태평역임플란트 치과 에서 언제 이를 빼고 어떻게 심어야 되는지에 관한 글
안녕하세요,
태평역임플란트
치과 의사 박현준입니다.
치아가 없거나
부러진 곳이 있다면
언제 이를 빼고
어떻게 심어야 되는지
궁금해하시는 분들이 많습니다.
크게 3가지로 나누어 보자면
(1) 충치가 많이 진행되어
치아의 기능을 잃은 경우
(2) 치주 질환으로 인하여 잇몸뼈가 녹고
이를 잡아줄 치조골이 없어 흔들리는 경우
(3) 심한 외상으로 자연치를 잃게 된 경우
ex. 교통사고
물론 개인마다 진료 철학과 계획은
다를 수 있기에
어느 시점이다 또는 살릴 수 있다
등의 진단은 조금씩 다를 수 있습니다.
그러나 그 시기의 차이일 뿐
만약 문제가 생겼다면
어찌 되었건 조기 발견과 치료가
조금이라도 이를 살릴 수 있는
최선의 방법입니다.

치료 기간 : 2024.07.22 ~ 2024.12.27
오늘 이와 관련하여 예시 사진과 함께
설명드리겠습니다.
2024.07.22
예시 구강 사진을 관찰해보면
다수의 상실된 치아가 발견됩니다.
이를 통해 평소 틀니를 사용한 것을
예상할 수 있습니다.
또한, 치아 뿌리만 남은 채 파절된 곳도
발견됩니다.


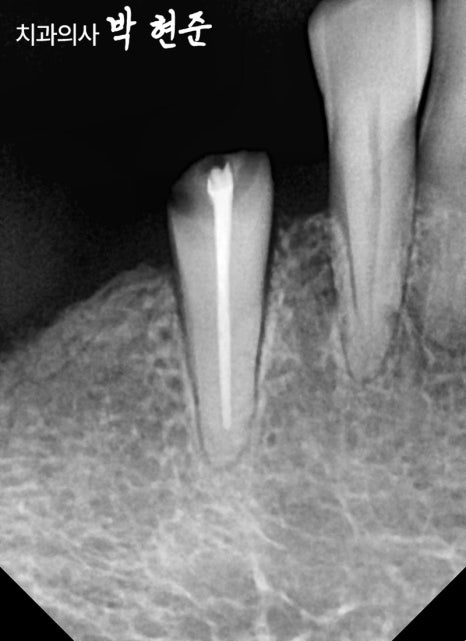
2024.07.22


2024.07.22
엑스레이 예시 사진을 관찰해보니
치관의 많은 양이 부러진 것으로 보여집니다.
이미 과거에 근관치료도 받았던 곳으로 보이기에
발치가 필요하겠습니다.
2. 정밀 진단
기존에 사용하던 틀니에 대한 불편감이
큰 경우에는
정밀 진단을 통해
수술이 가능한 상태인지
체크할 수 있습니다.

2024.07.22
사진 상으로는 비어있는 구치부의
치조골 높이가 양호한 것으로 보이기 때문에
태평역임플란트 식립이 가능할 것으로 보여집니다.
파절된 이는 뽑고
픽스처를 심어 재건할 수 있을 것으로 보여집니다.
3. 디지털 내비게이션



2024.07.25
이렇게 다수의 픽스처 식립이
필요할 경우
빠르고 안전한 수술을 위해
디지털 네비게이션 방식을 이용할 수 있습니다.
실제 입 안이 아닌
컴퓨터 안에서 미리 시뮬레이션 하여
픽스처의 위치, 각도, 방향을
살펴볼 수 있습니다.




2024.07.25
또한 상기 예시 사진처럼
아래턱에 많은 개수를
심어야 될 경우
그 아래로 지나가는
하치조 신경에 따라
식립 위치나 깊이가 달라질 수 있기에
이렇게 디지털 방식으로
모의 시술을 진행할 수 있습니다.
5. 주의 사항
내비게이션 방식으로
태평역임플란트 식립을 진행한 후에는

초기고정도가 잘 나왔는지,
원하던 위치에 잘 자리 잡았는지 체크해줍니다.
이후 뼈와 잘 붙기를 기다려줍니다.
몇 가지 주의사항을 설명드리면
1) 수술 후 입안의 침과 피는
삼켜야 됩니다.
2) 마취는 2~3시간 이후 서서히 풀리게 되는데
그 사이에는 거즈를 꽉 물어
지혈될 수 있게 해줍니다.
3) 마취가 풀리고 나면 처방에 따라
진통제와 약을 끝까지 복용하고
임의로 중단하면 안 됩니다.
4) 술과 흡연은 염증을 유발하니 하면 안 됩니다.
5) 구강위생을 청결히 하는 것이
무엇보다 중요하므로 식립 부위는 가글을 하고
그 외에는 양치질을 꼼꼼히 해주시기 바랍니다.
6. 최종 보철 연결
태평역임플란트 가 뼈와 붙기를 기다린 후,
몇 개월 뒤 본을 떠
크라운을 올려주면 과정이 마무리됩니다.

아무래도 갑작스레 단단한 보철이 올라가면
턱이 놀랄 수 있어
초기에는 적응 기간이 필요합니다.
치과 의사 박현준이었습니다.
