잠실 치과 추천 20대 임플란트 유치 흔들림 영구치(계승치) 없음 증례

반갑습니다.
잠실 더서울 치과 입니다.
우리 구강 속 치아.
어렸을때 유치에서 영구치로 전환이 되면,
그것을 평생 사용하게 되는데요.
그런데 유치 이후에 치아가 없는 경우도 있는데요.
오늘 보여드릴 20대 또한 계승치라는
영구치가 없어서 그대로 사용하고 있었는데요.
뿌리가 짧아 흔들림이 되게 심해서
제거 후 임플란트 식립을 진행했는데요.
"안녕하세요, 선생님.
제가 어렸을때 있었던 유치를
지금껏 계속 가지고 있어요.
예전에 검진 받으러 갔었는데,
영구치는 없다는 진단을 받았었어요.
근데 지금 흔들림이 커서 그러는데
여기서 어떤 진료를 받아야 되나요?.."
이런 주소로 추천 받은 잠실 치과 를 찾아오셨습니다.
거의 20대 임플란트 식립을 하게 되는 이유 중에
큰 부분을 가지고 있는 것인데요.
다음에 자라날 치아가 없기 때문에
보철로 대체할 수밖에 없습니다.
그래서 환자분께 꼼꼼히 설명드리며,
상담을 진행하는데 이상함을 느꼈습니다.
‘왜 전문 용어를 잘 알고 있으신건지..??’
그래서 혹시나 싶어 여쭤봤더니
여동생분께서 위생사 일을 하고 있다는
얘기를 들려주셨습니다.
그러면 거기서 하는게 좋지 않느냐 여쭤봤더니,
동생분도 잠실 더서울 치과 추천을 해주신 덕분에
여기로 오게 되셨다고 말씀하셨습니다.
(감사합니다.🙇♂️)
이렇게 가족에게도 추천을 받아오는 곳으로
오시게 된다면 좋은 결과가 될 수 있게끔
꼼꼼히 잘해드리고 있습니다.
그럼 진단에 관한 얘기를 해볼까요?
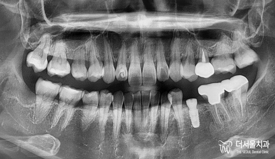
『진단』
붉은색 동그라미로 표시된 곳을 보면
유치로 뿌리가 다른 것들에 비해
되게 짧다는 것을 확인할 수 있습니다.
튼튼히 고정될 수 없는 상태로
흔들림 체크를 했더니
조금 더 있으면 빠질 것 같았습니다.
그래서 환자분께 설명드리며
임플란트 수술을 받으셔야 된다고
잠실 치과 의료진은 안내드렸습니다.
그러더니 알겠다며 동의를 하셨고,
발치 후 식립에 들어가기로 했습니다.
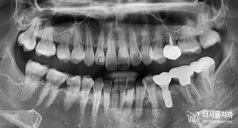
『과정』

치아를 발치 후 심기 전에
컴퓨터 분석 프로그램을 이용하여
적합한 위치와 각은 어떻게 하면 되는지
계획을 수립했는데요.
그런데 살짝 골소실이 일어나
GBR(골유도재생술)을 시행해줘야 되었습니다.
이것은 뼈보다 우선 재생하는 피부세포.
이것을 먼저 증식시켜주는데요.
그전에 뼈가 생성될 공간을 확보합니다.
그 뒤에 차단막으로 덮어
피부세포로 공간을 덮게 되며,
그 속에는 골모세포들 유입으로
골재생이 일어나는 것이죠.
잠실 치과 에서 이런 방식을 이용하여
픽스처 식립을 도와드렸습니다.

튼튼히 픽스처를 심어드린 뒤에
뼈와 골유착을 이뤄 고정될 수 있도록
시간을 가졌습니다.
골유착이 잘 이뤄졌다면,
그 위로 제작된 크라운을 시적합니다.
이번 케이스도 마찬가지로
지르코니아 재료로 제작된 것을
세팅해드렸습니다.
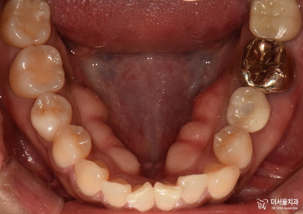
『결과』


# 35 자리 소구치
20대 임플란트 수술은 잘 끝났습니다.
환자분 또한 역시 흔들림 증세가 없어져
한껏 편안해졌으며,
보철이 튼튼하게 자리를 잡게 되어
음식을 먹는데 한껏 더 편해졌답니다.
추천을 해줬던 동생에게도
고맙다는 말을 하셨구요. ^^
어르신들만 할줄 알았던 것을
20대 본인이 받게 될줄은 몰랐다며,
다른 이들은 관리 잘해서
오래 사용할 수 있도록 해야겠다는
말씀을 하셨으며 이후 정기검진은
꼬박꼬박 잘 찾아오실 것을 약속하셨습니다.
건강 문제는 나이 순서가 없습니다.
어떤 사람이든 관리를 하지 않는다면,
흔들림을 겪고 쉽게 나빠질 수 있습니다.
그렇기에 꼼꼼히 꾸준한 케어를 하셔야
튼튼히 건강을 유지할 수 있습니다.
나빠져버린 신체는
회복이 힘든 부위도 있습니다.
특히 치아와 잇몸은 재생되지 않기에
더더욱 조심해줘야 되는 것이죠.
그렇지 않으면 20대 또한 임플란트 수술을
하게 될 수 있습니다.
그러니 평소에 자기관리를 잘하는 것은 물론이며
영양 섭취 및 수면, 휴식을 충분히 취하며
청결한 구강 상태를 만들어나가실 것을 추천 드립니다.
언제든 이와 관련된 상담이 필요하실땐
잠실 더서울 치과 에 연락 바랍니다.
오늘도 긴 글을 읽어주셔서 감사합니다.
쌍둥이 박현성 원장이었습니다.



치료 기간 : 2021.06.26 ~ 2021.12.18




