판교 치과 컴퓨터 분석 디지털 임플란트 네비게이션 처럼 계획 수립 및 식립

반갑습니다.

판교 더서울 치과

쌍둥이 박현성 원장입니다.

우리가 차를 타고 이동할때,

어떤 것을 많이 쓰죠?

그렇습니다.

네비게이션 이라는 것이죠?

출발지를 설정해놓은 뒤,

도착지를 설정해놓았을때,

어떻게 가야되는지 길을 알려줍니다.

그리고 실시간 변하는 상황에 맞춰

알려주는 길이 변할 수 있구요.

참으로 편리하지 않을 수 없습니다.

옛날에는 지도를 보며 찾아갔으며,

길을 외워서 가야 되었기에

운전하는 것 자체가 힘든 것이었죠.

물론 지금 또한 차량 사고를 조심해야 되기에

정신을 바짝 차릴 수밖에 없으니

이후에 피곤이 스르륵 몰려올 수 있습니다.

오늘 판교 더서울 치과 에서 보여드릴 사례는

네비게이션 처럼 임플란트 식립 계획을

디지털 시대에 맞게 컴퓨터 분석 으로

수립 및 식립 과정을 보여드리려 합니다.

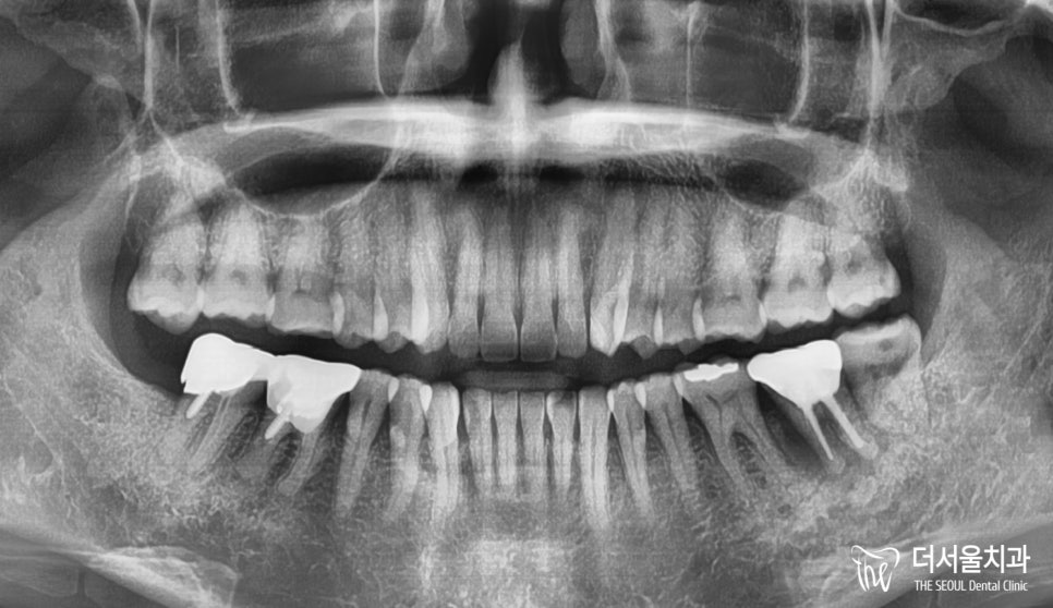
『초진』

첫 내원때 찍은 X-Ray인데,

여러분들께서는 어떤 곳이 문제가 있는지

찾을 수 있으실까요?

조금만 자세히 살펴봤을때,

그 답을 찾을 수 있습니다.

혹시 찾으셨을까요?

그럼 답을 한 번 확인을 해보겠습니다.

정답은 37번 어금니였습니다.

잇몸 부근을 보셨을때,

시커멓게 변해있는 것을 볼 수 있죠?

이미 염증이 진행된 것으로

다른 치아에 영향을 끼치려 하기 전에

발치 후 염증을 제거해줘야 되었습니다.

그런데 이미 옆에 있는 36번 어금니는

부러져있는 상태였습니다.

아예 되살릴 수 없을 정도였기에

발치 후 즉시 픽스처를 심어드렸는데요.

이는 염증이 없었기 때문

판교 치과 에서

즉시 심을 수 있었던 것이였습니다.

전체 구강을 보면 이런 상태인데,

그냥 보면 확인이 어렵죠?

명확히 나타나면 좋을텐데,

그렇지 않은 케이스도 있어서

파노라마와 함께 체크해볼 수밖에 없습니다.

『과정

판교 치과』

그럼 매번 더서울에서 잘하는

디지털 컴퓨터 분석 임플란트 식립 과정 및

어떻게 진행되는지 보여드려야 겠죠?

언제나 그랬듯이

디지털 컴퓨터 분석 프로그램을 이용하여

해당 위치에 임플란트를 심기 전에

뼈 두께나 깊이는 얼마나 될지,

혹시 아래 신경관과의 거리는 얼마나 될지

위치 및 각은 어떻게 하면 좋을지를

하나씩 따져봐서 좋은 결과를 만들어 드릴 수 있습니다.

그래서 네비게이션 같다는 말씀을 드린 것이죠.

차를 타서 도착지에 이동할때,

길을 알려주듯이

해당 프로그램 또한 마찬가지로

조금 더 세밀히 살펴볼 수 있게끔 도와줍니다.

