판교역 치과 치아 쓰러짐 및 상실 임플란트 아들 추천 받아 오게된 케이스

반갑습니다.
판교역 더서울 치과
쌍둥이 박현성 원장입니다.
오늘 보여드릴 임플란트 케이스는
조금 특이했다고 말씀드릴 수 있는데요.
환자분께서는 초등학교를 다니는
멋지고 귀여운 아들이 있는데요.
예전에 아들이 충치치료를 받으러 왔었는데,
그때 크게 울지도 않으며
차분히 진료를 잘 받아서
기억에 남았던 아이였는데요.
그런 아들에게 추천을 받게 되어
임플란트 상담을 받으러 오셨습니다.
저도 그 얘기를 들었을때는
적잖이 놀랬습니다.
‘아이들도 추천을 하는 곳이구나…
더 열심히 해야겠다.’
라는 마음을 먹으며,
해당 환자분 또한 꼼꼼하게 해드렸습니다.
『초진
판교역 치과 추천』

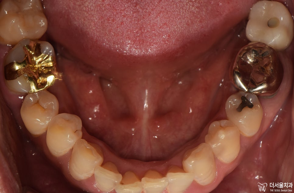
먼저 문제를 호소하는 곳을
파노라마 촬영으로 확인했습니다.
# 46, 47 뿌리 쪽으로
잇몸 염증이 발생했습니다.
골소실이 나타난 것도 볼 수 있었고,
# 46 치아는 조금 쓰러짐이 발생한 것을
확인할 수 있었습니다.

겉으로 봤을때는 멀쩡한 것처럼 보여지죠.
그런데 속은 전혀 그렇지 않았다는 사실.
결국 판교역 치과 의료진이 내린 진단은
발거 후 임플란트 식립이었습니다.
잇몸 염증 및 골소실이 진행되고 있었기에
달리 치료로 해결할 방법이 없었습니다.
환자분께 동의를 구한 뒤,
계획을 수립하여 수술에 들어갔습니다.
『진행 과정
판교역 치과 추천』

먼저 문제가 되는 치아를 발치 후,
속에 있는 염증을 제거하며
회복되기를 기다렸습니다.
그 기간에 가만히 손을 놓고 있을 순 없겠죠?
위에 # 14, 15번 자리에
픽스처와 지대주를 세팅했습니다.
골유착이 이뤄지기를 기다릴때,
크라운 제작에 들어갔구요.



그 다음은 오른쪽 아래 어금니
임플란트 식립 계획을
컴퓨터 분석 프로그램으로
수립 과정을 거쳤습니다.
신경관과 거리는 가깝지 않은지,
뼈 두께나 깊이는 얼마나 되며
어떤 직경의 픽스처를 심어드리면 되는지,
그 외에 조심해야될 사항은 없을지
꼼꼼히 체크한 뒤에 수술을 진행했습니다.
그렇게 힘든 케이스는 아니었기에
어렵지 않게 해결할 수 있었습니다.
『결과
판교역 치과 추천』

깔끔하게 임플란트 수술을 잘 끝냈으며,
환자분 또한 잘 심어주셨다며
결과에 흡족해하셨습니다.
아들에게 추천 받아서 왔었는데,
이렇게 잘 될줄은 몰랐다며
참으로 웃기면서 신기하다고 말씀하셨습니다.
저 또한 마찬가지로 아들이 있는 아버지로서
이런 일은 처음이라 당황스럽긴 하네요. ^^
치아 쓰러짐 및 잇몸 염증 사례
발거 후 임플란트 수술로 잘 끝마쳤습니다.
조금 더 일찍 오셨으면,
어땠을까 하는 아쉬움이 있습니다.
구강 질환은 일찍 오셨을때,
치아를 살릴 수 있는 가능성이
더욱 높기 때문이죠.
그건 모든 신체에 적용되는 사항이라 생각합니다.
아마 여느 치과 의료진을 만나든
정기검진만큼은 꼭 주기로 받으셔야 된다고
그렇게 당부 말씀을 드릴 겁니다.
그러니 잊지 말고 때에 맞춰서
꼭 검진 받으시길 바랍니다.
판교역 더서울 쌍둥이
박현성 원장이었습니다.
감사합니다.



치료 기간 : 2021.08.28 ~ 2022.01.29



