잠실 치과 추천 임플란트 골소실 원인 치주염 및 치아 흔들림 뼈이식 증례

반갑습니다.
잠실 더서울 치과
박현성 원장입니다.
예전에 내원을 하셨던 환자 중에
따님분께 추천을 받아 오게 되었으며,
임플란트 수술을 받았던 사례가 생각납니다.
대체로 소개로 오게 되면,
가족들에게 많이 받아 오시는데요.
여기서 치료를 받고
그분들 또한 만족하게 되어
다른 분들께 추천을 드리곤 합니다.
그래서 여러 지역에 소문난 것이 아닐까
그런 생각이 드네요. ^^
그럴수록 더욱 열심히 해야겠죠?
오늘 포스팅도 힘차게 시작해보겠습니다.
『초진
잠실 치과 추천』
우선 어떤 계기로 찾아오시게 되었는지
그 이유를 여쭤보았습니다.
‘치아가 많이 흔들려서
이거 떨어지는 것이 아닐까’,
‘혹시 임플란트 심어야 되는 것이라면
진짜 잘하는곳에 가서
아무런 걱정없이 받고 싶다’
이런 말씀을 해주셨습니다.

육안으로 살펴보았을때는
‘어? 어디가 문제라는거지?’
이렇게 생각할 수 있습니다.
근데 보여지는 것이 다가 아닙니다.
그 속에는 말 못할 상황이
벌어지고 있을 수 있습니다.
여러분들도 속에 담아두는 말이 있을 것이며,
그것을 말하지 못하면
속이 썩어들어 가는듯한
그런 느낌을 받으셨던 적이 있을 겁니다.
그렇기에 정확한 진단을 통해
어떤 상태인지 파악할 수 있도록
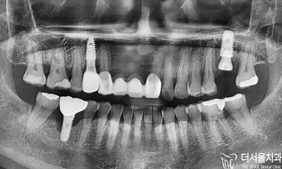
잠실 치과 에서 파노라마(X-Ray) 촬영을 진행했는데요.


# 14, # 26 소구치 및 대구치에
치주염으로 인한 골소실이
나타난 것을 볼 수 있었습니다.
시커멓게 변해버린 곳이
이미 염증이 나타났었으며,
골소실이 일어난 것이죠.
그런데 그 정도는 이가 흔들릴 정도로
심했기에 이를 뽑을 수밖에 없었으며,
발치 후 임플란트 식립을 받으셔야 되었습니다.
차분히 잠실 치과 의료진이 꼼꼼히 설명드리며,
이런 이유로 이를 뽑아내는 것이 좋고
그 위에 보철 식립을 하셔야 된다
차근차근 설명을 드렸습니다.
이에 환자분 또한 동의를 하셨으며,
무섭긴하나 꼼꼼히 잘 부탁드린다는
말씀을 전달받았습니다.


더서울에서 잘하는
컴퓨터 분석를 이용한 임플란트 식립.
오늘도 어김없이 보여드리게 되었네요. ^^
픽스처를 심기 전에
현재 구강 상태에서는
이런 식으로 진행하면 좋다라는,
시뮬레이션을 돌린 뒤에
그에 맞게 수술 계획을 수립하여
차근차근 진료를 해나갑니다.
대체로 잘못되는 경우는 없었으며,
수술이 끝나면 환자분 또한 흡족해하셨습니다.
다들 골소실이 어느 정도 있었기에
뼈이식을 해줄 수밖에 없었는데요.
안 그럼 픽스처가 제대로 고정되지 않으며,

잠실 치과 는 먼저 # 14 임플란트 식립 후,
# 26이 회복되고 뼈이식을 통해 잘 굳어졌을때,
픽스처를 심어드렸습니다.
아무래도 골소실이 심했던 # 26은
3D CT를 통해 더욱 정밀히 계획을 수립하여
진행되었는데요.
얼마나 뼈가 남아있는지,
뼈이식 재료는 얼마나 넣으면 되는지 등
여러 가지를 체크하여 진전이 이뤄지면,
좋은 결과를 가져오게 될 가능성이 높습니다.
『결과
잠실 치과 추천』


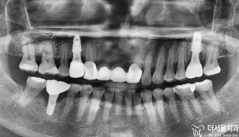
파노라마와 육안으로 보여지듯
보철 수술은 무사히 잘 끝났습니다.
치아 흔들림이 없어지게 되자,
환자분께서 정말 좋아하셨으며
딸이 추천을 해줘서 너무 고맙다며,
의사 선생님도 진짜 고생많으셨다며
이런 저런 감사의 말씀을 전해주셨습니다.
저야 이렇게 밝고 명량하게
반응을 해주신다면,
보람차고 힘이 나서
다음 진료에도 더욱 힘을 쏟게 된답니다. ^^
모쪼록 잘 끝나서 다행이네요.
치아 흔들림 또는 보철 흔들림이 나타났다면,
얼른 내원을 하셔서
검사를 통해 확인 후,
진단에 따른 치료를 받는 것이 좋습니다.
늦으면 늦을수록 대처하기 어렵고,
더 많은 비용, 더 많은 시간을 들이게 될 수 있습니다.
그런 것을 원치 않으실테니
꼭 숙지를 하셔서 건강히 구강을 지켜내가셨으면 합니다.
그외에 더 궁금하거나 상담을 원하신다면,
잠실 더서울 치과 에 연락 바랍니다.
감사합니다.
더서울 쌍둥이 박현성 원장이었습니다.



치료 기간 : 2021.07.17 ~ 2022.02.11





