현준 원장이었습니다.


치료 기간 : 2024. 06. 03 ~


