야탑역치과 추천 어금니 치아 흔들림 발치 후 임플란트 수술 해드린 증례

안녕하십니까,
야탑역 치과 더서울 쌍둥이 박현성 원장입니다.
여러분은 어떤 문제가 생겼을때,
금방 조치를 취하는 편이실까요?
그대로 놔두게 되었다가
큰일을 겪게 될 수 있기에
재빨리 처치하는 것이 좋은데요.
구강 내 치아 역시 질환이 발생했을때,
오래도록 놔두게 되었다가
더욱 큰 문제로 커질 수 있습니다.
결국 흔들림 또는 탈락이 일어나
치아를 대신할 수 있는
임플란트 수술을 받게 되실텐데요.
이를 대체할 수 있다는 점은 좋으나,
되도록 본래의 것을 계속 사용하는 걸 추천 드립니다.
그것은 어느 의료진에게 여쭤보셔도
똑같은 대답이 나올텐데요.
만약, 다른 이들에 악영향을 끼쳐
빨리 없애는 것이 좋은 것이라면,
발치 후 임플란트를 심는게 맞습니다.
그럴만한 것이 아닐때는
되도록 살려서 쓰는 편이 좋죠.
오늘 보여드릴 증례는 어금니 흔들림으로
이를 발치해버린뒤, 보철을 심게 된 케이스를
소개해드리려 합니다.
『예전에 오셨던 분?』
환자분께서 문을 열고 들어오셨을때
어디서 많이 뵙던 얼굴이었는데,
예전에 당뇨가 있어서
저희에게 임플란트 수술을 받으러
오셨던 환자분이셨습니다.
꽤 오랜 시간이 흐른 뒤에
찾아오시게 되었는데요.
그냥 검진 차 들리신 줄 알았습니다.
그런데 그것이 아니었네요. ^^
왼쪽 어금니 흔들림이 심하게 나타나
야탑역치과 에 다시 내원을 하게 되셨는데요.
실제 구강을 살펴보면,
어금니 뿌리가
조금씩 보여질 정도로
잇몸이 내려가있는 것을
확인할 수 있습니다.
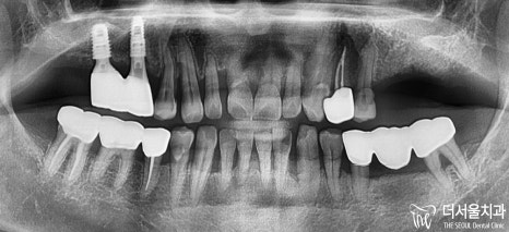
파노라마 엑스레이로 촬영했을때,
염증으로 인한 골소실이
일어나버린 것을 체크할 수 있었구요.
흔들림이 일어날 수밖에 없을 정도로
골소실이 일어난 것을 볼 수 있었습니다.
야탑역치과 의료진은
이대로 더 놔둘 수 없었기에
재빨리 제거 후 임플란트 수술을
진행해야 되었습니다.



우선 문제되는 어금니를 발치 후,
컴퓨터 분석 프로그램을 이용하여
픽스처 식립 계획을 수립하였습니다.
어떤 각으로 맞춰서 심으면 좋을지,
아랫니와 교합이 잘 맞춰질 수 있도록
어느 정도 깊이로 심으면 좋을지
꼼꼼히 체크에 들어갔습니다.
다행스러운 것은
뼈이식을 할 필요없었기에
픽스처를 그대로 식립해드리면 되었습니다.

픽스처를 심은 후,
골유착이 이뤄져
고정될 수 있도록
회복 기간을 가졌습니다.
그래도 환자분께서는
예전에 수술 받았던 이력이 있었기에
크게 부담감을 가지지 않았으며,
이번에도 잘해주실 것이라 생각한다며
잘 부탁드린다고만 말씀하셨습니다.
야탑역치과 의료진은 당연히
그렇게 해드리겠다고 말씀드렸고,
골유착이 잘 이뤄질 수 있게끔
조심하셔야될 사항을 하나씩 알려드렸습니다.
『결과?』
큰 문제없이 잘 심어졌으며,
골유착 또한 튼튼히 이뤄져
흔들림없이 잘 고정된 것을 확인할 수 있었습니다.
추후에 조심해야될 사항들 또한
잘 알려드림으로써
이후에 야탑역치과 에 검진 받으러 오셔서
다시 뵙기로 했습니다.
이번에도 튼튼히 잘 심어졌다며,
잘 심어주셔서 감사드린다는
말씀을 들을 수 있었습니다.
이가 어느 순간 조금이라도
움직이는 낌새가 보여지면,
늦지 않게 검사를 받으러 오는 것이 좋습니다.
예전에 계속 말씀드렸던 것처럼
잃어버린 이는 다시 되살릴 수 없습니다.
이를 대신할 수 있는 임플란트 수술을
추천드릴 수 있어도,
되도록 본래의 것을 계속 하여
쓰는 것이 더 좋습니다.
아무래도 강한 충격에 더 쉽게 깨지며,
은근히 조심해야될 것들이 더 많기에
불편하게 느껴질 수밖에 없습니다.
그러므로 평소 청결한 케어를 이어나가는 것과
꾸준한 정기검진을 통하여
이를 보존시켜줄 수 있도록 합니다.
이외에 더 궁금하거나 질문하실 사항이 있다면,
언제든 야탑역치과 더서울에 연락 바랍니다.
감사합니다.
쌍둥이 박현성 원장이었습니다.



치료 기간 : 2021.07.03 ~ 2021.11.27






