문정동치과 이가 흔들려요 앞니 어금니 임플란트 뼈이식 받아 해결한 증례

반갑습니다.
더서울 문정동치과
박현성 원장입니다.
아래 이가 흔들려요 라는 증세로
내원을 하셨던 환자가 있습니다.
검사 결과,
생각했던 것보다 많이 흔들려서
이를 발치 후 임플란트 수술을
받으셔야 되는 상황이었습니다.
손가락으로 조금만 힘을 주면
툭, 하고 떨어질 정도로
고정이 되지 않았었기에
해당 사항을 환자분께
차분히 말씀드린 후,
이런 진료를 받으셔야 된다
말씀 드리며 동의를 구했습니다.

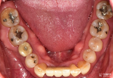
내원 당시 구강 속을 살펴보면
잇몸이 붓고 내려가 있으며
떨어져버린 어금니가 있고,
여기저기 많이 닳아있으며
아예 상아질이 드러난 것을
문정동치과 에서 체크할 수 있었는데요.
손봐야 될 곳이 1~2군데가
아니었기에 재빨리 계획을 수립 후,
치료를 해드리는게 중요했습니다.
계속 방치해버릴 경우,
상황만 더욱 악화되기 때문이죠.
우선은 아래 이가 흔들려요 라는
문제의 부분을 먼저 해결해드리려
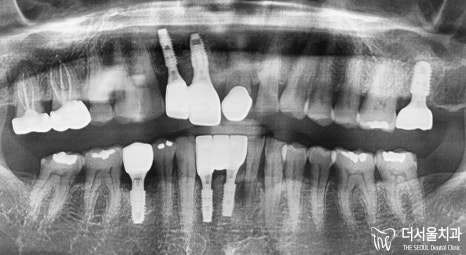
발치 후 임플란트를 해드립니다.



물론 수술에 들어가기 앞서
문정동치과 의료진이
매번 이용하는 컴퓨터 분석 프로그램.
치조골 두께를 확인해서
얼마나 더 깊고
튼튼하게 고정시켜줄 수 있을지
길이까지 파악하여
적합한 픽스처를 선택 후,
뼈에 심는 과정을
시뮬레이션으로 돌려봅니다.
뼈이식을 해야 된다든지
신경관과 가깝지는 않은지
조심해야될 사항은 크게 없었기에
어렵지 않게 잘 심어드릴 수 있었습니다.
물론 환자분 역시 결과에 만족하셨으며,
위 앞니와 어금니 역시
임플란트 수술을 진행하겠다는
의견을 내주셨습니다.



그런데 앞니는 조금 상황이 달랐습니다.
육안으로 봤을때도
붓고 염증이 있었기에
뼈 두께나 깊이를 확인하여
미끄러지지 않는게 중요했으며,
GBR(골유도재생술)을 이용하여
모자란 뼈를 재생시켜
임플란트 식립이 더욱 잘 되게끔
기반을 튼튼히 다져드려야 되었습니다.
#27은 상악동과의 거리가
가까웠기 때문에
거상술을 통하여
뼈이식을 해드려 기반을 만들어야 되었습니다.
많은 것들을 해결해야 되었기에
문정동치과 의료진은
계획 수립에 있어 더욱 꼼꼼히
살펴볼 수밖에 없었습니다.
이렇게 꼼꼼히 살펴보고
계획을 수립해야 튼튼히 심어지는
좋은 결과를 이룰 수 있습니다.




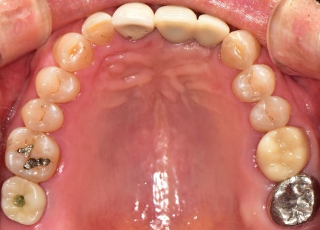
문정동치과 에서
잇몸치료를 병행하며,
임플란트 뼈이식으로
앞니, 어금니 보철 식립을
해드린 결과입니다.
치열이 좀 비뚤어져 있는 것은
아쉽긴 합니다만,
처음 상태와 비교해봤을때,
많이 개선된 것을 확인할 수 있었습니다.
환자분 역시 처음 오셨을때와 달리
몇 년은 더 젊어보인다며,
자신감도 오르고
좋은 결과에 만족하신다며
칭찬을 해주셨습니다.
추후에 다시 정기검진 받으러 오실때까지
청결히 관리를 잘해야 오래 쓰실 수 있다며
당부 말씀을 드린 후,
어떻게 관리할 수 있는지
케어법을 차근차근 설명드렸습니다.
앞니든 어금니든 이가 흔들려요라는
증세가 나타나면,
서둘러서 찾아오시길 바랍니다.
어떤 원인이냐에 따라
다른 이들에 큰 악영향을 끼칠 수 있으며,
심하면 다른 이들까지 발치 후 임플란트를
하게 되는 큰 수술로 이어질 수 있습니다.
무엇이든 초기에 빨리 대처를 취하는 것이
돈이든 시간이든 아낄 수 있는 방법이며,
본인이 짊어질 부담 역시 덜어낼 수 있습니다.
언제든 구강 관련된 상담을 원하신다면,
더서울 문정동치과 에 연락을 주셔서
찾아오시길 바랍니다.
감사합니다.
쌍둥이 박현성 원장이었습니다.



치료 기간 : 2021.04.09 ~ 2022.01.22





