태평동 치과 치주염 및 골소실 치아 흔들림 2년간에 걸쳐 임플란트 하셨던 케이스 1편

반갑습니다.
태평동 더서울 치과
박현성 원장입니다.
다들 구강 질환에 있어
충치는 흔히 겪는 것이라
신경을 많이 쓰고 있습니다.
그런데 치주 질환은 잘 겪지 않을 뿐더러
그렇게 심각하게 여기고 있지 않아
후에 큰 문제가 되고 나서야
찾아오는 경우가 많습니다.
정말 심하면 잇몸뼈 소실이
일어날 수 있고, 그 영향으로
치아 흔들림 및 발치를 해야 될 수 있습니다.
오늘은 이와 관련되어 치주염으로
2년간 임플란트 식립을 받으러 오셨던
환자분 케이스를 2편에 나눠서
설명을 드리려 합니다.
『첫 내원
태평동 치과』
“안녕하세요.
어? 근데 저희 병원에 2년 전에 오셨는데,
이제야 찾아오셨네요.
그때 빨리 치료를 받았어야 되었는데,
지금 어떠실까요?”
“선생님, 안녕하세요.
예전에 2020년도에 제가 오긴 했었는데,
그때 코로나가 갑자기 크게 발병하고 나서
선뜻 어딜 나가지를 못하겠고,
병원을 가게 되면 감염될까봐 못 왔어요.
이제는 조금 괜찮아진 것 같아서 오긴 했는데,
그때 빨리 치료 받아야 되었던 것을
이제야 받게 되어서 좀 아쉽네요..
현재 여기 치아가 흔들림이 있고
깨진 곳도 있어서
이것을 해결하고 싶어서 왔어요.”
“그렇군요.
우선은 현재 상태가 어떤지
파악을 하고 나서
그에 따라 치료를 진행할 겁니다.
지금 검진을 시작해볼까요?”
이러한 주소로
태평동 더서울 치과 를 찾아오셨습니다.
예전에 2020년도에 오셨으나,
코로나 발병이 터진 이후로
병원에 오시는 것조차 어렵게 되었죠.
그땐 정말 감염될까봐
어디 나서는 것 자체가
두려울 정도였죠.
환자분 마음 또한 이해가 됩니다.
이미 지난 시간은 어쩔 수 없고,
현재 구강 내를 파악하여
신속히 진단을 내리고
그에 맞는 치료를 해드려야죠.


구강 내 상황을 그리 좋지 않았습니다.
먼저 윗니를 살펴보면,
어금니 쪽 떼워놓은 부분이
떨어져있을 뿐만이 아닌
잇몸도 벌겋게 부어있고,
속에 있는 치근이 보여질 정도로
드러난 것을 확인할 수 있습니다.
아랫니 또한 그리 좋지만은 않았습니다.
비어있는 곳은 치조골 소실이 일어나있으며,
왼쪽에 남아있는 어금니는 예측컨데
염증이 있는 것처럼
이가 흔들리고 좋지 않았기 때문이죠.
더 정확한 진단을 내릴 수 있도록
태평동 치과 에서는
파노라마(X-Ray) 촬영에 들어갔습니다.



예측했던 것보다
더 상황은 좋지 않았습니다.
우선 10번대를 살펴보면 치근단 염증으로
뿌리 끝에 거멓게 변해있는 것을
볼 수 있으실텐데요.
이미 골소실이 많이 일어났고,
그 영향으로 이가 흔들릴 수밖에 없었습니다.
20번대 또한 마찬가지로
심하게 뼈를 잃게 되었으며,
그 영향으로 치아 흔들림이
나타날 수밖에 없었습니다.
30번대 어금니 또한 마찬가지,
뿌리 끝에 염증이 심하여
뼈가 사라져 치아 흔들림이
나타날 수밖에 없었습니다.
구강 내 전체적으로 문제가 심각하여
태평동 치과 는 얼른 치료를 받으셔야 됨과
여러개 이를 발치 후 임플란트 수술을
받으셔야 된다고 말씀드렸습니다.
환자분 또한 이런 상황을 크게 인지를 하셨으며,
꼼꼼히 잘 부탁드린다는 말씀을 하셨습니다.

우선 문제가 되는 이들을 발치 후,
속에 남아있는 염증을 제거하여
깨끗하게 소독을 진행했습니다.
회복이 되기를 기다리면서
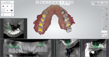
태평동 치과 에서는
컴퓨터 분석을 이용하여
임플란트 식립을 어떻게 하면 좋을지
계획을 꼼꼼히 수립해나갔습니다.







곳곳마다 현재 가지고 있는 뼈의 양,
어떤 재료로 심어줘야 되는지,
골이식을 얼마만큼 해야 되는지,
미끌림은 없을지,
추가로 진행해야될 다른 진료는 없는지
꼼꼼히 확인 후 계획을 수립하였습니다.
첫 단추를 잘 꿰어야 된다는 말이 있듯이
치료를 함에 있어 좋은 결과가 있으려면,
꼼꼼히 정밀검사를 시행 후,
그에 맞게끔 계획을 짜놓는게 중요하죠.
이 점을 매번 숙지를 하고 있기에
태평동 치과 는 허투루 하지 않습니다.
우선은 치료 과정까지 포함하면
더 글이 길어질 것으로
이쯤에서 줄인 뒤에
2편에서 과정을 보여드리려 합니다.
오늘도 긴 글을 읽어주셔서 감사합니다.
태평동 더서울 치과
박현성 원장이었습니다.



치료 기간 : 2020.01.10 ~ 2022.03.12