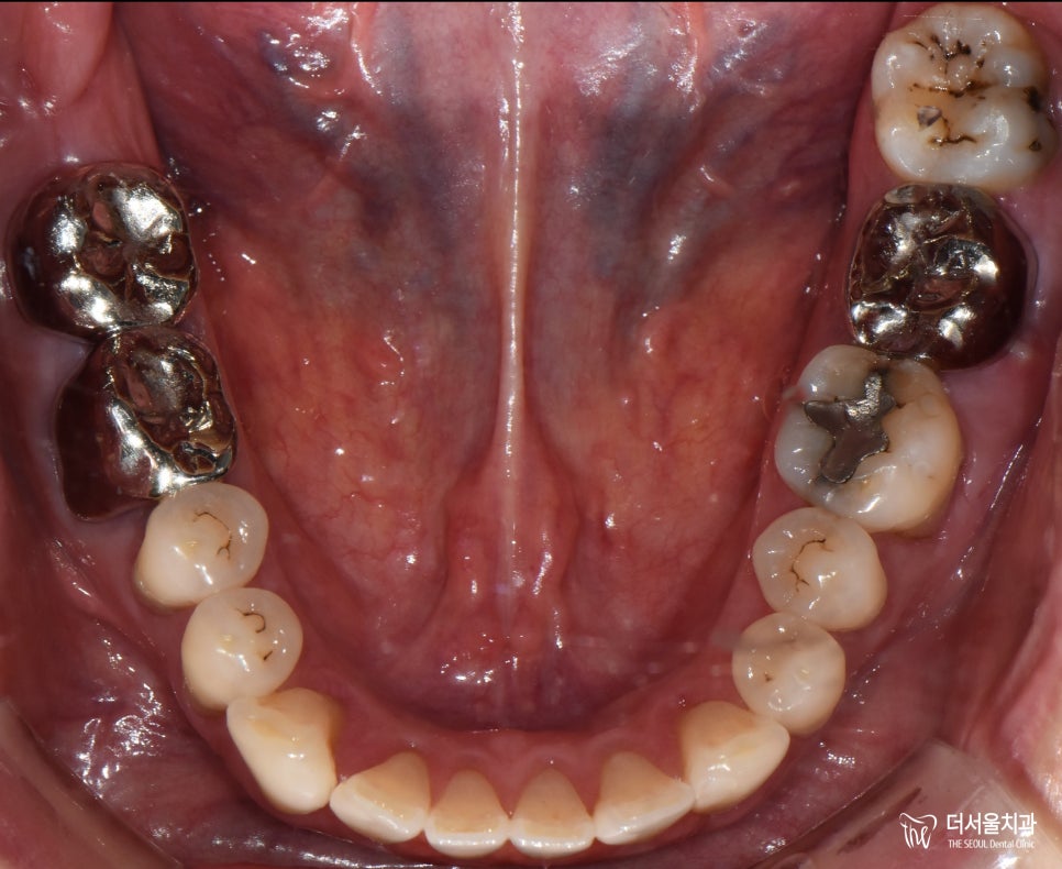
『결과

판교 치과』

디지털 컴퓨터 분석 프로그램을 통하여

내려진 진단 및 계획 수립으로

픽스처, 지대주, 크라운

순서에 맞춰 과정을 따라가

임플란트 식립을 끝마쳤습니다.

환자분 역시 잘 심어졌다며

꼼꼼히 잘해주셔서 감사드린다는

말씀을 하셨으며, 이후 정기검진

꼭 빼먹지 않고 잘 오겠다며

저에게 약속하셨습니다.

예전부터 거듭 말씀드렸던 것인데,

정기검진은 잊지 말고

꾸준히 받으러 오셔야 된다는 사실.

초기에 문제를 처치할 수 있다면,

더 큰 상황으로 이어질 수 있는 것을

미리 적합한 대응을 할 수 있습니다.

그러니 꼭 제가 알려드렸던 주기에 맞춰서

내원을 하셨으면 합니다.


끝으로 저는 여러분들께 드리고 싶은 말은

네비게이션 처럼 길을 알려주는

디지털 컴퓨터 분석 임플란트 프로그램으로

잘 심는 것도 물론 중요합니다.

그런데 이것이 없을때도 잘 심어야 됩니다.

그만큼 기본을 잘 갖추고 있어야

이것을 이용했을때 더욱 빛을 발할 수 있습니다.

흔히 달인이 옛날부터 기본을 다지고

반복되는 일을 계속 함으로써

그 일에 전문성을 가져 이름을 떨치듯이

진료 또한 마찬가집니다.

의료진들이 우선 기본으로 할 수 있는 것을

꼼꼼히 해결하며 점차 실력을 쌓아나가야

더 힘든 수술을 이런 좋은 것들이 있을때,

더욱 활용을 잘하게 되어 결과가 좋을 수 있습니다.

판교 치과 의료진들은

기초부터 차근차근 쌓아왔기에

좀 더 힘든 케이스가 왔을때,

이것을 이용함으로써

환자분께 흡족할 수 있을만한 결실을

안겨드릴 수 있습니다.

이와 관련된 내용으로 상담을 원하실때는

언제든 연락 바랍니다.

감사합니다.

더서울 쌍둥이 박현성 원장이었습니다.

치료 기간 : 2021.11.11 ~ 2022.05.24

답글 남기기

Your email address will not be published. Required fields are marked *.

*
*
You may use these <abbr title="HyperText Markup Language">HTML</abbr> tags and attributes: <a href="" title=""> <abbr title=""> <acronym title=""> <b> <blockquote cite=""> <cite> <code> <del datetime=""> <em> <i> <q cite=""> <s> <strike> <strong>

Copyright © 2025 더서울치과. All Right Reserved.
BACK TO TOP