성남 수진역치과 뼈이식 임플란트 잘하는곳 당뇨 있어도 최소 절개로 가능!

안녕하십니까,
성남 수진역치과
더서울 쌍둥이 박현성 원장입니다.
나이가 점차 올라감에 따라
치료든 수술이든
신체에 많은 부담을 느끼게 되어
진료 받는 것조차 꺼릴 때가 많아집니다.
의료진들 또한 어르신들 건강이 염려되어
섣불리 수술을 진행할 수 있다라는
말을 꺼내는 것도 어렵구요.
진짜 난감한 상황이 올때는
다른 분들께 자문을 구하여
어떻게 하면 좋을지를 여쭤볼때도 있습니다.
더서울 의료진들 역시 마찬가지로
처음에는 힘든 케이스들을
마냥 하기 어려웠습니다.
그렇기에 저희보다 뛰어난 분들께
조금 더 배워서 현재에 이르게 되었는데요.
뭐 의료 기술 및 장비 또한
크게 발전했던 것도 한몫 하기에
지금은 힘든 사례들도 충분히 할 수 있게 되었죠.
오늘 보여드릴 사례 역시
당뇨 및 고혈압이 있으신 어르신으로
임플란트 수술을 받으셔야 되었는데,
막상 출혈에 대한 걱정이 있으셔서
섣불리 결정을 내리지 못하고 있으셨습니다.
어떻게 진행되었으며
어떤 식으로 해결해드렸는지
한 번 살펴볼까요?
처음 오셨을 때 상황은 이러했습니다.
우측 어금니 하나는 없고,
또 하나는 지금 완전히 썩어서
아프다고 말씀해주셨습니다.
# 16, 17은 완전히 상실했으며,
# 15 소구치는 아예 기능할 수 없을 정도로
이가 썩은 것을 확인할 수 있습니다.
성남 수진역치과 의료진이
발치 후 임플란트를 권장드릴 정도로
깊숙히 썩었기에 얼른 처치해야 되었습니다.
그런데 환자분께서는 연세도 있으셨고,
당뇨를 앓고 있으셨기 때문에
섣불리 수술을 진행하기란 힘든 상황이었죠.
왜냐하면 당뇨가 있으면,
지혈이 잘 되지 않기 때문에
많은 피를 흘리게 될 수 있습니다.
그래서 담당 의료진과 연락하여
임플란트를 진행해도 괜찮냐 여쭤봤더니,
그러셔도 된다는 답변을 받았습니다.
그래도 출혈 부분에 있어
조심해줘야 되기에
최소 절개를 통한 식립을 진행할 것이라
설명드렸으며, 컴퓨터 분석 프로그램을 통하여
위치 선정 및 최소 절개 수술 계획을 수립했습니다.
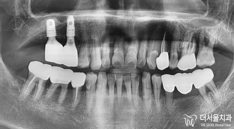
『파노라마(X-Ray) 확인』
잇몸뼈는 얼마나 남아있는지,
상악동과의 거리는 얼마나 되는지
꼼꼼히 확인해줘야 되었는데요.
아무래도 오랜 기간 방치되었는지
골소실이 많이 일어나있네요.
그래서 상악동과의 거리가
가깝다는 것을 확인할 수 있습니다.
결국 뼈이식 임플란트를 진행할 수밖에 없는데요.
그렇게 말씀을 드리니 걱정을 한가득 하셔서
성남 수진역치과 의료진이 걱정하지 않게끔
꼼꼼하게 잘해드리겠다며 다독여드렸습니다.
아무래도 어르신들께서 많이 다녀가시는
잘하는곳 이기에 저희는 자신이 있는 편이죠. ^^
이런 식으로 진행될 것이라는 계획을
차근히 설명드리며 동의를 구했습니다.


컴퓨터 분석 프로그램을 이용하여
각 위치에 따른 계획을 수립했는데요.
# 15는 뼈이식을 할 필요없었으나,
# 16은 상악동 막을 뚫기 때문에
꼭 뼈재료를 넣어 기반을 만들어드려야 되었습니다.
게다가 픽스처 끄트머리가
조금씩 튀어나오기 때문에
이를 가려드리려면,
뼈를 더욱 튼튼히 만들어줘야 되었죠.
이렇게 임플란트 뼈이식을 통하여
뼈재료가 심어진 것을 볼 수 있으며,
상악동 또한 위로 올라가있는 것을
확인할 수 있습니다.
최소 절개를 통하여 실행되었기에
부담이 덜 가게 되었습니다.
추후 지르코니아 크라운이 제작되었을때,
꼼꼼히 세팅해드리기로 하며
성남 수진역치과 에서는
그 전까지는 임시 보철을 세팅하여
일상 생활을 보내드리게끔 해드렸습니다.
『최종 결과』


이렇게 당뇨 환자분 임플란트 수술은
뼈이식까지 잘되며 마무리되었습니다.
아직은 뼈와 조금 더 결합이 이뤄져
튼튼한 고정이 이뤄져야 되기에
당분간 조심히 쓰셔야 된다는
유의 사항을 알려드렸습니다.
또, 알려드린 대로
주기에 맞춰 검진을 꼭 받으러 오실 것을
약속받으며 해당 치료를 끝마쳤습니다.
약속하신 날짜에 맞춰 검진을 오셨을떄,
어떠셨냐는 질문을 드렸는데요.
없던 치아가 생겼더니
밥 먹는게 너무 편해졌다며,
다시 새로운 삶을 살게 된 기분이라며
싱글벙글 호탕하게 웃으시며
답변을 해주셨습니다.
이런 환자분 반응에
저 역시 덩달아 흐뭇해지더군요.
혹시 당뇨 질환이 있어
임플란트 수술 또는 그외에 진료에
두려움을 느끼고 있는 분들께서는
성남 수진역치과 잘하는곳에 오셔서
상담 후 치료 받으시길 바랍니다.
언제나 환자분의 입장을 먼저 생각하여
더 나은 치료가 될 수 있도록
꼼꼼히 계획을 수립하고,
좋은 결과가 이뤄질 수 있도록
최선을 다하는 더서울 의료진이 되겠습니다.
감사합니다.
쌍둥이 박현성 원장이었습니다.



치료 기간 : 2021.05.08 ~ 2021.12.21







