문정동치과 추천 오래도록 크라운 씌웠던 썩은 이 발치 후 임플란트 뼈이식 받은 증례건

안녕하십니까,
문정동치과 더서울 박현성 원장입니다.
혹시 충치로 썩은 이를 신경치료 받아
크라운을 씌웠던 적 있으십니까?
평소에 양치질을 구석구석 잘하면서
꼼꼼한 관리를 이루셨다면,
큰 문제없이 오래 쓸 수 있습니다.
그런데 아무래도 근관을 제거했기에
감각을 느낄 수 없어
주변으로 문제가 확산된 뒤에야
이를 알아차리게 됩니다.
결국 썩은 이는 발치하게 되고,
그 후 임플란트 식립을 하게 됩니다.
오늘 역시 이와 같은 사례를 보여드려서
어떤 식으로 수술이 진행되었는지
알려드리는 시간을 가져보겠습니다.
『첫 진료 구강 상태』
첫 진료를 보러 오셨을때,
이가 많이 아프다 그러셔는데요.
호소하는 부위를 살펴봤더니,
예전에 신경치료를 받았던 곳이었습니다.
보철을 씌워놨기 때문에
정확한 상태를 파악할 수 없어서
문정동치과 의료진이
제거 후 체크를 해보기로 했습니다.
그랬더니 이처럼 치아가 까맣게
썩어버린 것을 확인할 수 있었습니다.
더는 이대로 사용할 수 없기에
발치 후 임플란트 수술을 받는 것이
올바른 방식이었습니다.
애초에 내원을 하기 전,
환자분께서 임플란트를
하게 될 것 같은 느낌이 들어
주변에 있는 분들께 잘하는곳을
추천 받아 오게 되었다는데요.
안 아프게 잘해준다는 말을 듣고
찾아오게 되셨다고 말씀하셨습니다.
그럼 또 저희는 그에 맞게 해드려야겠죠?
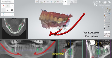
『분석에 들어갑니다.』




더서울 문정동치과 에서
컴퓨터 분석 프로그램을 이용하여
올바른 위치에 알맞은 각으로
식립할 수 있도록
수술 계획을 꼼꼼히 수립했습니다.
그런데 치아를 상실한지
좀 오래 되었기에 뼈소실이 있었습니다.
그런데 37번 어금니 자리는
치근 염증으로 인한 골소실이 있었고,
추후에 염증 제거 후,
뼈이식을 해줘야 되는 상황이었습니다.
수술 전 조심해야될 사항들을
하나씩 꼼꼼히 체크 후,


픽스처 식립 후 3D CT로
잘못 심어진 것은 없는지,
올바른 위치에 계획했던 대로
잘 심어졌는지 확인합니다.
별다른 문제없이 잘 심어졌군요. ^^
문정동치과 에서 컴퓨터 분석 프로그램으로
먼저 시뮬레이션을 돌린 뒤,
픽스처를 심으면 거의 알맞은 위치에
잘 심어지는 것을 확인할 수 있었습니다.
그렇기에 최소 내원 및 최소 절개로
수술이 진행되고 있으니
크게 통증이 없다는 얘기를 하는 것이겠죠?
해당 환자분 역시
픽스처를 심으면서 안 아팠다,
정말 빋고 찾아왔는데 잘하신다는
감사의 말씀을 전해주셨습니다. ^^
『결과』
빈 자리었던 곳까지
총 4개 임플란트 수술은
잘 끝마치게 되었습니다.
수술이 끝났을때 환자분은
이제야 이가 서로 맞닿게 되어
속이 뻥 뚫린 것처럼 편안하다며,
아프지 않게 잘 심어주셔서
너무 감사드린다는 말씀을 해주셨습니다.
우선은 뼈이식까지 받았던 상황이었기에
초기에는 조심히 사용할 것을 추천 드렸으며,
이후에 정기검진 받으러 오셔서
꾸준히 청결한 관리를 이어나가시는게 좋다
그렇게 알려드렸습니다.
근관치료 후 관리를 제대로 하지 않으면,
다시 썩은 이로 변하게 되고
이를 뽑은 뒤에 임플란트 수술을
받게 될 수 있습니다.
만약, 염증이 발생했다면
뼈소실까지 겪었을 수 있습니다.
그렇게 악화되었다면,
뼈이식을 받아야 될 수 있으므로
평소에 꼼꼼히 양치질을 잘하고
때에 맞춰 정기검진 및 스케일링을 받아
더욱 철저히 관리해나갈 수 있기를 바랍니다.
임플란트 수술과 관련된 상담이 필요하실때
언제든 더서울 문정동치과 에 연락 주시길 바랍니다.
항상 제 글을 읽어주신 모든 분들께
감사의 말씀을 올립니다.
다들 건강하시길 바라며
글을 끝마치겠습니다.
쌍둥이 박현성 원장이었습니다.



치료 기간 : 2021.03.18 ~ 2021.11.06





