위례 치과 앞니 부러짐 및 심한 충치로 임플란트 수술을 받으셔야 되었던 증례

반갑습니다.
위례 더서울 치과
쌍둥이 박현성 원장입니다.
치아에 문제가 생겨버리면,
어떻게 해야 될까요?
네, 곧바로 병원을 찾아가서
치료를 받으셔야 됩니다.
안 그럼 원래 있던 이마저 잃을 수 있고,
다른 치아까지 잃을 수 있다는 점 때문인데요.
오늘 보여드릴 사례는
앞니 부러짐 및 심한 충치로 인한
임플란트 수술을 했던 사례를 보여드리려 합니다.
아래 대화는 환자분과 나눴던 얘기로
일부를 발췌하여 작성되었습니다.
“안녕하세요 🙂
어떻게 저희 위례 더서울 치과 를
찾아오시게 되었나요?”
“여기 왼쪽 앞니 부러짐 때문에 찾아왔어요.
뭔가 심하게 깨져서 그런가 통증도 크고
시린 느낌도 좀 드네요.
혹시 이거 살릴 수는 없겠죠??..”
“아.. 이것은 살리기 어렵네요.
아예 꺠져서 치수까지 드러난 상황이죠.
발치를 하고 임플란트를 심어서
훗날 나빠질 수 있는 상황을
얼른 예방하는 것이 더 좋겠네요.”
“혹시 오래 걸릴까요?
뭐랄까.. 수술을 해야 된다는데 좀 무섭네요.
이런 경우는 처음이라 그런지 잘 모르겠지만요..”
“괜찮습니다.
그렇게 오래 걸리진 않습니다.
컴퓨터 분석을 통해서
치료 계획만 잘 짜두면 금방 끝납니다. ^^”
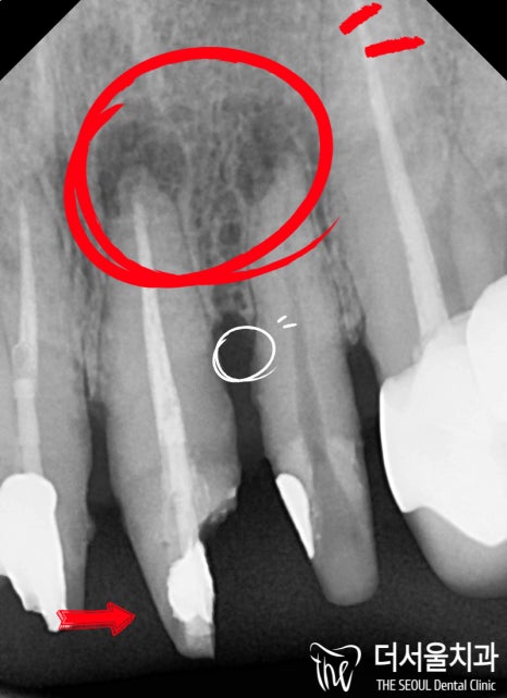
문제는 앞니 부러짐 만이 아니었습니다.
파노라마(X-Ray) 촬영 결과,
뿌리 깊숙히 세균이 침투하여
썩게 만들었는데요.
단순히 치아 신경치료로 해결될 것이
아닌 사례였었습니다.


곳곳에 깨진 것도 있었으며,
뿌리 끝에는 염증까지 나타날 정도로
이가 썩었었기에
얼른 문제를 해결해드려야 되었습니다.
그런데 이미 치아를 살릴 수 없을 정도로
진행된 상황이었기에
이곳들 또한 마찬가지로
임플란트 수술을 감행해야 되는 것을
위례 치과 의료진이 환자분께
설명드리며 동의를 구했습니다.


동의를 구한 그 즉시,
컴퓨터 분석을 이용하여
계획 수립에 들어갔습니다.
#22 앞니 부러짐 쪽을 확인 결과,
발치 즉시 GBR(골유도재생술)을
시행해줘야 되었습니다.
게다가 전치부 절단면 구멍 (incisal hole) 형성이 있었으며,
Undercut 때문에 더욱 꼼꼼히 심어드려야 되었죠.
이 글을 읽고 있으신 분들께
좀 복잡하게 여겨질 수 있으나,
많은 사례를 겪어온 위례 치과 의료진은
크게 힘든 케이스는 아니었습니다.

# 22를 발치 후 픽스처를 심었고,
뼈와 고정될 수 있도록
골유착 기간을 가졌습니다.
오랜 기간이 걸리더라도
뼈와 골유착이 잘 이뤄지지 않으면,
쉽게 떨어져 재수술을 받아야 될 수 있습니다.
그래서 되도록 위례 치과 에서는
환자분들께 설명드리는게
자극은 피하는 것이 좋으며,
충분한 휴식을 통해 뼈와 잘 붙기를 기다립니다.

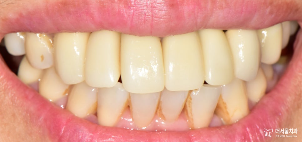
그렇게 컴퓨터 분석을 이용한
계획 수립으로 앞니 부러짐은
임플란트 보철 식립으로 잘 해결되었습니다.
거의 티가 나지 않게끔
크라운 제작 및 세팅에 힘을 썼습니다.
환자분 또한 깔끔하며
좋은 결과를 얻게 되어 너무 좋다고,
꼼꼼히 잘해주셔서 감사하다고 말씀하셨습니다.
위례 치과 의료진은 매번 느끼는 것이
이렇게 저에게 말씀해주신 덕분에
보람찬 느낌을 많이 받으며,
한 분이라도 더 깔끔히 잘해드려야겠다는
다짐을 하게 되는 것을 느낍니다.
이때, 임플란트를 잘 심어드리는 것으로
끝나는 것이 아닙니다.
언제든 다시 찾아오셨을때,
구강 관리를 더 꼼꼼히 해드려야 되는 것과
어떻게 케어를 더 잘할 수 있는지
이와 관련되어 자세히 설명을 드립니다.
그 이후는 개인이 스스로
어떻게 하느냐에 따라 달라질 수 있는 것입니다.
제가 집까지 찾아가서
청결히 구강케어가 이뤄질 수 있도록
할 수 있지는 않습니다.
그러니 치아를 한 번 잃어버린 것을
자각하셔서 철저히 관리하실 수 있기를 바랍니다.
오늘도 긴 글을 읽어주셨던 여러분들께
항상 감사의 말씀을 드립니다.
이상, 글쓴이 박현성 원장이었습니다.



치료 기간 : 2021.10.16 ~ 2022.04.28




