판교 더서울 치과 어금니 임플란트 상악동 뼈이식 까지 함께 받아 해결해드린 사례

반갑습니다.
판교 더서울 치과
쌍둥이 박현성 원장입니다.
구강 내 치아와 잇몸 관리는
꼼꼼히 잘하고 있으시죠?
한 번 상실하면 다시는 되돌릴 수 없는 곳으로
열심히 꼼꼼하게 잘 케어해줘야 됩니다.
잃어버린 이는 틀니, 브릿지, 임플란트 보철로
대체할 수 있습니다만,
원래 내가 가지고 있는 것만큼
좋은 성능을 띄고 있지는 않죠.
어떤 의료진이든 웬만하면
원래 본인의 것을 계속 가져가는게 좋다고
그렇게 알려드리고 있을 겁니다.
그런데 예기치 못한 상황을 겪어
이를 잃게 되었고,
임플란트 수술을 받게 될 수 있죠.
그럴땐 조금이라도 더 빨리 치료를 받아
이후에 겪을 수 있는 부작용을 피해야 되는데요.
오늘 상악동 뼈이식 까지 같이 받으셨던
환자 사례를 보여드리며 어떻게 진행되었는지
설명을 드리려 합니다.
『초진
판교 치과』
환자분께서 어떻게 오셨는지
여쭤보았는데요.
“안녕하세요. ^^
어떤 부위가 불편해서 찾아오시게 되었을까요?”
“네, 안녕하세요.
현재 양쪽 윗 어금니 2개가 없어요.
혹시 임플란트 심을 수 있는지
상담받으려고 왔습니다.
지인들이 여기가 잘한다 그래서
믿고 오게 되었어요.”
이런 주소로 찾아오셨는데요.
역시… 이번 사례도 마찬가지로
주변 지인분께 추천을 받아 오셨는데요.
이런 말을 듣게 되면 없던 힘도 샘솟고,
더욱 열심히 해야겠다 그렇게 마음을 먹어요.
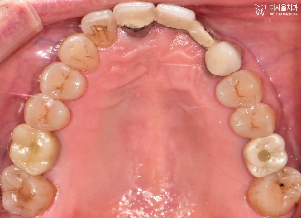
그럼 어떤 구강 속은 어떠한지
한 번 살펴볼까요?

아하.. 양 옆 # 16, 26 어금니 소실을 겪었는데,
16번은 잔존치근이 있네요.
결국 거멓게 썩어버렸지만요..
판교 치과 는 이를 제거해버리고,
양 옆으로 임플란트를 심어드리는 계획을 수립했습니다.
근데 잇몸 속은 어떠한지
정확히 파악해야 되는데요.
왜 그렇냐면 골소실이 일어났을
가능성이 높기 때문이죠.
골소실이 일어났다면,
상악동 뼈이식을 받을 수밖에 없습니다.

그런데 정말 뼈가 사라지긴 했네요.
결국 뼈이식을 받을 수밖에 없습니다.
상악동이라는 얇은 막을 들어올리는
거상술을 진행한 뒤에,
그때 생겨난 공간으로 뼈 재료를 옮겨 심어
튼튼히 기반을 다져주는 것인데요.
이런 과정을 거쳐야 픽스처를 심을 수 있고,
흔들림없이 튼튼하게 고정될 수 있습니다.
그렇기에 판교 치과 에서는
해당 방법을 시행하는데 있어
컴퓨터 분석 방법을 이용했습니다.



컴퓨터 분석을 이용하여 확인한 결과,
뼈이식을 어떻게 하면 좋은지
계획을 꼼꼼히 수립 후,
그에 걸맞게 시행했습니다.
우선 이미 빠져있는 # 26에
뼈를 옮겨 심었으며,
픽스처와 지대주, 크라운 세팅으로
먼저 수술을 끝마쳤습니다.
다음은 # 16 뼈이식 및 픽스처 식립으로
많은 골소실이 있었던 곳이라
골유착에 있어 더 오랜 기간 걸릴 수밖에 없었습니다.
그 후, 튼튼히 결합이 이뤄진 뒤에
크라운을 세팅하여 수술은 잘 끝마쳤습니다.
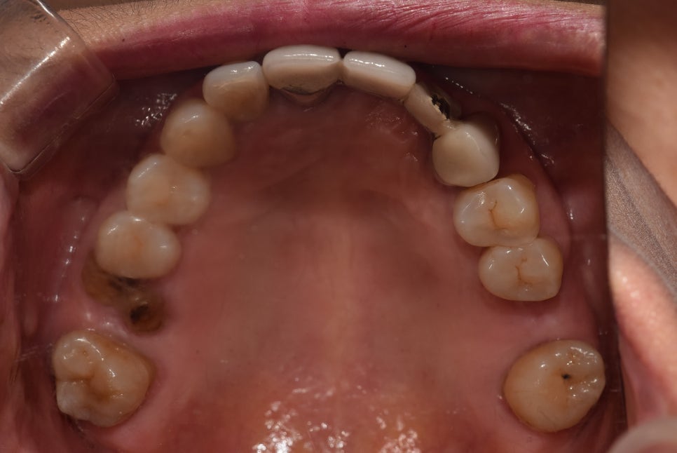
『결과
판교 치과』

양쪽 임플란트 식립은
크게 티가 나지 않게 잘 해결되었죠?
환자분 또한 없던 어금니가 생겨서
잘 맞물리는게 너무 좋다고 그러셨는데요.
아마 집에 가셔서 밥을 먹으면
더욱 좋아하지 않으실까 싶네요. ^^
아직은 뼈와 골결합이 충분히 이뤄질 수 있도록
기다려야 되니 음식을 아무거나 먹기는 어렵죠.
그래도 차근차근 나아짐에 따라
먹는 것이 많아졌을때
충분히 좋아하실 겁니다. ^^
오늘 보여드린 임플란트 수술 및
거상술, 뼈이식 사례는 잘 읽어보셨을까요?
혹여 이와 비슷한 케이스거나
어렵다고 반려된 사례 역시
판교 더서울 치과 에서는
꼼꼼하게 잘 해드리고 있으니
언제든 연락을 주신 뒤에 찾아오셔서
상담 받으셨으면 합니다.
감사합니다.
박현성 원장이었습니다.



치료 기간 : 2022.02.19 ~ 2022.10.22




