임플란트 유지 보수 AS 기간 중요한 이유, 보증기간 있는 성남 치과

반갑습니다,

성남 치과

박현준 원장입니다.

우리가 흔히 사용하는 가전이나 전자제품에도

유지 보수 as 같은 사후관리 기간이 있듯이

공정거래위원회가 2013년 발표한

시술 동의서 표준 약관에 따르면

임플란트 시술 보증기간은

1년으로 명시되어 있습니다.

이처럼 말 그대로

1년 안에 문제가 생긴다면

as와 비슷한 사후관리를 받을 수 있습니다.

(단, 무상보증의 범위는

병원마다 다르긴 합니다.)

실제 저희 더서울에도

이전에 진료받았던 병원이 사라져서

놀란 마음을 갖고 내원하시는 분들이 계신데

그런 환자들을 볼 때마다

속상하고 안타까운 마음이 들면서

오늘은 이와 관련된 실제 케이스를

설명드리도록 하겠습니다.

이전에 진료받았던

병원이 사라졌다며

주변 지인의 소개를 받고

더서울에 오신 환자입니다.

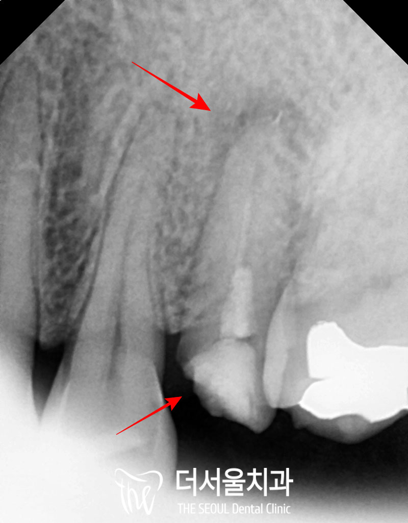
검진을 받으러 오셨을 당시

왼쪽 위 신경치료 후 크라운을 씌워놓은

두 번째 작은 어금니(#25) 뿌리 부근에

염증 소견이 있기도 하고,

구강을 살펴보면

크라운과 치관이 떨어져 나간 채로

뿌리만 잇몸에 남아있었습니다.

깨진 양이 많고,

이전에 신경치료를 받았던 이라

이미 수명이 짧아진 채로 약해져있었기에

해당 치아는 발치 후 임플란트를 해야겠습니다.

환자께서도 어느 정도

마음의 준비를 하고 오셨던 터라

성남 치과 에서는

진행했습니다.

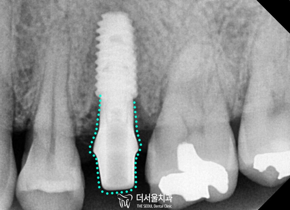
부러진 치근을 뽑고

그 자리에 정확하게

픽스처를 심었는데요,

저작력을 잘 버틸 수 있도록

치조골이 튼튼한 곳에

알맞게 식립을 진행해 드렸습니다.

잇몸뼈의 너무 바깥쪽도 아니고

너무 안쪽도 아닌 중앙에 잘 위치 시켰으며

양쪽 치아와의 간격도

잘 맞춰서 심어진게 보이시죠?


성남 치과 에서는

구강 상태에 따라

당일 즉시 식립도 가능하여

이 환자의 경우

2개월 반 만에 고정력도

충분히 확보되었습니다.

그래서 맞춤형 어버트먼트를 제작하고

보철을 올릴 준비까지 되었습니다.

그리고 나면

크라운을 제작하여

연결해 드리는데,

여기서 중요한 한 가지가

더 있습니다.

더서울에서는

크라운에 홀을 두는 SCRP type

보철을 이용합니다.

이 환자의 경우

예전에 다른 곳에서 한(이제는 사라져버린..)

오른쪽 위 작은 어금니 임플란트는

방향도 조금 기울어져 있어서

지속적인 관리가 필요한데

심지어 보철에 홀이 없는 타입이라

a/s가 힘듭니다.

만약 문제가 생기면

크라운 전체를 뜯어내고

손을 봐야 된다는 뜻이죠.

덤핑을 하거나 저수가로 유혹하여

심는데만 급급한 것이 아닌

유지 보수와 보증까지 책임지는

성남 치과 에서

안전하고 책임감 있는 진료

받으시길 바랍니다.

긴 글 읽어주셔서 감사합니다.

더서울의 박현준 원장이었습니다.

치료 기간 : 2024.03.05 ~ 2024.06.02

답글 남기기

Your email address will not be published. Required fields are marked *.

*
*
You may use these <abbr title="HyperText Markup Language">HTML</abbr> tags and attributes: <a href="" title=""> <abbr title=""> <acronym title=""> <b> <blockquote cite=""> <cite> <code> <del datetime=""> <em> <i> <q cite=""> <s> <strike> <strong>

Copyright © 2025 더서울치과. All Right Reserved.
031-757-1525BACK TO TOP