수정구 태평동 치과 어금니 임플란트 및 신경치료 둘중에 어떤 것을 먼저 해야 될까?

반갑습니다.
수정구 태평동 더서울 치과
쌍둥이 박현성 원장입니다.
혹여 다수의 치료를 받아야 되는
그런 상황에 처해있다면,
어떤 것을 먼저 받는 것이 좋을까요?
그것은 구강 상태에 따라 다르기 때문에
정해져있는 정답은 없습니다.
정밀검사를 시행한 뒤에
꼼꼼히 분석한 결과를 토대로
치료 계획을 수립하게 되는데요.
오늘 보여드릴 사례는 임플란트와 신경치료,
둘중에 어떤 것을 우선시로 해야 되는지
알려드리는 시간을 가져보려 합니다.
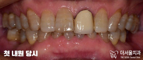
『수정구 태평동 치과 첫 내원』





우선 구강 상태를 확인한 결과,
36, 37, 36번 어금니를 상실했으며
47번 치아는 신경치료를 받아야 되는 상황이라
두 가지 진료를 받아야 되었습니다.
조금 더 명확히 파악할 수 있게끔
파노라마 엑스레이 촬영을 통해
체크를 해봤습니다.
다행스럽게도 그렇게 골소실은
심하게 일어나지 않았으며,
뼈이식없이 임플란트 수술이 가능했습니다.
그럼 둘중에 어떤 것을 먼저 진행해야 되는 걸까요?
수정구 태평동 치과 에서는
임플란트를 우선으로 해야 된다
그렇게 말씀드리고 있습니다.
왜냐하면 픽스처를 심었을때,
뼈와 붙는 기간은 최소 2달이 걸리기 때문이죠.
그만큼 더 오래 걸리는 진료라서
픽스처를 심은 뒤에
신경치료를 받는 것이 좋습니다.
『진료 시작』



임플란트 픽스처 식립에 앞서
수정구 태평동 치과 의료진은
컴퓨터 분석 프로그램 및 3D CT를 통하여
픽스처를 심을 정확한 위치 및 각을 체크하여
좋은 결과가 이뤄질 수 있도록
꼼꼼히 확인했습니다.
게다가 아랫니는 하치조 신경이라는 것을
건드리지 않도록 조심해야 되기에
그와의 거리 또한 체크했습니다.
다행스럽게도 크게 문제될 것이 없었기에
어떤 각으로 얼마만큼 깊게 심으면 좋을지
확인한 뒤에 수술을 진행했습니다.



픽스처를 심은 뒤에
골유착이 이뤄지는 기간에 맞춰
47번 어금니 치아 신경치료를
진행했습니다.
꼼꼼히 내부 충치를 제거 후,
소독 및 재료 충전,
프렙 및 코어를 통하여
저작활동을 할때 이가 견딜 수 있게끔
단단히 만들어드렸습니다.
신경치료 또한 하루만에 끝나는 것이 아닌,
3~4번 내원해야 되는 것으로
한달이라는 기간이 걸릴 수 있습니다.
그렇기에 수정구 태평동 치과 에서는
픽스처를 심은 뒤,
뼈와 골결합이 일어날 수 있도록
기다리는 시간에 맞춰
신경치료를 해드린 것이죠.
『결과』
임플란트 식립을 잘 끝마쳤으며,
신경치료 된 치아 역시
큰 문제없이 잘 해결되었습니다.
환자분 역시 이제는 없던 이가 다시 생겨
느낌이 되게 새롭다는 것과
밥을 맛있게 먹을 수 있다는 것에
너무 감사드린다며
수술이 되게 만족스럽다고 하셨습니다.
수정구 태평동 치과 의료진은
당연히 해야될 일을 한 것이기에
환자분께서 만족하신 것으로
저희 또한 큰 기쁨을 전달받았습니다.
이렇게 2가지 이상 손을 봐야될 것이 있다면,
어떤 것을 먼저 받아야 된다
그렇게 정해져 있지 않습니다.
구강 상태를 살펴봤을때,
어떻냐에 따라 다를 수 있으므로
우선은 의료진에게 정밀검사를 받아
정확한 진단을 받은 뒤,
그에 따른 처치를 받으시길 바랍니다.
오늘 보여드린 임플란트 및 신경치료 순서 사례
여러분들께 도움이 되셨기를 바라며,
이외에 더 궁금하거나 질문하실 사항이 있다면
언제든 수정구 태평동 더서울 치과 에
연락을 주셔서 문의 바랍니다.
감사합니다.
쌍둥이 박현성 원장이었습니다.



치료 기간 : 2021.06.03 ~ 2021.12.22






